验证数据展示
经过测试的应用
| Positive WB detected in | HeLa cells |
| Positive IP detected in | MCF-7 cells |
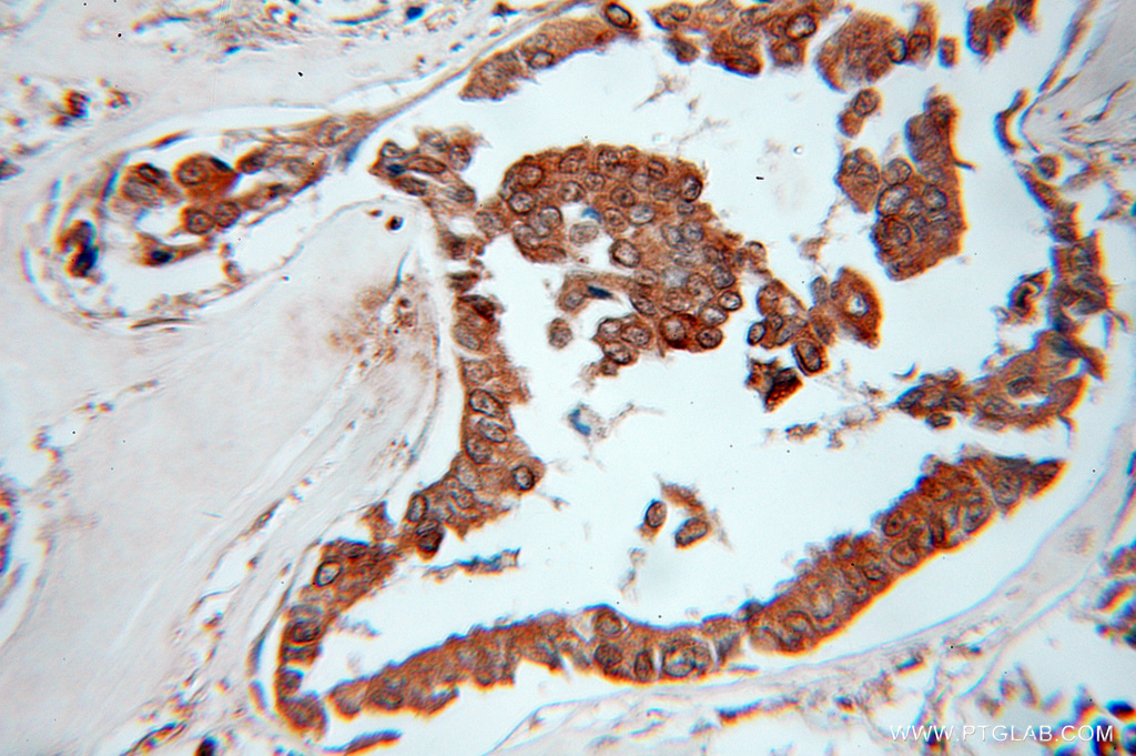
| Positive IHC detected in | human breast cancer tissue Note: suggested antigen retrieval with TE buffer pH 9.0; (*) Alternatively, antigen retrieval may be performed with citrate buffer pH 6.0 |
| Positive IF/ICC detected in | NIH/3T3 cells |
推荐稀释比
| 应用 | 推荐稀释比 |
|---|---|
| Western Blot (WB) | WB : 1:500-1:2000 |
| Immunoprecipitation (IP) | IP : 0.5-4.0 ug for 1.0-3.0 mg of total protein lysate |
| Immunohistochemistry (IHC) | IHC : 1:20-1:200 |
| Immunofluorescence (IF)/ICC | IF/ICC : 1:20-1:200 |
| It is recommended that this reagent should be titrated in each testing system to obtain optimal results. | |
| Sample-dependent, Check data in validation data gallery. | |
产品信息
11178-1-AP targets EXOSC10 in WB, IHC, IF/ICC, IP, CoIP, RIP, ELISA applications and shows reactivity with human, mouse samples.
| 经测试应用 | WB, IHC, IF/ICC, IP, ELISA Application Description |
| 文献引用应用 | WB, IF, IP, CoIP, RIP |
| 经测试反应性 | human, mouse |
| 文献引用反应性 | human, mouse |
| 免疫原 |
CatNo: Ag1666 Product name: Recombinant human EXOSC10 protein Source: e coli.-derived, PGEX-4T Tag: GST Domain: 586-885 aa of BC039901 Sequence: VAAGVKKSGPLPSAERLENVLFGPHDCSHAPPDGYPIIPTSGSVPVQKQASLFPDEKEDNLLGTTCLIATAVITLFNEPSAEDSKKGPLTVAQKKAQNIMESFENPFRMFLPSLGHRAPVSQAAKFDPSTKIYEISNRWKLAQVQVQKDSKEAVKKKAAEQTAAREQAKEACKAAAEQAISVRQQVVLENAAKKRERATSDPRTTEQKQEKKRLKISKKPKDPEPPEKEFTPYDYSQSDFKAFAGNSKSKVSSQFDPNKQTPSGKKCIAAKKIKQSVGNKSMSFPTGKSDRGFRYNWPQR 种属同源性预测 |
| 宿主/亚型 | Rabbit / IgG |
| 抗体类别 | Polyclonal |
| 产品类型 | Antibody |
| 全称 | exosome component 10 |
| 别名 | Rrp6p, RRP6, PM/Scl-100, P100 polymyositis-scleroderma overlap syndrome-associated autoantigen, Exosome complex component 10 |
| 计算分子量 | 98 kDa |
| 观测分子量 | 100 kDa |
| GenBank蛋白编号 | BC039901 |
| 基因名称 | EXOSC10 |
| Gene ID (NCBI) | 5394 |
| RRID | AB_2293792 |
| 偶联类型 | Unconjugated |
| 形式 | Liquid |
| 纯化方式 | Antigen affinity purification |
| UNIPROT ID | Q01780 |
| 储存缓冲液 | PBS with 0.02% sodium azide and 50% glycerol, pH 7.3. |
| 储存条件 | Store at -20°C. Stable for one year after shipment. Aliquoting is unnecessary for -20oC storage. |
背景介绍
About 50% of patients with polymyositis/scleroderma (PM-Scl) overlap syndrome are reported to have autoantibodies to a neuclear
ucleolar particle termed PM-Scl. Exosome component 10 (EXOSC10), also named autoantigen PM/Scl 2, is the 100 kDa antigen component of PM-Scl and is recognized by most sera of PM-Scl paitents. EXOSC10 is strongly enriched in the nucleolus and a small amount has been found in cytoplasm supporting the existence of a nucleolar RNA exosome complex form. As a putative catalytic component of the RNA exosome complex which has 3'->5' exoribonuclease activity, EXOSC10 participates in a multitude of cellular RNA processing and degradation events.
实验方案
| Product Specific Protocols | |
|---|---|
| IF protocol for EXOSC10 antibody 11178-1-AP | Download protocol |
| IHC protocol for EXOSC10 antibody 11178-1-AP | Download protocol |
| IP protocol for EXOSC10 antibody 11178-1-AP | Download protocol |
| WB protocol for EXOSC10 antibody 11178-1-AP | Download protocol |
| Standard Protocols | |
|---|---|
| Click here to view our Standard Protocols |
发表文章
| Species | Application | Title |
|---|---|---|
Nat Commun TASOR epigenetic repressor cooperates with a CNOT1 RNA degradation pathway to repress HIV. | ||
Development Post-transcription regulation by the exosome complex is required for cell survival and forebrain development by repressing P53 signaling.
| ||
Life Sci Alliance Low expression of EXOSC2 protects against clinical COVID-19 and impedes SARS-CoV-2 replication | ||
Cancer Res NAT10 drives cisplatin chemoresistance by enhancing ac4C-associated DNA repair in bladder cancer |



