验证数据展示
经过测试的应用
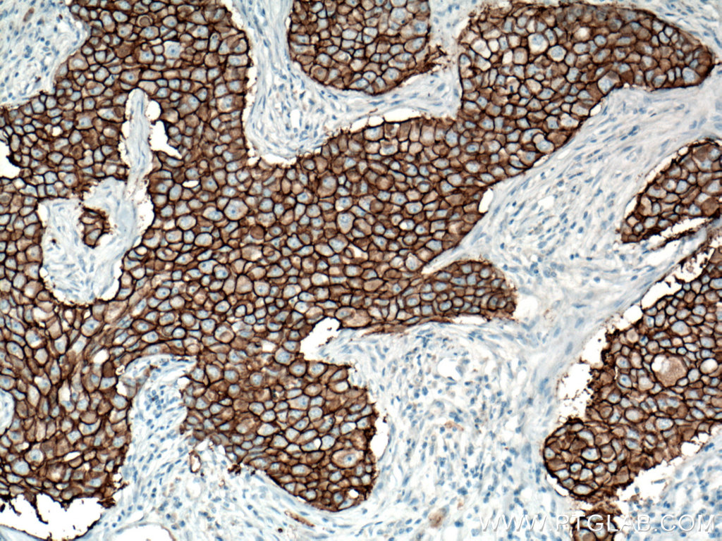
| Positive IHC detected in | human breast cancer tissue Note: suggested antigen retrieval with TE buffer pH 9.0; (*) Alternatively, antigen retrieval may be performed with citrate buffer pH 6.0 |
| Positive IF-P detected in | human breast cancer tissue |
| Positive FC detected in | SK-BR-3 cells |
推荐稀释比
| 应用 | 推荐稀释比 |
|---|---|
| Immunohistochemistry (IHC) | IHC : 1:800-1:3200 |
| Immunofluorescence (IF)-P | IF-P : 1:50-1:500 |
| Flow Cytometry (FC) | FC : 0.20 ug per 10^6 cells in a 100 µl suspension |
| It is recommended that this reagent should be titrated in each testing system to obtain optimal results. | |
| Sample-dependent, Check data in validation data gallery. | |
发表文章中的应用
| IHC | See 5 publications below |
| IF | See 2 publications below |
产品信息
60311-1-Ig targets HER2/ErbB2 in IHC, IF-P, ELISA applications and shows reactivity with human samples.
| 经测试应用 | IHC, IF-P, ELISA Application Description |
| 文献引用应用 | IHC, IF |
| 经测试反应性 | human |
| 文献引用反应性 | human |
| 免疫原 |
CatNo: Ag16463 Product name: Recombinant human ERBB2 protein Source: e coli.-derived, PGEX-4T Tag: GST Domain: 23-372 aa of BC156755 Sequence: TQVCTGTDMKLRLPASPETHLDMLRHLYQGCQVVQGNLELTYLPTNASLSFLQDIQEVQGYVLIAHNQVRQVPLQRLRIVRGTQLFEDNYALAVLDNGDPLNNTTPVTGASPGGLRELQLRSLTEILKGGVLIQRNPQLCYQDTILWKDIFHKNNQLALTLIDTNRSRACHPCSPMCKGSRCWGESSEDCQSLTRTVCAGGCARCKGPLPTDCCHEQCAAGCTGPKHSDCLACLHFNHSGICELHCPALVTYNTDTFESMPNPEGRYTFGASCVTACPYNYLSTDVGSCTLVCPLHNQEVTAEDGTQRCEKCSKPCARVCYGLGMEHLREVRAVTSANIQEFAGCKKIFG 种属同源性预测 |
| 宿主/亚型 | Mouse / IgG2b |
| 抗体类别 | Monoclonal |
| 产品类型 | Antibody |
| 全称 | v-erb-b2 erythroblastic leukemia viral oncogene homolog 2, neuro/glioblastoma derived oncogene homolog (avian) |
| 别名 | ERBB2, 1B12A7, CD340, HER 2, HER 2/neu |
| 计算分子量 | 1255 aa, 138 kDa |
| GenBank蛋白编号 | BC156755 |
| 基因名称 | HER2/ErbB2 |
| Gene ID (NCBI) | 2064 |
| RRID | AB_2881423 |
| 偶联类型 | Unconjugated |
| 形式 | Liquid |
| 纯化方式 | Protein A purification |
| UNIPROT ID | P04626 |
| 储存缓冲液 | PBS with 0.02% sodium azide and 50% glycerol, pH 7.3. |
| 储存条件 | Store at -20°C. Stable for one year after shipment. Aliquoting is unnecessary for -20oC storage. |
背景介绍
HER2, ErbB2, and Neu is a 185-kDa transmembrane glycoprotein member of the epidermal growth factor (EGF) receptor family of receptor tyrosine kinases. It has no ligand-binding domain and therefore cannot bind growth factors. However, it does bind tightly to other ligand-bound EGF receptor family members to form a heterodimer, stabilizing ligand binding and enhancing kinase-mediated activation of downstream signalling pathways, such as those involving mitogen-activated protein kinase and phosphatidylinositol-3 kinase. Amplification and/or overexpression of HER2 have been reported in numerous cancers, including breast and ovarian tumors. HER2 is a therapeutic target for the treatment of breast cancer and other carcinomas.
实验方案
| Product Specific Protocols | |
|---|---|
| FC protocol for HER2/ErbB2 antibody 60311-1-Ig | Download protocol |
| IF protocol for HER2/ErbB2 antibody 60311-1-Ig | Download protocol |
| IHC protocol for HER2/ErbB2 antibody 60311-1-Ig | Download protocol |
| Standard Protocols | |
|---|---|
| Click here to view our Standard Protocols |
发表文章
| Species | Application | Title |
|---|---|---|
Mol Med Rep HPK1 positive expression associated with longer overall survival in patients with estrogen receptor-positive invasive ductal carcinoma‑not otherwise specified. | ||
Oncol Lett Circulating HER-2 mRNA in the peripheral blood as a potential diagnostic and prognostic biomarker in females with breast cancer. | ||
Mol Cancer CMTM6 overexpression confers trastuzumab resistance in HER2-positive breast cancer | ||
Int J Cancer Establishment of patient-derived organoids for guiding personalized therapies in breast cancer patients | ||
Adv Mater Targeted SERS Imaging and Intraoperative Real-Time Elimination of Microscopic Tumors for Improved Breast-Conserving Surgery |





