验证数据展示
经过测试的应用
| Positive WB detected in | HT-29 cells, rat testis tissue, HeLa cells, HT-1080 cells, PC-3 cells, DU 145 cells |
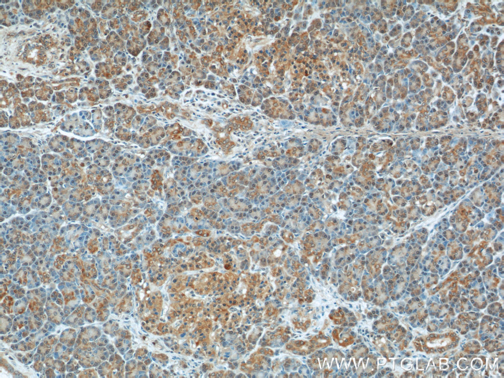
| Positive IHC detected in | human lung cancer tissue, human pancreas tissue, human placenta tissue Note: suggested antigen retrieval with TE buffer pH 9.0; (*) Alternatively, antigen retrieval may be performed with citrate buffer pH 6.0 |
| Positive IF/ICC detected in | HT-29 cells |
推荐稀释比
| 应用 | 推荐稀释比 |
|---|---|
| Western Blot (WB) | WB : 1:1000-1:6000 |
| Immunohistochemistry (IHC) | IHC : 1:50-1:500 |
| Immunofluorescence (IF)/ICC | IF/ICC : 1:200-1:800 |
| It is recommended that this reagent should be titrated in each testing system to obtain optimal results. | |
| Sample-dependent, Check data in validation data gallery. | |
产品信息
20883-1-AP targets EPHB4 in WB, IHC, IF/ICC, ELISA applications and shows reactivity with human, mouse, rat samples.
| 经测试应用 | WB, IHC, IF/ICC, ELISA Application Description |
| 文献引用应用 | WB, IHC, IF |
| 经测试反应性 | human, mouse, rat |
| 文献引用反应性 | human, mouse, rat |
| 免疫原 |
CatNo: Ag10033 Product name: Recombinant human EPHB4 protein Source: e coli.-derived, PGEX-4T Tag: GST Domain: 639-987 aa of BC052804 Sequence: KKESCVAIKTLKGGYTERQRREFLSEASIMGQFEHPNIIRLEGVVTNSMPVMILTEFMENGALDSFLRLNDGQFTVIQLVGMLRGIASGMRYLAEMSYVHRDLAARNILVNSNLVCKVSDFGLSRFLEENSSDPTYTSSLGGKIPIRWTAPEAIAFRKFTSASDAWSYGIVMWEVMSFGERPYWDMSNQDVINAIEQDYRLPPPPDCPTSLHQLMLDCWQKDRNARPRFPQVVSALDKMIRNPASLKIVARENGGASHPLLDQRQPHYSAFGSVGEWLRAIKMGRYEESFAAAGFGSFELVSQISAEDLLRIGVTLAGHQKKILASVQHMKSQAKPGTPGGTGGPAPQY 种属同源性预测 |
| 宿主/亚型 | Rabbit / IgG |
| 抗体类别 | Polyclonal |
| 产品类型 | Antibody |
| 全称 | EPH receptor B4 |
| 别名 | MYK1, HTK, Ephrin type-B receptor 4, Ephrin type B receptor 4, EPH receptor B4 |
| 计算分子量 | 987 aa, 108 kDa |
| 观测分子量 | 110-120 kDa |
| GenBank蛋白编号 | BC052804 |
| 基因名称 | EPHB4 |
| Gene ID (NCBI) | 2050 |
| RRID | AB_10897158 |
| 偶联类型 | Unconjugated |
| 形式 | Liquid |
| 纯化方式 | Antigen affinity purification |
| UNIPROT ID | P54760 |
| 储存缓冲液 | PBS with 0.02% sodium azide and 50% glycerol, pH 7.3. |
| 储存条件 | Store at -20°C. Stable for one year after shipment. Aliquoting is unnecessary for -20oC storage. |
实验方案
| Product Specific Protocols | |
|---|---|
| FC protocol for EPHB4 antibody 20883-1-AP | Download protocol |
| IF protocol for EPHB4 antibody 20883-1-AP | Download protocol |
| IHC protocol for EPHB4 antibody 20883-1-AP | Download protocol |
| WB protocol for EPHB4 antibody 20883-1-AP | Download protocol |
| Standard Protocols | |
|---|---|
| Click here to view our Standard Protocols |
发表文章
| Species | Application | Title |
|---|---|---|
Small Specific Photothermal Ablation Therapy of Endometriosis by Targeting Delivery of Gold Nanospheres. | ||
Drug Deliv Near infrared light mediated photochemotherapy for efficiently treating deep orthotopic tumors guided by ultrasound imaging. | ||
J Cell Physiol Intermittent parathyroid hormone promotes cementogenesis via ephrinB2-EPHB4 forward signaling. | ||
J Cell Mol Med Kinome multigenic panel identified novel druggable EPHB4-V871I somatic variant in high-risk neuroblastoma. | ||
Phytomedicine Sanguinarine combats hypoxia-induced activation of EphB4 and HIF-1α pathways in breast cancer. | ||


















