验证数据展示
经过测试的应用
| Positive WB detected in | HepG2 cells, mouse colon tissue, HuH-7 cells, NCCIT cells, mouse liver tissue, rat liver tissue |
| Positive IP detected in | HepG2 cells |
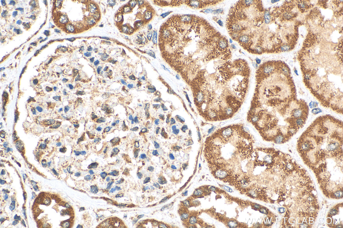
| Positive IHC detected in | human kidney tissue Note: suggested antigen retrieval with TE buffer pH 9.0; (*) Alternatively, antigen retrieval may be performed with citrate buffer pH 6.0 |
| Positive IF/ICC detected in | HeLa cells |
推荐稀释比
| 应用 | 推荐稀释比 |
|---|---|
| Western Blot (WB) | WB : 1:2000-1:10000 |
| Immunoprecipitation (IP) | IP : 0.5-4.0 ug for 1.0-3.0 mg of total protein lysate |
| Immunohistochemistry (IHC) | IHC : 1:250-1:1000 |
| Immunofluorescence (IF)/ICC | IF/ICC : 1:200-1:800 |
| It is recommended that this reagent should be titrated in each testing system to obtain optimal results. | |
| Sample-dependent, Check data in validation data gallery. | |
产品信息
22658-1-AP targets EYA1 in WB, IHC, IF/ICC, IP, CoIP, ELISA applications and shows reactivity with human, mouse, rat samples.
| 经测试应用 | WB, IHC, IF/ICC, IP, ELISA Application Description |
| 文献引用应用 | WB, IHC, IF, IP, CoIP |
| 经测试反应性 | human, mouse, rat |
| 文献引用反应性 | human, mouse, rat |
| 免疫原 |
CatNo: Ag18489 Product name: Recombinant human EYA1 protein Source: e coli.-derived, PGEX-4T Tag: GST Domain: 1-300 aa of BC121799 Sequence: MEMQDLTSPHSRLSGSSESPSGPKLGNSHINSNSMTPNGTEVKTEPMSSSETASTTADGSLNNFSGSAIGSSSFSPRPTHQFSPPQIYPSNRPYPHILPTPSSQTMAAYGQTQFTTGMQQATAYATYPQPGQPYGISSYGALWAGIKTEGGLSQSQSPGQTGFLSYGTSFSTPQPGQAPYSYQMQGSSFTTSSGIYTGNNSLTNSSGFNSSQQDYPSYPSFGQGQYAQYYNSSPYPAHYMTSSNTSPTTPSTNATYQLQEPPSGITSQAVTDPTAEYSTIHSPSTPIKDSDSDRLRRGSD 种属同源性预测 |
| 宿主/亚型 | Rabbit / IgG |
| 抗体类别 | Polyclonal |
| 产品类型 | Antibody |
| 全称 | eyes absent homolog 1 (Drosophila) |
| 别名 | EC:3.1.3.16, BOR, BOP |
| 计算分子量 | 592 aa, 65 kDa |
| 观测分子量 | 61 kDa and 65 kDa |
| GenBank蛋白编号 | BC121799 |
| 基因名称 | EYA1 |
| Gene ID (NCBI) | 2138 |
| RRID | AB_2879145 |
| 偶联类型 | Unconjugated |
| 形式 | Liquid |
| 纯化方式 | Antigen affinity purification |
| UNIPROT ID | Q99502 |
| 储存缓冲液 | PBS with 0.02% sodium azide and 50% glycerol, pH 7.3. |
| 储存条件 | Store at -20°C. Stable for one year after shipment. Aliquoting is unnecessary for -20oC storage. |
背景介绍
The EYA1 (Eyes absent homolog 1) gene is the human homologue of the Drosophila Eya1 gene, which is essential for eye development in that species. There are 4 different isoforms of EYA1 (EYA1A, EYA1B, EYA1C, EYA1D), which are composed of 559 amino acids (AA), 592 AA, 592 AA and 557 AA, respectively. It should be noted that isoforms B and C have the same length; however, they could be considered different variants because of change in amino acidic composition (PMID: 24803398).
实验方案
| Product Specific Protocols | |
|---|---|
| IF protocol for EYA1 antibody 22658-1-AP | Download protocol |
| IHC protocol for EYA1 antibody 22658-1-AP | Download protocol |
| IP protocol for EYA1 antibody 22658-1-AP | Download protocol |
| WB protocol for EYA1 antibody 22658-1-AP | Download protocol |
| Standard Protocols | |
|---|---|
| Click here to view our Standard Protocols |
发表文章
| Species | Application | Title |
|---|---|---|
Cell Rep YTHDF1 phase separation triggers the fate transition of spermatogonial stem cells by activating the IκB-NF-κB-CCND1 axis | ||
Front Oncol SIX1 Activates STAT3 Signaling to Promote the Proliferation of Thyroid Carcinoma via EYA1. | ||
Oncotarget Eyes absent gene (EYA1) is a pathogenic driver and a therapeutic target for melanoma.
| ||
Stem Cell Res Ther Co-transplantation with adipose-derived cells to improve parathyroid transplantation in a mice model. | ||
Clin Breast Cancer Dachshund 1 is Differentially Expressed Between Male and Female Breast Cancer: A Matched Case-Control Study of Clinical Characteristics and Prognosis. | ||
J Mol Neurosci MES23.5 DA Immortalized Neuroblastoma Cells Self-protect Against Early Injury by Overexpressing Glial Cell-derived Neurotrophic Factor via Akt1/Eya1/Six2 Signaling. |





