验证数据展示
经过测试的应用
| Positive WB detected in | L02 cells, HeLa cells, Jurkat cells, mouse liver tissue | 
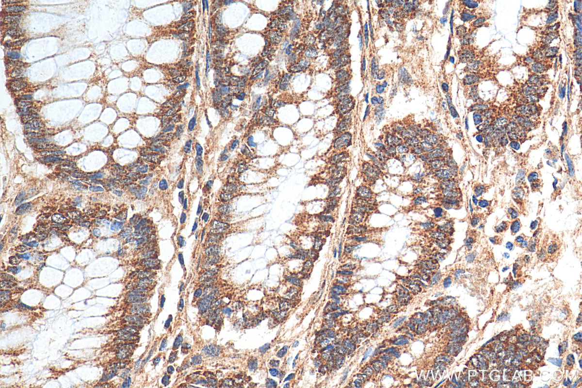
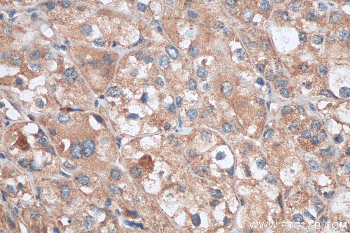
| Positive IHC detected in | human colon cancer tissue, human lung cancer tissue,  human endometrial cancer tissue Note: suggested antigen retrieval with TE buffer pH 9.0; (*) Alternatively, antigen retrieval may be performed with citrate buffer pH 6.0 | 
| Positive IF/ICC detected in | HeLa cells | 
推荐稀释比
| 应用 | 推荐稀释比 | 
|---|---|
| Western Blot (WB) | WB : 1:1000-1:6000 | 
| Immunohistochemistry (IHC) | IHC : 1:50-1:500 | 
| Immunofluorescence (IF)/ICC | IF/ICC : 1:300-1:1200 | 
| It is recommended that this reagent should be titrated in each testing system to obtain optimal results. | |
| Sample-dependent, Check data in validation data gallery. | |
产品信息
10627-1-AP targets FADS1 in WB, IHC, IF/ICC, ELISA applications and shows reactivity with human, mouse samples.
| 经测试应用 | WB, IHC, IF/ICC, ELISA Application Description | 
| 文献引用应用 | WB, IHC, IF | 
| 经测试反应性 | human, mouse | 
| 文献引用反应性 | human, mouse, pig, chicken, goat | 
| 免疫原 | CatNo: Ag0978 Product name: Recombinant human FADS1 protein Source: e coli.-derived, PGEX-4T Tag: GST Domain: 174-444 aa of BC007846 Sequence: AGWLQHDFGHLSVFSTSKWNHLLHHFVIGHLKGAPASWWNHMHFQHHAKPNCFRKDPDINMHPFFFALGKILSVELGKQKKKYMPYNHQHKYFFLIGPSALLPLYFQWYIFYFVIQRKKWVDLAWMITFYVRFFLTYVPLLGLKAFLGLFFIVRFLESNWFVWVTQMNHIPMHIDHDRNMDWVSTQLQATCNVHKSAFNDWFSGHLNFQIEHHLFPTMPRHNYHKVAPLVQSLCAKHGIEYQSKPLLSAFADIIHSLKESGQLWLDAYLHQ种属同源性预测 | 
| 宿主/亚型 | Rabbit / IgG | 
| 抗体类别 | Polyclonal | 
| 产品类型 | Antibody | 
| 全称 | fatty acid desaturase 1 | 
| 别名 | Acyl-CoA (8-3)-desaturase, D5D, Delta-5 desaturase, EC:1.14.19.44, FADSD5 | 
| 计算分子量 | 52 kDa, 42 kDa | 
| 观测分子量 | 52 kDa, 42 kDa | 
| GenBank蛋白编号 | BC007846 | 
| 基因名称 | FADS1 | 
| Gene ID (NCBI) | 3992 | 
| RRID | AB_2231403 | 
| 偶联类型 | Unconjugated | 
| 形式 | Liquid | 
| 纯化方式 | Antigen affinity purification | 
| UNIPROT ID | O60427 | 
| 储存缓冲液 | PBS with 0.02% sodium azide and 50% glycerol, pH 7.3. | 
| 储存条件 | Store at -20°C. Stable for one year after shipment. Aliquoting is unnecessary for -20oC storage. | 
背景介绍
FADS1, also known as Delta-5 desaturase or D5D, is a 444 amino acid protein that belongs to the fatty acid desaturase (FADS) gene family. Desaturase enzymes regulate unsaturation of fatty acids through the introduction of double bonds between defined carbons of the fatty acyl chain. FADS1 is a key enzyme in polyunsaturated fatty acid (PUFA) metabolism that catalyze the conversion of linoleic acid (LA) into arachidonic acid (AA) and that of alpha-linolenic acid (ALA) into eicosapentaenoic acid (EPA). FADS1 has two isform: 42 kDa, 52 kDa.
实验方案
| Product Specific Protocols | |
|---|---|
| IF protocol for FADS1 antibody 10627-1-AP | Download protocol | 
| IHC protocol for FADS1 antibody 10627-1-AP | Download protocol | 
| WB protocol for FADS1 antibody 10627-1-AP | Download protocol | 
| Standard Protocols | |
|---|---|
| Click here to view our Standard Protocols | 
发表文章
| Species | Application | Title | 
|---|---|---|
| Cell Metab STING orchestrates the crosstalk between polyunsaturated fatty acid metabolism and inflammatory responses. | ||
| Nat Commun The lipoprotein-associated phospholipase A2 inhibitor Darapladib sensitises cancer cells to ferroptosis by remodelling lipid metabolism | ||
| Proc Natl Acad Sci U S A Polyunsaturated fatty acid biosynthesis pathway determines ferroptosis sensitivity in gastric cancer. | ||
| Stem Cells Increased lipogenesis is critical for self-renewal and growth of breast cancer stem cells: Impact of omega-3 fatty acids. | ||
| J Lipid Res In vivo MRS assessment of altered fatty acyl unsaturation in liver tumor formation of a TGF alpha/c-myc transgenic mouse model. | ||
| J Cancer Reduced Expression of FADS1 Predicts Worse Prognosis in Non-Small-Cell Lung Cancer. | 










