验证数据展示
经过测试的应用
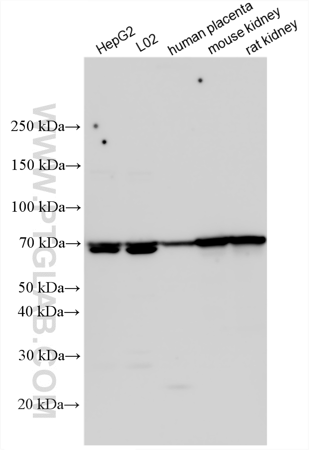
| Positive WB detected in | HepG2 cells, Jurkat cells, L02 cells, human placenta tissue, mouse kidney tissue, rat kidney tissue |
推荐稀释比
| 应用 | 推荐稀释比 |
|---|---|
| Western Blot (WB) | WB : 1:1000-1:6000 |
| It is recommended that this reagent should be titrated in each testing system to obtain optimal results. | |
| Sample-dependent, Check data in validation data gallery. | |
产品信息
30766-1-AP targets EPOR in WB, ELISA applications and shows reactivity with human, mouse, rat samples.
| 经测试应用 | WB, ELISA Application Description |
| 经测试反应性 | human, mouse, rat |
| 免疫原 |
CatNo: Ag33956 Product name: Recombinant human EPOR protein Source: e coli.-derived, PGEX-4T Tag: GST Domain: 25-250 aa of NM_000121.4 Sequence: APPPNLPDPKFESKAALLAARGPEELLCFTERLEDLVCFWEEAASAGVGPGNYSFSYQLEDEPWKLCRLHQAPTARGAVRFWCSLPTADTSSFVPLELRVTAASGAPRYHRVIHINEVVLLDAPVGLVARLADESGHVVLRWLPPPETPMTSHIRYEVDVSAGNGAGSVQRVEILEGRTECVLSNLRGRTRYTFAVRARMAEPSFGGFWSAWSEPVSLLTPSDLDP 种属同源性预测 |
| 宿主/亚型 | Rabbit / IgG |
| 抗体类别 | Polyclonal |
| 产品类型 | Antibody |
| 全称 | erythropoietin receptor |
| 别名 | EPO R, EPO-R, erythropoietin receptor |
| 计算分子量 | 55 kDa |
| 观测分子量 | 70 kDa |
| GenBank蛋白编号 | NM_000121.4 |
| 基因名称 | EPOR |
| Gene ID (NCBI) | 2057 |
| RRID | AB_3086414 |
| 偶联类型 | Unconjugated |
| 形式 | Liquid |
| 纯化方式 | Antigen affinity purification |
| UNIPROT ID | P19235 |
| 储存缓冲液 | PBS with 0.02% sodium azide and 50% glycerol, pH 7.3. |
| 储存条件 | Store at -20°C. Stable for one year after shipment. Aliquoting is unnecessary for -20oC storage. |
背景介绍
Erythropoietin (EPO) receptor (EPOR) is a glycoprotein that belongs to the type I superfamily of single-transmembrane cytokine receptors. It consists of an extracellular domain that binds to the EPO ligand, a transmembrane domain and an intracellular domain. The interaction of EPO and EPOR triggers the activation of several signaling pathways that induce erythropoiesis, including JAK2/STAT5, PI3K/AKT, and MAPK (PMID: 34281163). EPOR is present on erythroid progenitor cells and has also been detected on a wide variety of non-hematopoietic cells (PMID: 36233351). The calculated molecular weight of EPOR is 55 kDa. EPOR undergoes posttranslational modification and the apparent molecular weight of 66-78 kDa has been reported (PMID: 8943308; 12088257).
实验方案
| Product Specific Protocols | |
|---|---|
| WB protocol for EPOR antibody 30766-1-AP | Download protocol |
| Standard Protocols | |
|---|---|
| Click here to view our Standard Protocols |

