验证数据展示
经过测试的应用
| Positive WB detected in | HEK-293 cells, siRNA cells |
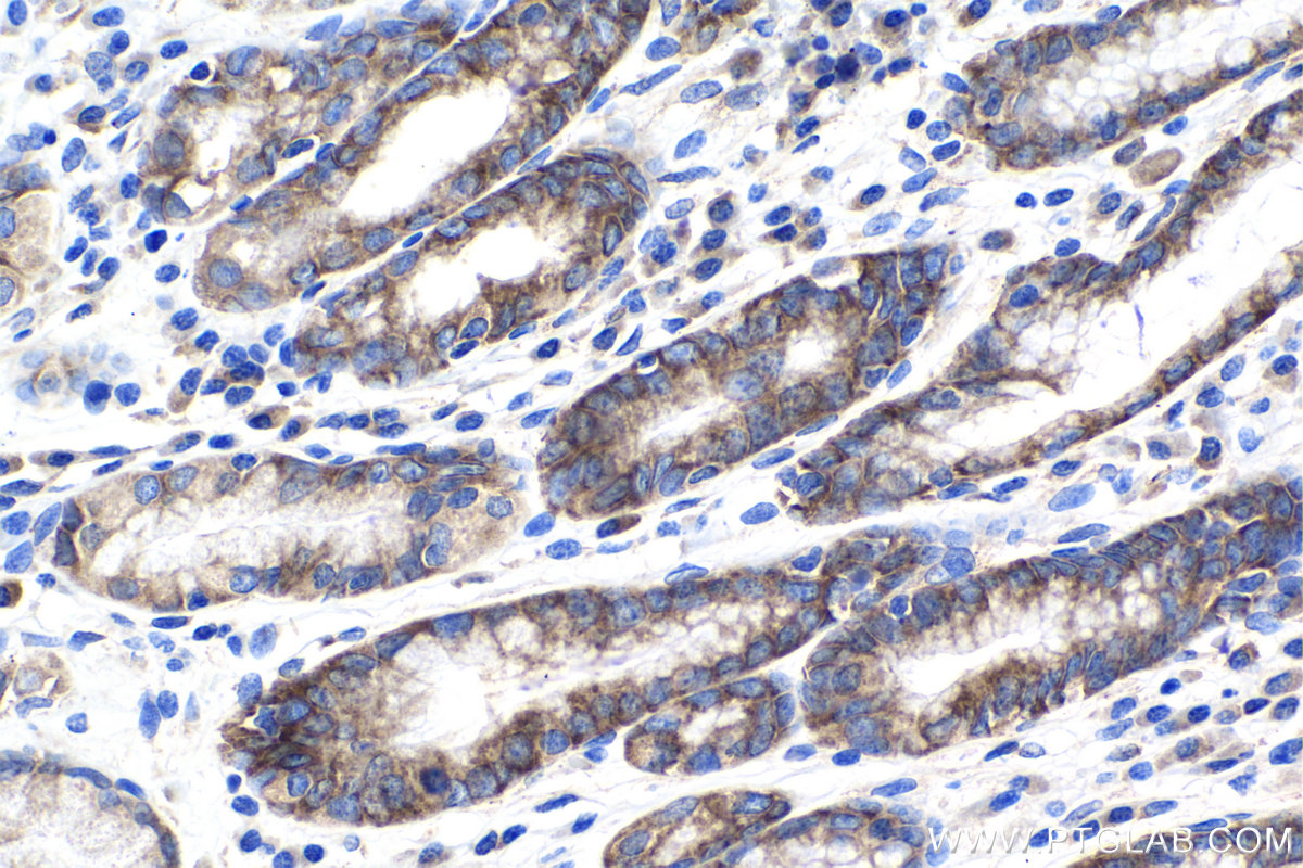
| Positive IHC detected in | human stomach cancer tissue Note: suggested antigen retrieval with TE buffer pH 9.0; (*) Alternatively, antigen retrieval may be performed with citrate buffer pH 6.0 |
| Positive IF/ICC detected in | HepG2 cells |
推荐稀释比
| 应用 | 推荐稀释比 |
|---|---|
| Western Blot (WB) | WB : 1:500-1:2000 |
| Immunohistochemistry (IHC) | IHC : 1:250-1:1000 |
| Immunofluorescence (IF)/ICC | IF/ICC : 1:50-1:500 |
| It is recommended that this reagent should be titrated in each testing system to obtain optimal results. | |
| Sample-dependent, Check data in validation data gallery. | |
发表文章中的应用
| WB | See 1 publications below |
产品信息
21529-1-AP targets FAM120A in WB, IHC, IF/ICC, ELISA applications and shows reactivity with human, mouse, rat samples.
| 经测试应用 | WB, IHC, IF/ICC, ELISA Application Description |
| 文献引用应用 | WB |
| 经测试反应性 | human, mouse, rat |
| 文献引用反应性 | rat |
| 免疫原 |
CatNo: Ag16149 Product name: Recombinant human FAM120A protein Source: e coli.-derived, PGEX-4T Tag: GST Domain: 285-538 aa of BC111736 Sequence: AVADYVRNIQDTSDLDAIAKDVFQHSQSRTDDKVIRFKRAIGYYSATSKPMSFHPPHYLAARPGPFGMPGMVPPHVPPQMLNIPQTSLQAKPVAPQVPSPGGAPGQGPYPYSLSEPAPLTLDTSGKNLTEQNSYSNIPHEGKHTPLYERSSPINPAQSGSPNHVDSAYFPGSSTSSSSDNDEGSGGATNHISGNKIGWEKTGSHSEPQARGDPGDQTKAEGSSTASSGSQLAEGKGSQMGTVQPIPCLLSMPTR 种属同源性预测 |
| 宿主/亚型 | Rabbit / IgG |
| 抗体类别 | Polyclonal |
| 产品类型 | Antibody |
| 全称 | family with sequence similarity 120A |
| 别名 | C9orf10, Constitutive coactivator of PPAR-gamma-like protein 1, KIAA0183, OSSA, Oxidative stress-associated SRC activator |
| 计算分子量 | 1118 aa, 122 kDa |
| 观测分子量 | 125 kDa |
| GenBank蛋白编号 | BC111736 |
| 基因名称 | FAM120A |
| Gene ID (NCBI) | 23196 |
| RRID | AB_10860261 |
| 偶联类型 | Unconjugated |
| 形式 | Liquid |
| 纯化方式 | Antigen affinity purification |
| UNIPROT ID | Q9NZB2 |
| 储存缓冲液 | PBS with 0.02% sodium azide and 50% glycerol, pH 7.3. |
| 储存条件 | Store at -20°C. Stable for one year after shipment. Aliquoting is unnecessary for -20oC storage. |
背景介绍
FAM120A (also named OSSA/C9ORF10) is mapped to chromosome 9q22.31, which was first reported to be a component of Purα-containing mRNP complexes. FAM120A as a transcription co-activator that couples transcription and splicing of de novo lipid synthesis enzymes downstream of mTORC1-serine/arginine-rich protein kinase 2 (SRPK2) signaling. FAM120A is abundantly expressed in the cytoplasm of the GC cells and elevated FAM120A is observed in the scirrhous-type GC tissues compared with normal gastric mucosa. (PMID: 38565940, PMID: 37595559)
实验方案
| Product Specific Protocols | |
|---|---|
| IF protocol for FAM120A antibody 21529-1-AP | Download protocol |
| IHC protocol for FAM120A antibody 21529-1-AP | Download protocol |
| WB protocol for FAM120A antibody 21529-1-AP | Download protocol |
| Standard Protocols | |
|---|---|
| Click here to view our Standard Protocols |





