验证数据展示
经过测试的应用
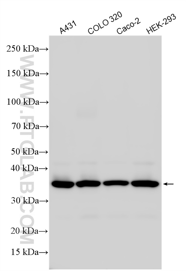
| Positive WB detected in | A431 cells, COLO 320 cells, HEK-293 cells, HeLa cells, HepG2 cells, Jurkat cells, K-562 cells, Caco-2 cells |
| Positive IHC detected in | human colon tissue, human kidney tissue Note: suggested antigen retrieval with TE buffer pH 9.0; (*) Alternatively, antigen retrieval may be performed with citrate buffer pH 6.0 |
| Positive IF/ICC detected in | HeLa cells |
推荐稀释比
| 应用 | 推荐稀释比 |
|---|---|
| Western Blot (WB) | WB : 1:5000-1:50000 |
| Immunohistochemistry (IHC) | IHC : 1:50-1:500 |
| Immunofluorescence (IF)/ICC | IF/ICC : 1:50-1:500 |
| It is recommended that this reagent should be titrated in each testing system to obtain optimal results. | |
| Sample-dependent, Check data in validation data gallery. | |
产品信息
25292-1-AP targets EXOSC7 in WB, IHC, IF/ICC, IP, ELISA applications and shows reactivity with human, mouse samples.
| 经测试应用 | WB, IHC, IF/ICC, ELISA Application Description |
| 文献引用应用 | WB, IF, IP |
| 经测试反应性 | human, mouse |
| 文献引用反应性 | human, yeast |
| 免疫原 |
CatNo: Ag18212 Product name: Recombinant human EXOSC7 protein Source: e coli.-derived, PGEX-4T Tag: GST Domain: 1-291 aa of BC012831 Sequence: MASVTLSEAEKVYIVHGVQEDLRVDGRGCEDYRCVEVETDVVSNTSGSARVKLGHTDILVGVKAEMGTPKLEKPNEGYLEFFVDCSASATPEFEGRGGDDLGTEIANTLYRIFNNKSSVDLKTLCISPREHCWVLYVDVLLLECGGNLFDAISIAVKAALFNTRIPRVRVLEDEEGSKDIELSDDPYDCIRLSVENVPCIVTLCKIGYRHVVDATLQEEACSLASLLVSVTSKGVVTCMRKVGKGSLDPESIFEMMETGKRVGKVLHASLQSVLHKEESLGPKRQKVGFLG 种属同源性预测 |
| 宿主/亚型 | Rabbit / IgG |
| 抗体类别 | Polyclonal |
| 产品类型 | Antibody |
| 全称 | exosome component 7 |
| 别名 | EAP1, Exosome complex component RRP42, Exosome component 7, hRrp42p, KIAA0116 |
| 计算分子量 | 291 aa, 32 kDa |
| 观测分子量 | 37 kDa |
| GenBank蛋白编号 | BC012831 |
| 基因名称 | EXOSC7 |
| Gene ID (NCBI) | 23016 |
| RRID | AB_2880011 |
| 偶联类型 | Unconjugated |
| 形式 | Liquid |
| 纯化方式 | Antigen affinity purification |
| UNIPROT ID | Q15024 |
| 储存缓冲液 | PBS with 0.02% sodium azide and 50% glycerol, pH 7.3. |
| 储存条件 | Store at -20°C. Stable for one year after shipment. Aliquoting is unnecessary for -20oC storage. |
背景介绍
In the nucleus, the RNA exosome complex is involved in proper maturation of stable RNA species such as rRNA, snRNA and snoRNA, in the elimination of RNA processing by-products and non-coding 'pervasive' transcripts, such as antisense RNA species and promoter-upstream transcripts and of mRNAs with processing defects, thereby limiting or excluding their export to the cytoplasm. EXOSC7 also named as RRP42 or EAP1 is a 291 amino acid protein, which belongs to the RNase PH family. EXOSC7 is one of the six RNase-PH domain subunits of the exosome and required for the processing of the 7S pre-RNA
实验方案
| Product Specific Protocols | |
|---|---|
| IF protocol for EXOSC7 antibody 25292-1-AP | Download protocol |
| IHC protocol for EXOSC7 antibody 25292-1-AP | Download protocol |
| WB protocol for EXOSC7 antibody 25292-1-AP | Download protocol |
| Standard Protocols | |
|---|---|
| Click here to view our Standard Protocols |
发表文章
| Species | Application | Title |
|---|---|---|
Life Sci Alliance Low expression of EXOSC2 protects against clinical COVID-19 and impedes SARS-CoV-2 replication | ||
Cell Rep ZNF692 organizes a hub specialized in 40S ribosomal subunit maturation enhancing translation in rapidly proliferating cells | ||
G3 (Bethesda) Humanized Saccharomyces cerevisiae provides a facile and effective tool to identify damaging human variants that cause exosomopathies |













