验证数据展示
经过测试的应用
| Positive WB detected in | L02 cells, mouse liver tissue, rat liver tissue |
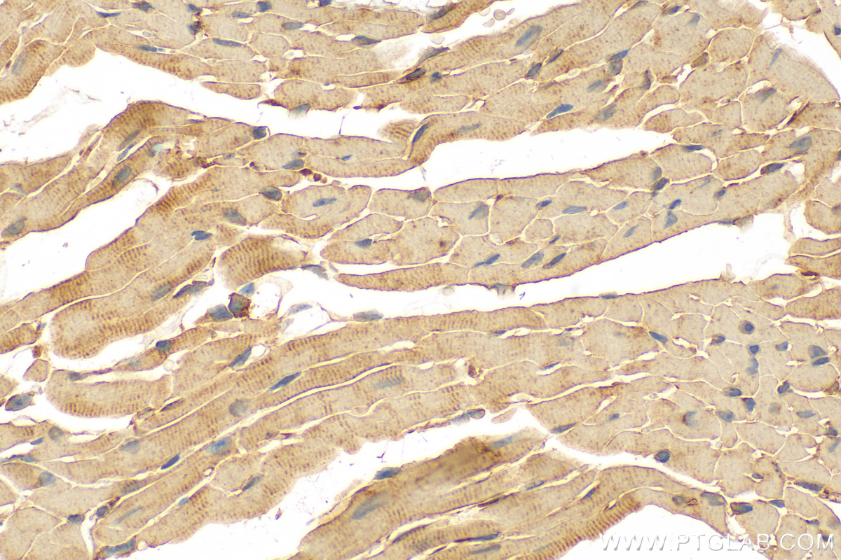
| Positive IHC detected in | mouse heart tissue Note: suggested antigen retrieval with TE buffer pH 9.0; (*) Alternatively, antigen retrieval may be performed with citrate buffer pH 6.0 |
推荐稀释比
| 应用 | 推荐稀释比 |
|---|---|
| Western Blot (WB) | WB : 1:500-1:2000 |
| Immunohistochemistry (IHC) | IHC : 1:50-1:500 |
| It is recommended that this reagent should be titrated in each testing system to obtain optimal results. | |
| Sample-dependent, Check data in validation data gallery. | |
产品信息
28034-1-AP targets FADS2 in WB, IHC, IF, ELISA applications and shows reactivity with human, mouse, rat samples.
| 经测试应用 | WB, IHC, ELISA Application Description |
| 文献引用应用 | WB, IF |
| 经测试反应性 | human, mouse, rat |
| 文献引用反应性 | human, mouse |
| 免疫原 |
CatNo: Ag27709 Product name: Recombinant human FADS2 protein Source: e coli.-derived, PGEX-4T Tag: GST Domain: 1-124 aa of BC009011 Sequence: MGKGGNQGEGAAEREVSVPTFSWEEIQKHNLRTDRWLVIDRKVYNITKWSIQHPGGQRVIGHYAGEDATDAFRAFHPDLEFVGKFLKPLLIGELAPEEPSQDHGKNSKITEDFRALRKTAEDMN 种属同源性预测 |
| 宿主/亚型 | Rabbit / IgG |
| 抗体类别 | Polyclonal |
| 产品类型 | Antibody |
| 全称 | fatty acid desaturase 2 |
| 别名 | Acyl-CoA 6-desaturase, D6D, Delta-6 desaturase, EC:1.14.19.3 |
| 计算分子量 | 445 aa, 49 kDa |
| 观测分子量 | 46-52 kDa |
| GenBank蛋白编号 | BC009011 |
| 基因名称 | FADS2 |
| Gene ID (NCBI) | 9415 |
| RRID | AB_2918142 |
| 偶联类型 | Unconjugated |
| 形式 | Liquid |
| 纯化方式 | Antigen affinity purification |
| UNIPROT ID | O95864 |
| 储存缓冲液 | PBS with 0.02% sodium azide and 50% glycerol, pH 7.3. |
| 储存条件 | Store at -20°C. Stable for one year after shipment. Aliquoting is unnecessary for -20oC storage. |
背景介绍
Fatty acid desaturase 2 (FADS2) is responsible for the first desaturation reaction in the synthesis of highly unsaturated fatty acids (HUFAs), such as arachidonic acid (20:4n-6) and eicosapentaenoic acid (20:5n-3), and is involved in Mead acid (20:3n-9) production during essential fatty acid deficiency (EFAD) (PMID: 29353041). This is important when temperatures changes and the membrane is under distress. It has 4 isoforms and can be detected as 46-52 kDa.
实验方案
| Product Specific Protocols | |
|---|---|
| IHC protocol for FADS2 antibody 28034-1-AP | Download protocol |
| WB protocol for FADS2 antibody 28034-1-AP | Download protocol |
| Standard Protocols | |
|---|---|
| Click here to view our Standard Protocols |
发表文章
| Species | Application | Title |
|---|---|---|
Cell Chem Biol FADS2-dependent fatty acid desaturation dictates cellular sensitivity to ferroptosis and permissiveness for hepatitis C virus replication.
| ||
Immun Inflamm Dis Identification of Ferroptosis-Related Gene in Age-Related Macular Degeneration Using Machine Learning | ||
BME Front Multimodal Metabolic Imaging Reveals Pigment Reduction and Lipid Accumulation in Metastatic Melanoma | ||
FASEB J Comparing Soy and Milk Protein Regulation of Hepatic Omega-3 Fatty Acid Biosynthesis | ||
Pharmacol Res Breaking the synergism of iron overload and miR-122 to rescue lipid accumulation and peroxidation in MASLD |




