验证数据展示
经过测试的应用
| Positive WB detected in | HeLa cells, HepG2 cells, MCF-7 cells, HEK-293 cells, Jurkat cells, HSC-T6 cells, NIH/3T3 cells |
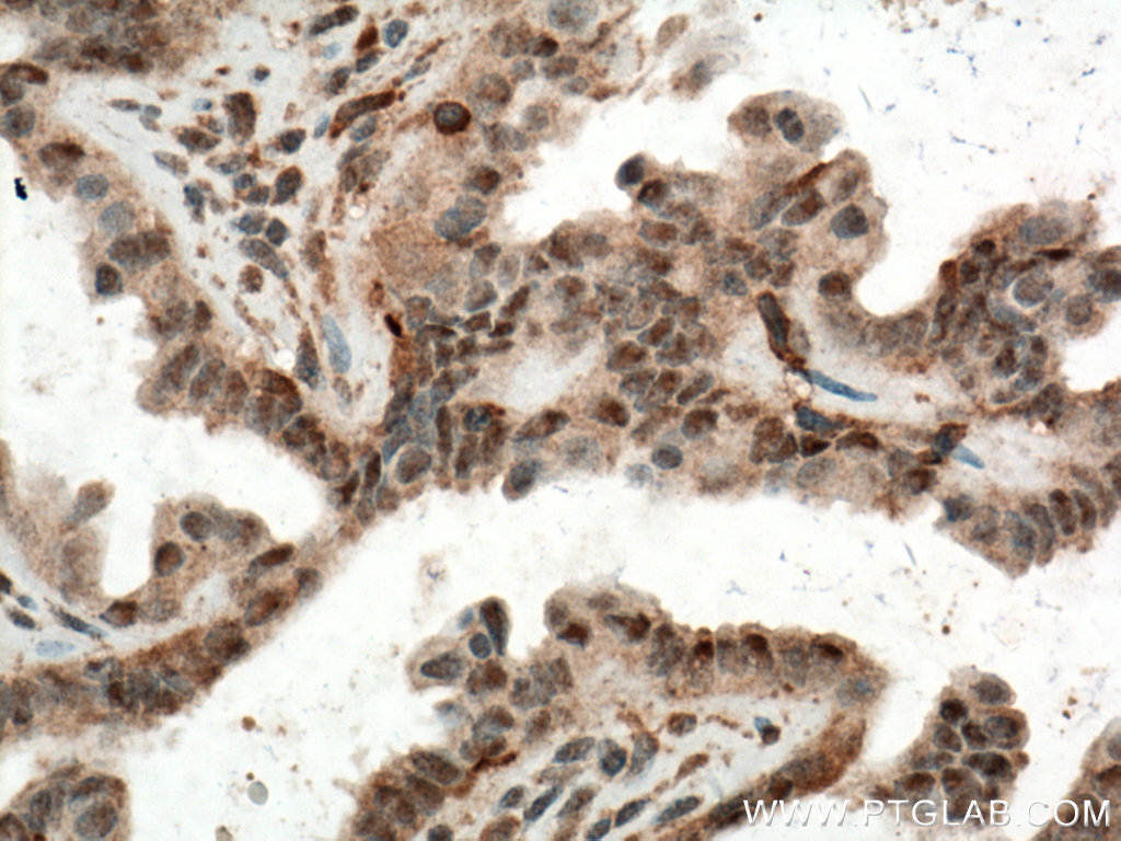
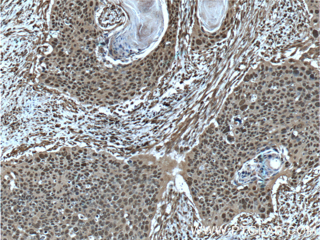
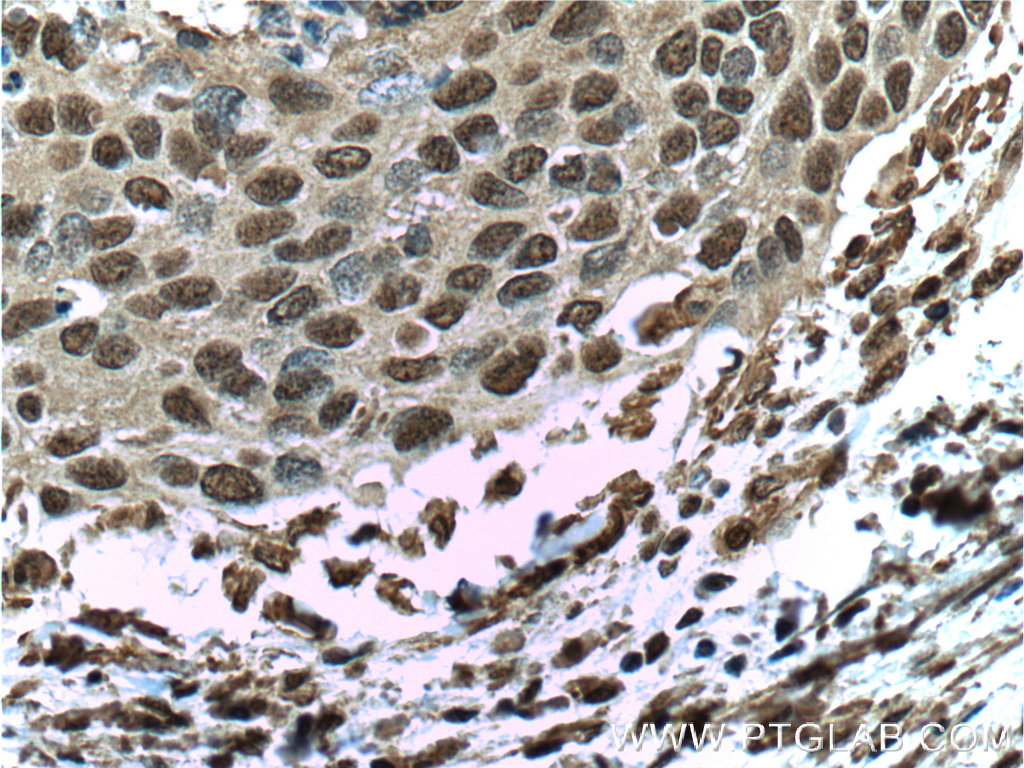
| Positive IHC detected in | human ovary tumor tissue, human cervical cancer tissue Note: suggested antigen retrieval with TE buffer pH 9.0; (*) Alternatively, antigen retrieval may be performed with citrate buffer pH 6.0 |
| Positive IF/ICC detected in | HeLa cells |
推荐稀释比
| 应用 | 推荐稀释比 |
|---|---|
| Western Blot (WB) | WB : 1:2000-1:10000 |
| Immunohistochemistry (IHC) | IHC : 1:2000-1:6000 |
| Immunofluorescence (IF)/ICC | IF/ICC : 1:200-1:800 |
| It is recommended that this reagent should be titrated in each testing system to obtain optimal results. | |
| Sample-dependent, Check data in validation data gallery. | |
产品信息
66192-1-Ig targets ERK1/2 in WB, IHC, IF/ICC, CoIP, ELISA applications and shows reactivity with human, mouse samples.
| 经测试应用 | WB, IHC, IF/ICC, ELISA Application Description |
| 文献引用应用 | WB, IHC, IF, CoIP |
| 经测试反应性 | human, mouse |
| 文献引用反应性 | human, mouse, rat |
| 免疫原 |
CatNo: Ag20350 Product name: Recombinant human ERK1/2 protein Source: e coli.-derived, PET28a Tag: 6*His Domain: 1-379 aa of BC013992 Sequence: MAAAAAQGGGGGEPRRTEGVGPGVPGEVEMVKGQPFDVGPRYTQLQYIGEGAYGMVSSAYDHVRKTRVAIKKISPFEHQTYCQRTLREIQILLRFRHENVIGIRDILRASTLEAMRDVYIVQDLMETDLYKLLKSQQLSNDHICYFLYQILRGLKYIHSANVLHRDLKPSNLLINTTCDLKICDFGLARIADPEHDHTGFLTEYVATRWYRAPEIMLNSKGYTKSIDIWSVGCILAEMLSNRPIFPGKHYLDQLNHILGILGSPSQEDLNCIINMKARNYLQSLPSKTKVAWAKLFPKSDSKALDLLDRMLTFNPNKRITVEEALAHPYLEQYYDPTDEPVAEEPFTFAMELDDLPKERLKELIFQETARFQPGVLEAP 种属同源性预测 |
| 宿主/亚型 | Mouse / IgG1 |
| 抗体类别 | Monoclonal |
| 产品类型 | Antibody |
| 全称 | mitogen-activated protein kinase 3 |
| 别名 | ERK, ERK1, ERK2, 4G8A11, EC:2.7.11.24 |
| 计算分子量 | 43 kDa |
| 观测分子量 | 38-44 kDa |
| GenBank蛋白编号 | BC013992 |
| 基因名称 | ERK1 |
| Gene ID (NCBI) | 5595 |
| RRID | AB_2811205 |
| 偶联类型 | Unconjugated |
| 形式 | Liquid |
| 纯化方式 | Protein G purification |
| UNIPROT ID | P27361 |
| 储存缓冲液 | PBS with 0.02% sodium azide and 50% glycerol, pH 7.3. |
| 储存条件 | Store at -20°C. Stable for one year after shipment. Aliquoting is unnecessary for -20oC storage. |
背景介绍
ERK1 and ERK2 belongs to the protein kinase superfamily. It is involved in both the initiation and regulation of meiosis, mitosis, and postmitotic functions in differentiated cells by phosphorylating a number of transcription factors such as ELK-1. ERK1/2 catalized the reaction: ATP + a protein = ADP + a phosphoprotein. It is activated by tyrosine phosphorylation in response to INS and NGF. This antibody can recognize both ERK1 and ERK2 with the molecular mass of 38-44 kDa.
实验方案
| Product Specific Protocols | |
|---|---|
| IF protocol for ERK1/2 antibody 66192-1-Ig | Download protocol |
| IHC protocol for ERK1/2 antibody 66192-1-Ig | Download protocol |
| WB protocol for ERK1/2 antibody 66192-1-Ig | Download protocol |
| Standard Protocols | |
|---|---|
| Click here to view our Standard Protocols |
发表文章
| Species | Application | Title |
|---|---|---|
Adv Sci (Weinh) Ccl2-Induced Regulatory T Cells Balance Inflammation Through Macrophage Polarization During Liver Reconstitution | ||
PLoS Biol mGluR5/ERK signaling regulated the phosphorylation and function of glycine receptor α1ins subunit in spinal dorsal horn of mice. | ||
Oncogene ALK fusion promotes metabolic reprogramming of cancer cells by transcriptionally upregulating PFKFB3 | ||
Stem Cells miR-223 regulates adipogenic and osteogenic differentiation of mesenchymal stem cells through a C/EBPs/miR-223/FGFR2 regulatory feedback loop. | ||
Front Immunol Enhancing pancreatic cancer treatment: the role of H101 oncolytic virus in irreversible electroporation | ||
Diabetes Pygo2 Regulates Adiposity and Glucose Homeostasis via β-Catenin-Axin2-GSK3β Signaling Pathway. |










