验证数据展示
经过测试的应用
| Positive WB detected in | HEK-293 cells |
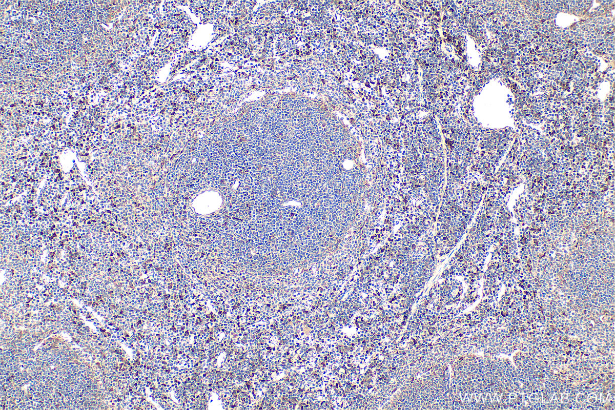
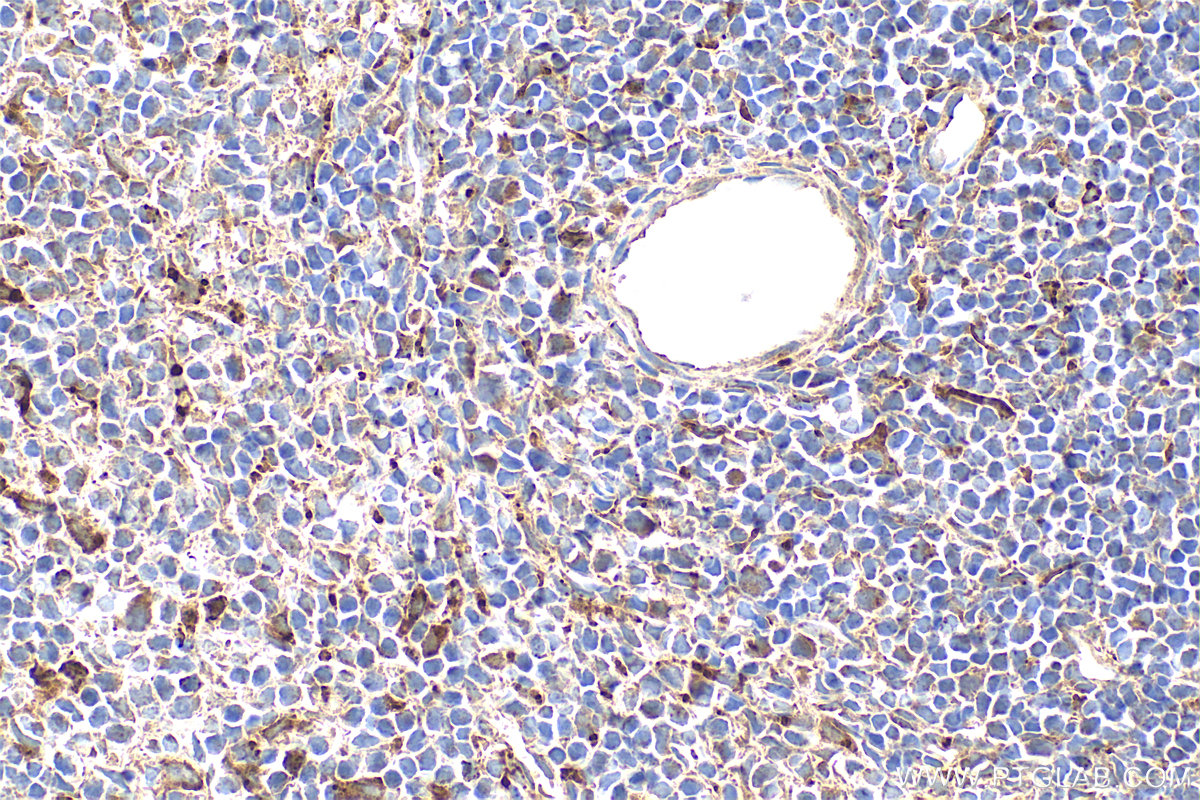
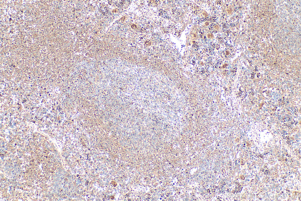
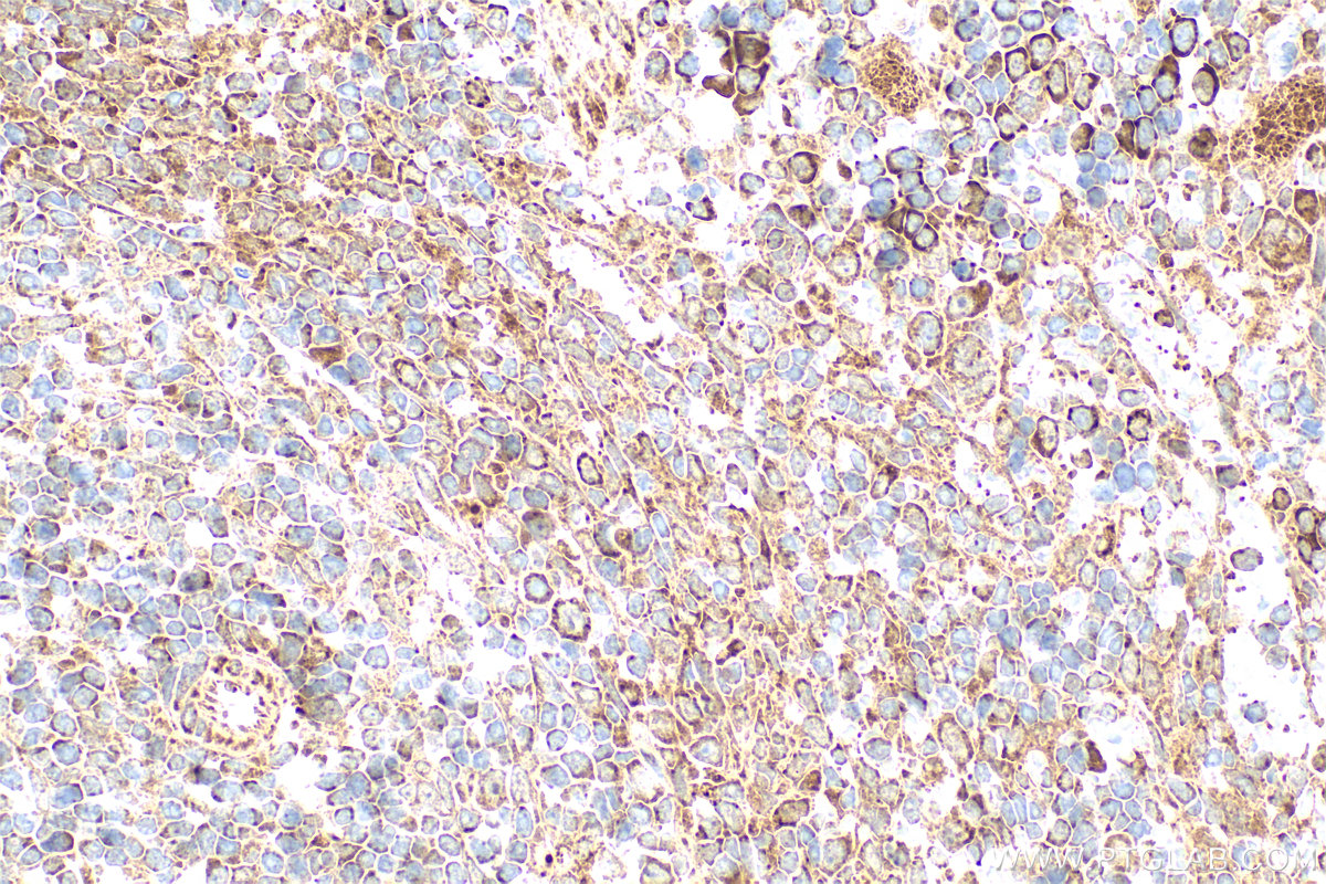
| Positive IHC detected in | rat kidney tissue, mouse spleen tissue, rat spleen tissue Note: suggested antigen retrieval with TE buffer pH 9.0; (*) Alternatively, antigen retrieval may be performed with citrate buffer pH 6.0 |
推荐稀释比
| 应用 | 推荐稀释比 |
|---|---|
| Western Blot (WB) | WB : 1:200-1:1000 |
| Immunohistochemistry (IHC) | IHC : 1:50-1:500 |
| It is recommended that this reagent should be titrated in each testing system to obtain optimal results. | |
| Sample-dependent, Check data in validation data gallery. | |
发表文章中的应用
| WB | See 3 publications below |
| IHC | See 2 publications below |
产品信息
17908-1-AP targets EPO/Erythropoietin in WB, IHC, ELISA applications and shows reactivity with human, mouse, rat samples.
| 经测试应用 | WB, IHC, ELISA Application Description |
| 文献引用应用 | WB, IHC |
| 经测试反应性 | human, mouse, rat |
| 文献引用反应性 | human, rat, canine |
| 免疫原 |
CatNo: Ag12302 Product name: Recombinant human EPO protein Source: e coli.-derived, PGEX-4T Tag: GST Domain: 3-193 aa of BC093628 Sequence: VHECPAWLWLLLSLLSLPLGLPVLGAPPRLICDSRVLERYLLEAKEAENITTGCAEHCSLNENITVPDTKVNFYAWKRMEVGQQAVEVWQGLALLSEAVLRGQALLVNSSQPWEPLQLHVDKAVSGLRSLTTLLRALGAQKEAISPPDAASAAPLRTITADTFRKLFRVYSNFLRGKLKLYTGEACRTGDR 种属同源性预测 |
| 宿主/亚型 | Rabbit / IgG |
| 抗体类别 | Polyclonal |
| 产品类型 | Antibody |
| 全称 | erythropoietin |
| 别名 | EPO, EP, Epoetin, erythropoietin, MVCD2 |
| 计算分子量 | 193 aa, 21 kDa |
| 观测分子量 | 37 kDa |
| GenBank蛋白编号 | BC093628 |
| 基因名称 | EPO/Erythropoietin |
| Gene ID (NCBI) | 2056 |
| RRID | AB_10638147 |
| 偶联类型 | Unconjugated |
| 形式 | Liquid |
| 纯化方式 | Antigen affinity purification |
| UNIPROT ID | P01588 |
| 储存缓冲液 | PBS with 0.02% sodium azide and 50% glycerol, pH 7.3. |
| 储存条件 | Store at -20°C. Stable for one year after shipment. Aliquoting is unnecessary for -20oC storage. |
背景介绍
Erythropoietin (Epo) is a member of the EPO/TPO family and encodes a secreted, glycosylated cytokine composed of four alpha helical bundles. Erythropoietin (Epo) is a 166 amino acids protein containing three N-glycosylation sites (Asn-24, Asn-38, and Asn-83) and 1 O- glycosylation site (Ser-126) and involved in the regulation of the level of red blood cells. The protein is found in the plasma and regulates red cell production by promoting erythroid differentiation and initiating hemoglobin synthesis. Its effect is realized by binding erythropoietin receptor (EpoR) expressed on erythroid progenitor cells. EpoR, is a glycoprotein expressed on megakaryocytes, erythroid progenitors and endothelial cells. Epo also has neuroprotective activity against a variety of potential brain injuries and antiapoptotic functions in several tissue types.
实验方案
| Product Specific Protocols | |
|---|---|
| IHC protocol for EPO/Erythropoietin antibody 17908-1-AP | Download protocol |
| WB protocol for EPO/Erythropoietin antibody 17908-1-AP | Download protocol |
| Standard Protocols | |
|---|---|
| Click here to view our Standard Protocols |
发表文章
| Species | Application | Title |
|---|---|---|
Front Genet Identification and Validation of a Tumor Microenvironment-Related Gene Signature in Hepatocellular Carcinoma Prognosis. | ||
Front Pharmacol Dimethyloxalylglycine pretreatment of living donor alleviates both donor and graft liver ischemia-reperfusion injury in rats | ||
Int J Clin Oncol The miR-199a-5p/HIF1α dual-regulatory axis participates in hypoxia-induced aggressive phenotypes of oral squamous cell carcinoma (OSCC) cells | ||
Front Mol Neurosci The cytokine receptor CRLF3 is a human neuroprotective EV-3 (Epo) receptor |






