验证数据展示
经过测试的应用
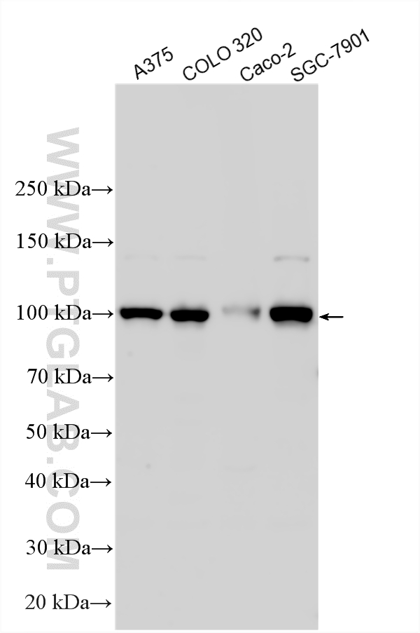
| Positive WB detected in | A375 cells, COLO 320 cells, SGC-7901 cells, Caco-2 cells |
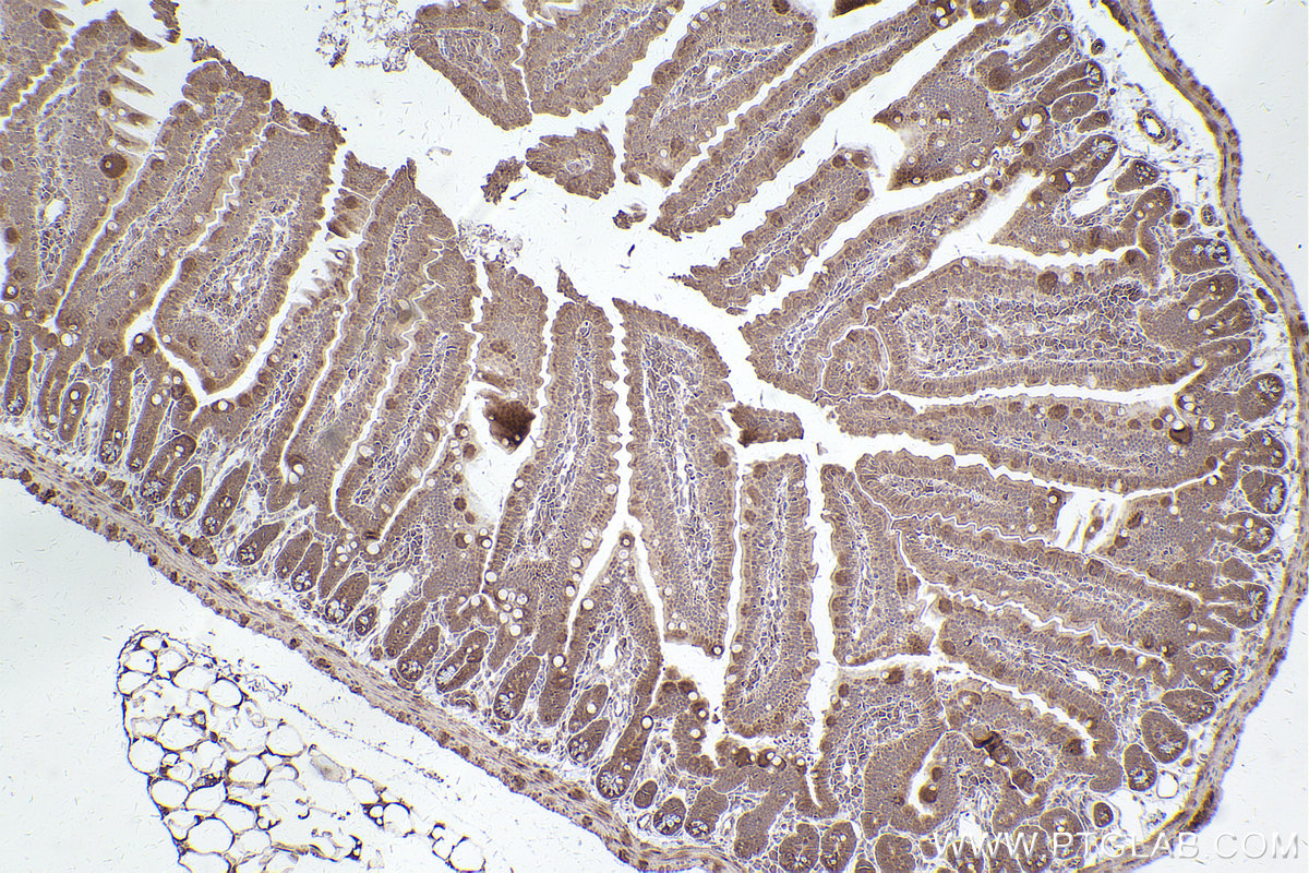
| Positive IHC detected in | mouse small intestine tissue Note: suggested antigen retrieval with TE buffer pH 9.0; (*) Alternatively, antigen retrieval may be performed with citrate buffer pH 6.0 |
推荐稀释比
| 应用 | 推荐稀释比 |
|---|---|
| Western Blot (WB) | WB : 1:2000-1:12000 |
| Immunohistochemistry (IHC) | IHC : 1:250-1:1000 |
| It is recommended that this reagent should be titrated in each testing system to obtain optimal results. | |
| Sample-dependent, Check data in validation data gallery. | |
发表文章中的应用
| KD/KO | See 1 publications below |
| WB | See 2 publications below |
产品信息
29821-1-AP targets ESCO1 in WB, IHC, ELISA applications and shows reactivity with human, mouse samples.
| 经测试应用 | WB, IHC, ELISA Application Description |
| 文献引用应用 | WB |
| 经测试反应性 | human, mouse |
| 文献引用反应性 | human |
| 免疫原 |
CatNo: Ag31189 Product name: Recombinant human ESCO1 protein Source: e coli.-derived, PGEX-4T Tag: GST Domain: 1-210 aa of NM_052911 Sequence: MMSIQEKSKENSSKVTKKSDDKNSETEIQDSQKNLAKKSGPKETIKSQAKSSSESKINQPELETRMSTRSSKAASNDKATKSINKNTVTVRGYSQESTKKKLSQKKLVHENPKANEQLNRRSQRLQQLTEVSRRSLRSREIQGQVQAVKQSLPPTKKEQCSSTQSKSNKTSQKHVKRKVLEVKSDSKEDENLVINEVINSPKGKKRKVEH 种属同源性预测 |
| 宿主/亚型 | Rabbit / IgG |
| 抗体类别 | Polyclonal |
| 产品类型 | Antibody |
| 全称 | establishment of cohesion 1 homolog 1 (S. cerevisiae) |
| 别名 | CTF7 homolog 1, ECO1 homolog 1, EFO1, ESO1 homolog 1, hEFO1 |
| 计算分子量 | 95 kDa |
| 观测分子量 | 95 kDa |
| GenBank蛋白编号 | NM_052911 |
| 基因名称 | ESCO1 |
| Gene ID (NCBI) | 114799 |
| RRID | AB_3086174 |
| 偶联类型 | Unconjugated |
| 形式 | Liquid |
| 纯化方式 | Antigen affinity purification |
| UNIPROT ID | Q5FWF5 |
| 储存缓冲液 | PBS with 0.02% sodium azide and 50% glycerol, pH 7.3. |
| 储存条件 | Store at -20°C. Stable for one year after shipment. Aliquoting is unnecessary for -20oC storage. |
实验方案
| Product Specific Protocols | |
|---|---|
| IHC protocol for ESCO1 antibody 29821-1-AP | Download protocol |
| WB protocol for ESCO1 antibody 29821-1-AP | Download protocol |
| Standard Protocols | |
|---|---|
| Click here to view our Standard Protocols |
发表文章
| Species | Application | Title |
|---|---|---|
EMBO J S-phase PARylation of microprotein RSMC enhances the function of Sororin in sister chromatid cohesion. | ||
Nat Commun Sororin locks the DNA-exit gate of cohesin to preserve sister-chromatid cohesion.
|


