验证数据展示
经过测试的应用
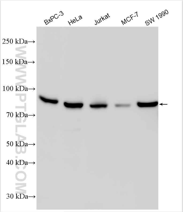
| Positive WB detected in | BxPC-3 cells, HeLa cells, Jurkat cells, MCF-7 cells, SW 1990 cells |
| Positive IHC detected in | human lung cancer tissue, human prostate cancer tissue Note: suggested antigen retrieval with TE buffer pH 9.0; (*) Alternatively, antigen retrieval may be performed with citrate buffer pH 6.0 |
推荐稀释比
| 应用 | 推荐稀释比 |
|---|---|
| Western Blot (WB) | WB : 1:2000-1:18000 |
| Immunohistochemistry (IHC) | IHC : 1:50-1:500 |
| It is recommended that this reagent should be titrated in each testing system to obtain optimal results. | |
| Sample-dependent, Check data in validation data gallery. | |
发表文章中的应用
| KD/KO | See 2 publications below |
| WB | See 6 publications below |
| IHC | See 3 publications below |
产品信息
29407-1-AP targets FAM111B in WB, IHC, ELISA applications and shows reactivity with Human samples.
| 经测试应用 | WB, IHC, ELISA Application Description |
| 文献引用应用 | WB, IHC |
| 经测试反应性 | Human |
| 文献引用反应性 | human, mouse |
| 免疫原 |
CatNo: Ag29376 Product name: Recombinant human FAM111B protein Source: e coli.-derived, PGEX-4T Tag: GST Domain: 230-465 aa of BC130539 Sequence: RFRSDIGEFEWKLKEGHKKIYGKQSMVDEVSGKVLEMDISKKKALQQKDIHKKIKQNESATDEINHQSLIQSKKKVHKPKKDGETKDVEHSREQILPPQDLSHYIKDKTRQTIPRIRNYYFCSLPRKYRQINSQVRRRPHLGRRYAINLDVQKEAINLLKNYQTLNEAIMHQYPNFKEEAQWVRKYFREEQKRMNLSPAKQFNIYKKDFGKMTANSVSVATCEQLTYYSKSVGFMQ 种属同源性预测 |
| 宿主/亚型 | Rabbit / IgG |
| 抗体类别 | Polyclonal |
| 产品类型 | Antibody |
| 全称 | family with sequence similarity 111, member B |
| 别名 | CANP, FAM111B, Protein FAM111B |
| 观测分子量 | 85 kDa |
| GenBank蛋白编号 | BC130539 |
| 基因名称 | FAM111B |
| Gene ID (NCBI) | 374393 |
| RRID | AB_2918299 |
| 偶联类型 | Unconjugated |
| 形式 | Liquid |
| 纯化方式 | Antigen affinity purification |
| UNIPROT ID | Q6SJ93 |
| 储存缓冲液 | PBS with 0.02% sodium azide and 50% glycerol, pH 7.3. |
| 储存条件 | Store at -20°C. Stable for one year after shipment. Aliquoting is unnecessary for -20oC storage. |
实验方案
| Product Specific Protocols | |
|---|---|
| IHC protocol for FAM111B antibody 29407-1-AP | Download protocol |
| WB protocol for FAM111B antibody 29407-1-AP | Download protocol |
| Standard Protocols | |
|---|---|
| Click here to view our Standard Protocols |
发表文章
| Species | Application | Title |
|---|---|---|
Med Oncol PRIM2 promotes proliferation and metastasis of pancreatic ductal adenocarcinoma through interactions with FAM111B | ||
Int J Gen Med Pan-Cancer Analysis of the Tumorigenic Effect and Prognostic Diagnostic Value of FAM111B in Human Carcinomas | ||
Dig Liver Dis Silencing of FAM111B inhibited proliferation, migration and invasion of hepatoma cells through activating p53 pathway | ||
Cell Oncol (Dordr) Overexpressed FAM111B degrades GSDMA to promote esophageal cancer tumorigenesis and cisplatin resistance | ||
J Clin Lab Anal Clinicopathological features, prognostic significance, and associated tumor cell functions of family with sequence similarity 111 member B in pancreatic adenocarcinoma | ||
Neoplasia FAM111B enhances glycolysis and promotes metastasis of prostate cancer by upregulating LDHA |


