验证数据展示
经过测试的应用
| Positive WB detected in | human plasma tissue, K-562 cells, HepG2 cells, Jurkat cells |
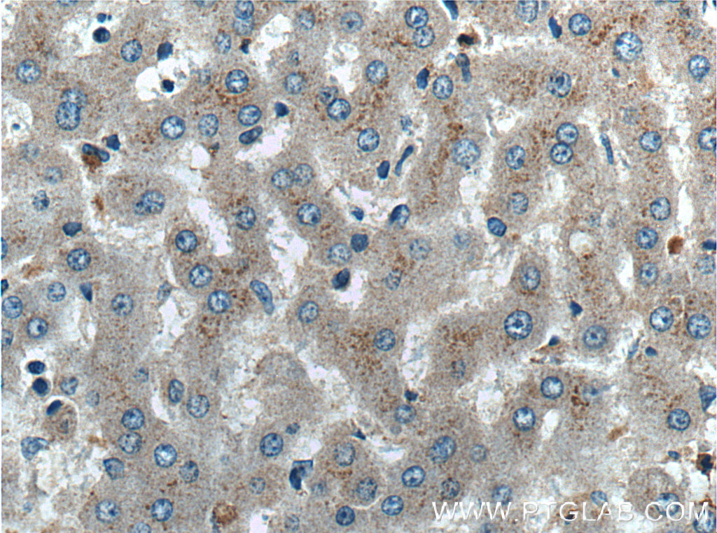
| Positive IHC detected in | human liver tissue Note: suggested antigen retrieval with TE buffer pH 9.0; (*) Alternatively, antigen retrieval may be performed with citrate buffer pH 6.0 |
推荐稀释比
| 应用 | 推荐稀释比 |
|---|---|
| Western Blot (WB) | WB : 1:1000-1:3000 |
| Immunohistochemistry (IHC) | IHC : 1:50-1:500 |
| It is recommended that this reagent should be titrated in each testing system to obtain optimal results. | |
| Sample-dependent, Check data in validation data gallery. | |
产品信息
27154-1-AP targets Factor XII in WB, IHC, ELISA applications and shows reactivity with human samples.
| 经测试应用 | WB, IHC, ELISA Application Description |
| 经测试反应性 | human |
| 免疫原 |
CatNo: Ag25912 Product name: Recombinant human F12 protein Source: e coli.-derived, PGEX-4T Tag: GST Domain: 413-500 aa of BC012390 Sequence: CLQDRPAPEDLTVVLGQERRNHSCEPCQTLAVRSYRLHEAFSPVSYQHDLALLRLQEDADGSCALLSPYVQPVCLPSGAARPSETTLC 种属同源性预测 |
| 宿主/亚型 | Rabbit / IgG |
| 抗体类别 | Polyclonal |
| 产品类型 | Antibody |
| 全称 | coagulation factor XII (Hageman factor) |
| 别名 | F12, HAE3, Factor 12, EC:3.4.21.38, Coagulation factor XII |
| 计算分子量 | 615 aa, 68 kDa |
| 观测分子量 | 80 kDa and 52 kDa |
| GenBank蛋白编号 | BC012390 |
| 基因名称 | Factor XII |
| Gene ID (NCBI) | 2161 |
| RRID | AB_2880778 |
| 偶联类型 | Unconjugated |
| 形式 | Liquid |
| 纯化方式 | Antigen affinity purification |
| UNIPROT ID | P00748 |
| 储存缓冲液 | PBS with 0.02% sodium azide and 50% glycerol, pH 7.3. |
| 储存条件 | Store at -20°C. Stable for one year after shipment. Aliquoting is unnecessary for -20oC storage. |
背景介绍
Factor XII (F XII, Hageman factor) is a 80kD, single chain glycoprotein that circulates in blood as an inactive zymogen. F XII plays an important role in blood coagulation, fibrinolysis, and kinin generation. Factor XII is activated by kallikrein in alpha-factor XIIa, which is further converted by trypsin into beta-factor XIIa. Alpha-factor XIIa is composed of a 52 kDa NH2-terminal heavy chain, called coagulation factor XIIa heavy chain, and a 28 kDa COOH-terminal light chain, called coagulation factor XIIa light chain, connected by a disulfide bond. Beta-factor XIIa is composed of 2 chains linked by a disulfide bond, an N-terminal nonapeptide, called beta-factor XIIa part 1, and coagulation factor XIIa light chain, also known in this context as beta-factor XIIa part 2.
实验方案
| Product Specific Protocols | |
|---|---|
| IHC protocol for Factor XII antibody 27154-1-AP | Download protocol |
| WB protocol for Factor XII antibody 27154-1-AP | Download protocol |
| Standard Protocols | |
|---|---|
| Click here to view our Standard Protocols |





