验证数据展示
经过测试的应用
| Positive WB detected in | NIH/3T3 cells, Calyculin A treated HEK-293T cells |
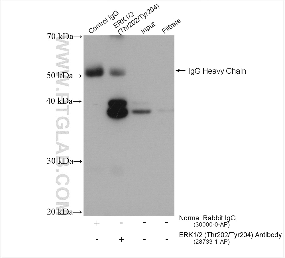
| Positive IP detected in | Calyculin A treated PC-3 cells |
推荐稀释比
| 应用 | 推荐稀释比 |
|---|---|
| Western Blot (WB) | WB : 1:1000-1:4000 |
| Immunoprecipitation (IP) | IP : 0.5-4.0 ug for 1.0-3.0 mg of total protein lysate |
| It is recommended that this reagent should be titrated in each testing system to obtain optimal results. | |
| Sample-dependent, Check data in validation data gallery. | |
产品信息
28733-1-AP targets Phospho-ERK1/2 (Thr202/Tyr204) in WB, IHC, IF, IP, CoIP, ChIP, ELISA applications and shows reactivity with human, mouse samples.
| 经测试应用 | WB, IP, ELISA Application Description |
| 文献引用应用 | WB, IHC, IF, CoIP, ChIP |
| 经测试反应性 | human, mouse |
| 文献引用反应性 | human, mouse, rat, pig, canine, chicken, zebrafish, sheep, goat |
| 免疫原 |
Peptide 种属同源性预测 |
| 宿主/亚型 | Rabbit / IgG |
| 抗体类别 | Polyclonal |
| 产品类型 | Antibody |
| 全称 | mitogen-activated protein kinase 3 |
| 别名 | ERK1/2 (Thr202/Tyr204), p ERK, p ERK1/2, p ERK1/2 (Thr202/Tyr204), p ERK1/2 Thr202/Tyr204 |
| 计算分子量 | 38-43 kDa |
| 观测分子量 | 38-43 kDa |
| GenBank蛋白编号 | NM_002746 |
| 基因名称 | ERK1 |
| Gene ID (NCBI) | 5595 |
| RRID | AB_2881202 |
| 偶联类型 | Unconjugated |
| 形式 | Liquid |
| 纯化方式 | Antigen affinity purification |
| UNIPROT ID | P27361 |
| 储存缓冲液 | PBS with 0.02% sodium azide and 50% glycerol, pH 7.3. |
| 储存条件 | Store at -20°C. Stable for one year after shipment. Aliquoting is unnecessary for -20oC storage. |
背景介绍
Serine/threonine kinase which acts as an essential component of the MAP kinase signal transduction pathway. MAPK1/ERK2 and MAPK3/ERK1 are the 2 MAPKs which play an important role in the MAPK/ERK cascade. They participate also in a signaling cascade initiated by activated KIT and KITLG/SCF. Depending on the cellular context, the MAPK/ERK cascade mediates diverse biological functions such as cell growth, adhesion, survival and differentiation through the regulation of transcription, translation, cytoskeletal rearrangements. The MAPK/ERK cascade plays also a role in initiation and regulation of meiosis, mitosis, and postmitotic functions in differentiated cells by phosphorylating a number of transcription factors. MEK1 and MEK2 activate p44 and p42 through phosphorylation of activation loop residues Thr202/Tyr204 and Thr185/Tyr187, respectively. Several downstream targets of p44/42 have been identified, including p90RSK and the transcription factor Elk-1. This antibody simultaneously recognizes the phosphorylation of ERK1 at Thr202 and Tyr204, as well as the phosphorylation of ERK2 at Thr185 and Tyr187.
实验方案
| Product Specific Protocols | |
|---|---|
| IP protocol for Phospho-ERK1/2 (Thr202/Tyr204) antibody 28733-1-AP | Download protocol |
| WB protocol for Phospho-ERK1/2 (Thr202/Tyr204) antibody 28733-1-AP | Download protocol |
| Standard Protocols | |
|---|---|
| Click here to view our Standard Protocols |
发表文章
| Species | Application | Title |
|---|---|---|
Signal Transduct Target Ther Circulating tumor cells shielded with extracellular vesicle-derived CD45 evade T cell attack to enable metastasis | ||
Mol Cancer Cholesterol promotes EGFR-TKIs resistance in NSCLC by inducing EGFR/Src/Erk/SP1 signaling-mediated ERRα re-expression. | ||
Biomaterials Myocardial delivery of miR30d with peptide-functionalized milk-derived extracellular vesicles for targeted treatment of hypertrophic heart failure | ||
Exp Mol Med Helicobacter pylori CagA-mediated ether lipid biosynthesis promotes ferroptosis susceptibility in gastric cancer | ||
J Nanobiotechnology Delivery of an ERK inhibitor using bioactive lipid nanoparticles reduces angiogenesis and prevents oral squamous cell carcinoma development | ||
Redox Biol Twin defect-rich Pt ultrathin nanowire nanozymes alleviate inflammatory skin diseases by scavenging reactive oxygen species |



