验证数据展示
经过测试的应用
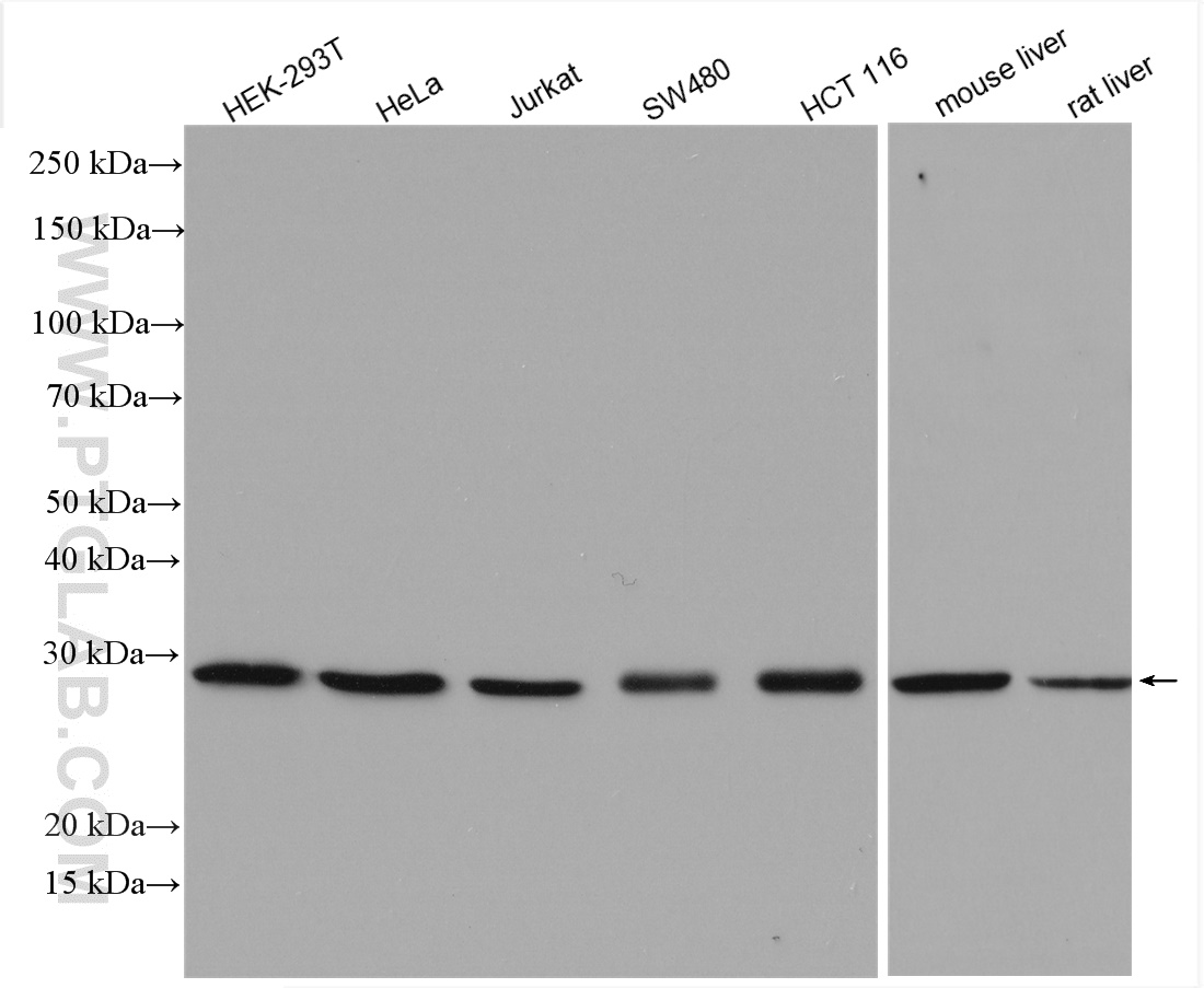
| Positive WB detected in | HEK-293T cells, Jurkat cells, HeLa cells, SW480 cells, HCT 116 cells, mouse liver tissue, rat liver tissue |
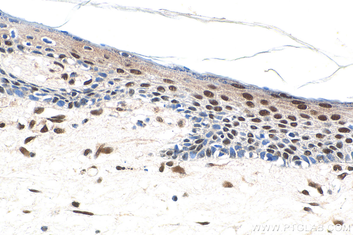
| Positive IHC detected in | human skin cancer tissue Note: suggested antigen retrieval with TE buffer pH 9.0; (*) Alternatively, antigen retrieval may be performed with citrate buffer pH 6.0 |
| Positive IF/ICC detected in | HepG2 cells |
推荐稀释比
| 应用 | 推荐稀释比 |
|---|---|
| Western Blot (WB) | WB : 1:1000-1:8000 |
| Immunohistochemistry (IHC) | IHC : 1:400-1:1600 |
| Immunofluorescence (IF)/ICC | IF/ICC : 1:50-1:500 |
| It is recommended that this reagent should be titrated in each testing system to obtain optimal results. | |
| Sample-dependent, Check data in validation data gallery. | |
产品信息
15937-1-AP targets EXOSC4 in WB, IHC, IF/ICC, ELISA applications and shows reactivity with human, mouse, rat samples.
| 经测试应用 | WB, IHC, IF/ICC, ELISA Application Description |
| 文献引用应用 | WB, IHC, IF |
| 经测试反应性 | human, mouse, rat |
| 文献引用反应性 | human, mouse, yeast |
| 免疫原 |
CatNo: Ag7595 Product name: Recombinant human EXOSC4 protein Source: e coli.-derived, PGEX-4T Tag: GST Domain: 1-245 aa of BC002777 Sequence: MAGLELLSDQGYRVDGRRAGELRKIQARMGVFAQADGSAYIEQGNTKALAVVYGPHEIRGSRARALPDRALVNCQYSSATFSTGERKRRPHGDRKSCEMGLQLRQTFEAAILTQLHPRSQIDIYVQVLQADGGTYAACVNAATLAVLDAGIPMRDFVCACSAGFVDGTALADLSHVEEAAGGPQLALALLPASGQIALLEMDARLHEDHLERVLEAAAQAARDVHTLLDRVVRQHVREASILLGD 种属同源性预测 |
| 宿主/亚型 | Rabbit / IgG |
| 抗体类别 | Polyclonal |
| 产品类型 | Antibody |
| 全称 | exosome component 4 |
| 别名 | SKI6, RRP41, Ribosomal RNA-processing protein 41, p12A, Exosome complex component RRP41 |
| 计算分子量 | 26 kDa |
| 观测分子量 | 27 kDa |
| GenBank蛋白编号 | BC002777 |
| 基因名称 | EXOSC4 |
| Gene ID (NCBI) | 54512 |
| RRID | AB_2293806 |
| 偶联类型 | Unconjugated |
| 形式 | Liquid |
| 纯化方式 | Antigen affinity purification |
| UNIPROT ID | Q9NPD3 |
| 储存缓冲液 | PBS with 0.02% sodium azide and 50% glycerol, pH 7.3. |
| 储存条件 | Store at -20°C. Stable for one year after shipment. Aliquoting is unnecessary for -20oC storage. |
背景介绍
EXOSC4, also named as RRP41 and SKI6, belongs to the RNase PH family. EXOSC4 is a novel component of the human exosome complex. EXOSC4 is the most important RNA processing machinery in maturation and degradation of RNA playing a major role in gene expression regulation (PMID: 29626590). EXOSC4 has 1 isoform with the molecular mass of 27 kDa. However, studies have shown that EXOSC4 can interact with EXOSC2 and EXOSC7, possibly form a complex with the molecular weight of 90 kDa (PMID: 25115889). Recently, EXOSC4 has been found to play important roles in tumorigcncsis and development including CRC (PMID: 33075373).
实验方案
| Product Specific Protocols | |
|---|---|
| IF protocol for EXOSC4 antibody 15937-1-AP | Download protocol |
| IHC protocol for EXOSC4 antibody 15937-1-AP | Download protocol |
| WB protocol for EXOSC4 antibody 15937-1-AP | Download protocol |
| Standard Protocols | |
|---|---|
| Click here to view our Standard Protocols |
发表文章
| Species | Application | Title |
|---|---|---|
J Biol Chem A Point Mutation in the Exon Junction Complex Factor Y14 Disrupts Its Function in mRNA Cap Binding and Translation Enhancement. | ||
Life Sci STX2 drives colorectal cancer proliferation via upregulation of EXOSC4.
| ||
Life Sci Alliance Low expression of EXOSC2 protects against clinical COVID-19 and impedes SARS-CoV-2 replication | ||
G3 (Bethesda) Humanized Saccharomyces cerevisiae provides a facile and effective tool to identify damaging human variants that cause exosomopathies | ||
J Transl Med Identification EXOSC4 as a novel autoantigen of interstitial lung disease in rheumatoid arthritis |







