验证数据展示
经过测试的应用
| Positive WB detected in | unboiled J774A.1 cells, unboiled RAW 264.7 cells |
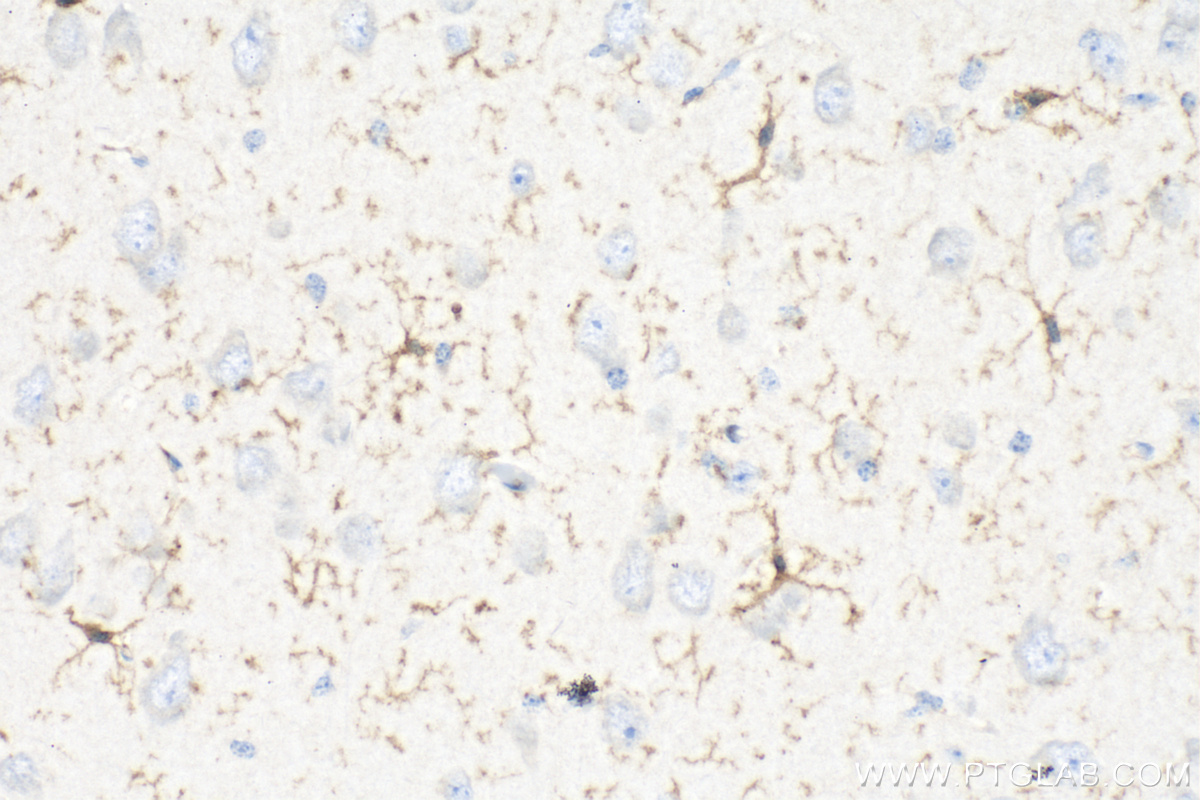
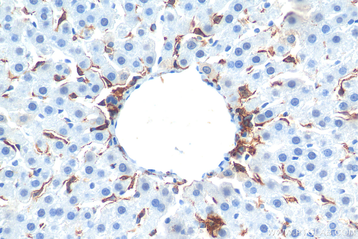
| Positive IHC detected in | mouse spleen tissue, rat spleen tissue, rat liver tissue, mouse lung tissue, mouse heart tissue, mouse brain tissue, mouse liver tissue, mouse small intestine tissue Note: suggested antigen retrieval with TE buffer pH 9.0; (*) Alternatively, antigen retrieval may be performed with citrate buffer pH 6.0 |
| Positive IF-P detected in | mouse spleen tissue, mouse liver tissue |
| Positive IF-Fro detected in | mouse spleen tissue |
| Positive IF/ICC detected in | RAW 264.7 cells |
推荐稀释比
| 应用 | 推荐稀释比 |
|---|---|
| Western Blot (WB) | WB : 1:1000-1:4000 |
| Immunohistochemistry (IHC) | IHC : 1:4000-1:16000 |
| Immunofluorescence (IF)-P | IF-P : 1:50-1:500 |
| Immunofluorescence (IF)-FRO | IF-FRO : 1:50-1:500 |
| Immunofluorescence (IF)/ICC | IF/ICC : 1:200-1:800 |
| It is recommended that this reagent should be titrated in each testing system to obtain optimal results. | |
| Sample-dependent, Check data in validation data gallery. | |
产品信息
28463-1-AP targets F4/80 in WB, IHC, IF/ICC, IF-P, IF-Fro, ELISA applications and shows reactivity with mouse, rat samples.
| 经测试应用 | WB, IHC, IF/ICC, IF-P, IF-Fro, ELISA Application Description |
| 文献引用应用 | WB, IHC, IF |
| 经测试反应性 | mouse, rat |
| 文献引用反应性 | human, mouse, rat, pig, duck |
| 免疫原 |
CatNo: Ag28252 Product name: Recombinant mouse Adgre1 protein Source: e coli.-derived, PGEX-4T Tag: GST Domain: 443-644 aa of NM_010130 Sequence: MELSKEETSTLGTILLETVESTMLAALLIPSGNASQMIQTEYLDIESKVINEECKENESINLAARGDKMNVGCFIIKESVSTGAPGVAFVSFAHMESVLNERFFEDGQSFRKLRMNSRVVGGTVTGEKKEDFSKPIIYTLQHIQPKQKSERPICVSWNTDVEDGRWTPSGCEIVEASETHTVCSCNRMANLAIIMASGELTME 种属同源性预测 |
| 宿主/亚型 | Rabbit / IgG |
| 抗体类别 | Polyclonal |
| 产品类型 | Antibody |
| 全称 | EGF-like module containing, mucin-like, hormone receptor-like sequence 1 |
| 别名 | Adgre1, Adhesion G protein-coupled receptor E1, EGF-like module receptor 1, EGF-like module-containing mucin-like hormone receptor-like 1, Emr1 |
| 计算分子量 | 102 kDa |
| 观测分子量 | 130 kDa, 160 kDa |
| GenBank蛋白编号 | NM_010130 |
| 基因名称 | F4/80 |
| Gene ID (NCBI) | 13733 |
| RRID | AB_2881149 |
| 偶联类型 | Unconjugated |
| 形式 | Liquid |
| 纯化方式 | Antigen affinity purification |
| UNIPROT ID | Q61549 |
| 储存缓冲液 | PBS with 0.02% sodium azide and 50% glycerol, pH 7.3. |
| 储存条件 | Store at -20°C. Stable for one year after shipment. Aliquoting is unnecessary for -20oC storage. |
背景介绍
Mouse F4/80, also named as EMR1 and Gpf480, is a 160-kDa cell surface glycoprotein which is a member of the EGF TM7 family. The F4/80 molecule is solely expressed on the surface of macrophages and serves as a marker for mature macrophage tissues, including Kupffer cells in liver, splenic red pulp macrophages, brain microglia, gut lamina propria and Langerhans cells in the skin. The function of F4/80 is unclear, but it is speculated to be involved in macrophage adhesion events, cell migration or as a G protein-coupled signaling component of macrophages.
实验方案
| Product Specific Protocols | |
|---|---|
| IF protocol for F4/80 antibody 28463-1-AP | Download protocol |
| IHC protocol for F4/80 antibody 28463-1-AP | Download protocol |
| WB protocol for F4/80 antibody 28463-1-AP | Download protocol |
| Standard Protocols | |
|---|---|
| Click here to view our Standard Protocols |
发表文章
| Species | Application | Title |
|---|---|---|
Bioact Mater Profibrogenic macrophage-targeted delivery of mitochondrial protector via exosome formula for alleviating pulmonary fibrosis | ||
Nat Commun Dubosiella newyorkensis modulates immune tolerance in colitis via the L-lysine-activated AhR-IDO1-Kyn pathway | ||
Nat Commun Selectively targeting the AdipoR2-CaM-CaMKII-NOS3 axis by SCM-198 as a rapid-acting therapy for advanced acute liver failure | ||
Nat Commun Near-infrared light-driven metabolic reprogramming of synoviocytes for the treatment of rheumatoid arthritis | ||
Adv Sci (Weinh) Hierarchical Targeting Nanodrug with Holistic DNA Protection for Effective Treatment of Acute Kidney Injury |























