验证数据展示
经过测试的应用
| Positive WB detected in | SKOV-3 cells |
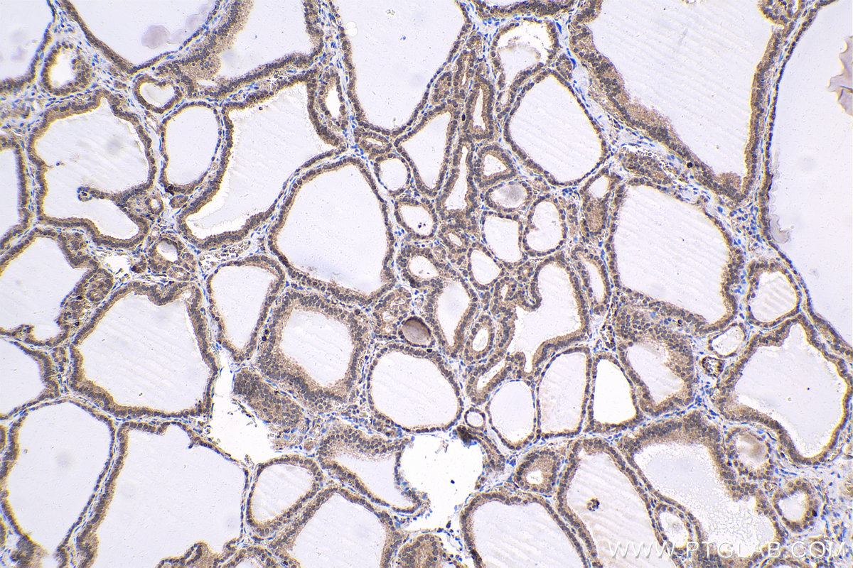
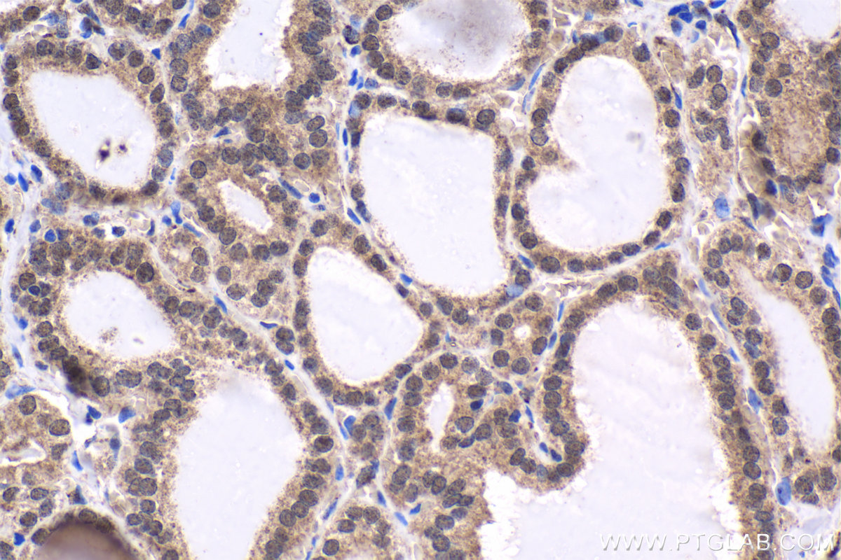
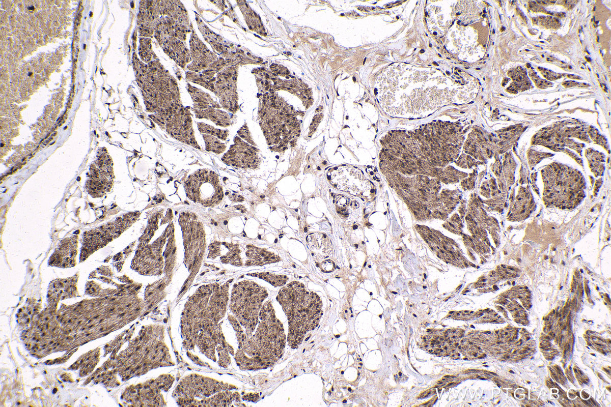
| Positive IHC detected in | human urothelial carcinoma tissue, human thyroid cancer tissue Note: suggested antigen retrieval with TE buffer pH 9.0; (*) Alternatively, antigen retrieval may be performed with citrate buffer pH 6.0 |
| Positive IF/ICC detected in | SKOV-3 cells |
推荐稀释比
| 应用 | 推荐稀释比 |
|---|---|
| Western Blot (WB) | WB : 1:200-1:1000 |
| Immunohistochemistry (IHC) | IHC : 1:250-1:1000 |
| Immunofluorescence (IF)/ICC | IF/ICC : 1:50-1:500 |
| It is recommended that this reagent should be titrated in each testing system to obtain optimal results. | |
| Sample-dependent, Check data in validation data gallery. | |
产品信息
23201-1-AP targets EVI1 in WB, IHC, IF/ICC, CoIP, ELISA applications and shows reactivity with human samples.
| 经测试应用 | WB, IHC, IF/ICC, ELISA Application Description |
| 文献引用应用 | WB, CoIP, IF |
| 经测试反应性 | human |
| 文献引用反应性 | human |
| 免疫原 |
CatNo: Ag19603 Product name: Recombinant human EVI1 protein Source: e coli.-derived, PET28a Tag: 6*His Domain: 813-1052 aa of BC130520 Sequence: HENGNMSGTATSSPHSELESTGAILDDKEDAYFTEIRNFIGNSNHGSQSPRNVEERMNGSHFKDEKALVTSQNSDLLDDEEVEDEVLLDEEDEDNDITGKTGKEPVTSNLHEGNPEDDYEETSALEMSCKTSPVRYKEEEYKSGLSALDHIRHFTDSLKMRKMEDNQYSEAELSSFSTSHVPEELKQPLHRKSKSQAYAMMLSLSDKESLHSTSHSSSNVWHSMARAAAESSAIQSISHV 种属同源性预测 |
| 宿主/亚型 | Rabbit / IgG |
| 抗体类别 | Polyclonal |
| 产品类型 | Antibody |
| 全称 | ecotropic viral integration site 1 |
| 别名 | MECOM, MDS1 EVI1, EVI-1, EVI 1, EC:2.1.1.367 |
| 计算分子量 | 1239 aa, 139 kDa |
| 观测分子量 | 118 kDa |
| GenBank蛋白编号 | BC130520 |
| 基因名称 | EVI1 |
| Gene ID (NCBI) | 2122 |
| RRID | AB_2879230 |
| 偶联类型 | Unconjugated |
| 形式 | Liquid |
| 纯化方式 | Antigen Affinity purified |
| UNIPROT ID | Q03112 |
| 储存缓冲液 | PBS with 0.02% sodium azide and 50% glycerol, pH 7.3. |
| 储存条件 | Store at -20°C. Stable for one year after shipment. Aliquoting is unnecessary for -20oC storage. |
实验方案
| Product Specific Protocols | |
|---|---|
| IF protocol for EVI1 antibody 23201-1-AP | Download protocol |
| IHC protocol for EVI1 antibody 23201-1-AP | Download protocol |
| WB protocol for EVI1 antibody 23201-1-AP | Download protocol |
| Standard Protocols | |
|---|---|
| Click here to view our Standard Protocols |






