验证数据展示
经过测试的应用
| Positive WB detected in | A431 cells, HCT 116 cells, HaCaT cells, MCF-7 cells |
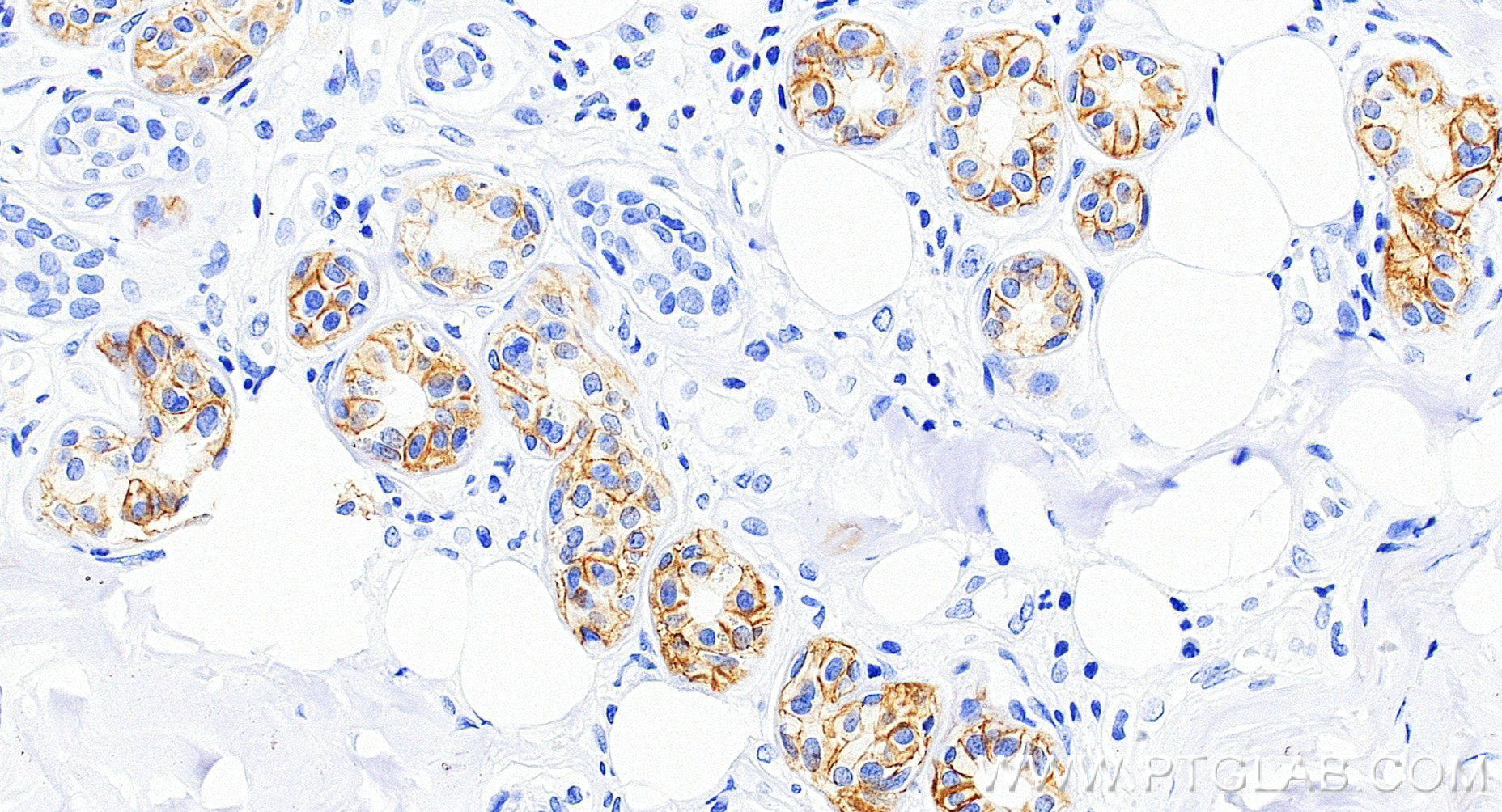
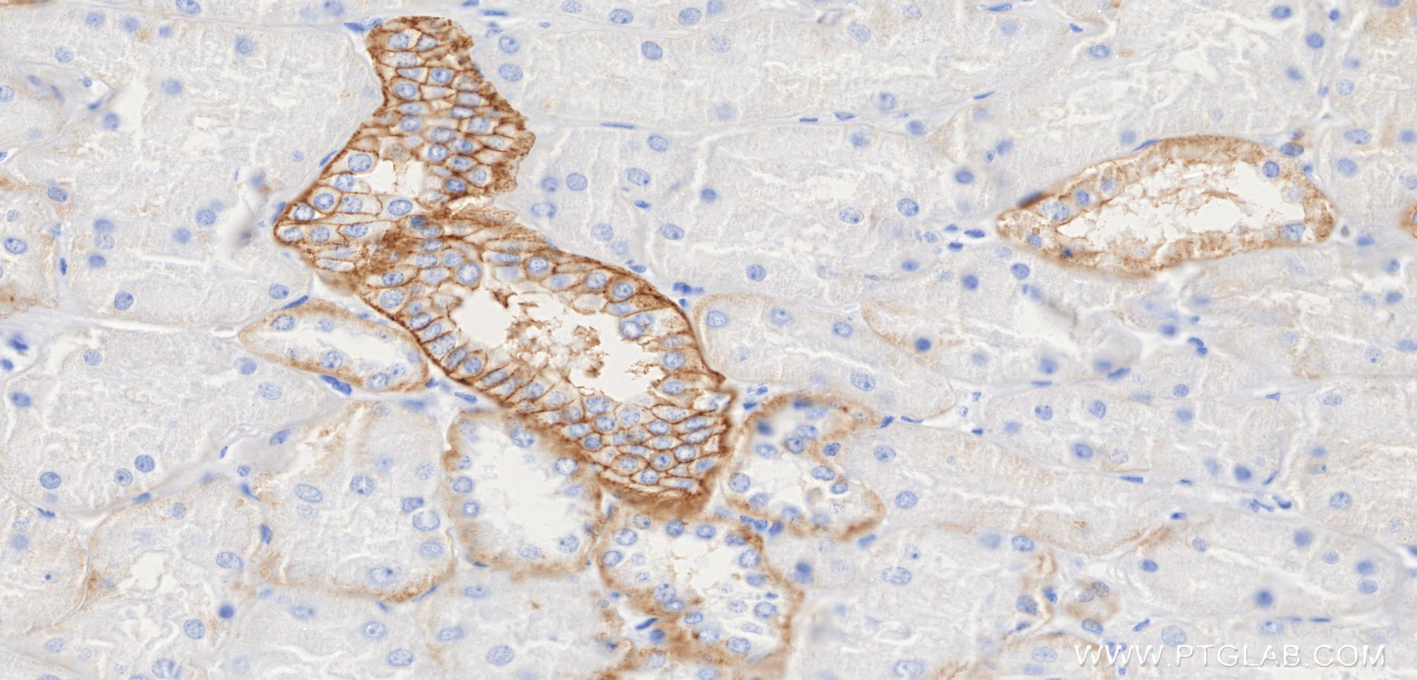
| Positive IHC detected in | human ovary cancer tissue, human colon cancer tissue, human kidney tissue, human skin tissue Note: suggested antigen retrieval with TE buffer pH 9.0; (*) Alternatively, antigen retrieval may be performed with citrate buffer pH 6.0 |
| Positive IF/ICC detected in | MCF-7 cells |
推荐稀释比
| 应用 | 推荐稀释比 |
|---|---|
| Western Blot (WB) | WB : 1:5000-1:50000 |
| Immunohistochemistry (IHC) | IHC : 1:500-1:2000 |
| Immunofluorescence (IF)/ICC | IF/ICC : 1:200-1:800 |
| It is recommended that this reagent should be titrated in each testing system to obtain optimal results. | |
| Sample-dependent, Check data in validation data gallery. | |
发表文章中的应用
| WB | See 1 publications below |
| IF | See 1 publications below |
产品信息
84073-6-RR targets EPCAM/CD326 in WB, IHC, IF/ICC, ELISA applications and shows reactivity with human samples.
| 经测试应用 | WB, IHC, IF/ICC, ELISA Application Description |
| 文献引用应用 | WB, IF |
| 经测试反应性 | human |
| 文献引用反应性 | human |
| 免疫原 |
CatNo: Eg1370 Product name: Recombinant Human EpCAM/CD326 protein (His Tag) Source: mammalian cells-derived, pHZ-KIsec-C-6*HIS Tag: C-6*HIS Domain: 24-265 aa of NM_002354.3 Sequence: QEECVCENYKLAVNCFVNNNRQCQCTSVGAQNTVICSKLAAKCLVMKAEMNGSKLGRRAKPEGALQNNDGLYDPDCDESGLFKAKQCNGTSMCWCVNTAGVRRTDKDTEITCSERVRTYWIIIELKHKAREKPYDSKSLRTALQKEITTRYQLDPKFITSILYENNVITIDLVQNSSQKTQNDVDIADVAYYFEKDVKGESLFHSKKMDLTVNGEQLDLDPGQTLIYYVDEKAPEFSMQGLK 种属同源性预测 |
| 宿主/亚型 | Rabbit / IgG |
| 抗体类别 | Recombinant |
| 产品类型 | Antibody |
| 全称 | epithelial cell adhesion molecule |
| 别名 | EPCAM, 241243B10, Adenocarcinoma-associated antigen, CD326, Cell surface glycoprotein Trop-1 |
| 计算分子量 | 35 kDa |
| 观测分子量 | 35-40 kDa |
| GenBank蛋白编号 | NM_002354.3 |
| 基因名称 | EPCAM |
| Gene ID (NCBI) | 4072 |
| RRID | AB_3671643 |
| 偶联类型 | Unconjugated |
| 形式 | Liquid |
| 纯化方式 | Protein A purfication |
| UNIPROT ID | P16422 |
| 储存缓冲液 | PBS with 0.02% sodium azide and 50% glycerol, pH 7.3. |
| 储存条件 | Store at -20°C. Stable for one year after shipment. Aliquoting is unnecessary for -20oC storage. |
背景介绍
Epithelial cell adhesion molecule (EpCAM, CD326) is a type I transmembrane glycoprotein that functions as a homophilic, epithelial-specific intercellular cell-adhesion molecule. In addition to cell adhesion, EpCAM is also involved in cellular signaling, cell migration, proliferation, and differentiation. EpCAM is highly expressed on most carcinomas and therefore of potential use as a diagnostic and prognostic marker for a variety of carcinomas, and has become a therapeutic target. EpCAM may occur in distinct forms due to glycosylation. (PMID: 20837599; 19249674; 21576002; 22647938; 12691820)
实验方案
| Product Specific Protocols | |
|---|---|
| IF protocol for EPCAM/CD326 antibody 84073-6-RR | Download protocol |
| IHC protocol for EPCAM/CD326 antibody 84073-6-RR | Download protocol |
| WB protocol for EPCAM/CD326 antibody 84073-6-RR | Download protocol |
| Standard Protocols | |
|---|---|
| Click here to view our Standard Protocols |
发表文章
| Species | Application | Title |
|---|---|---|
J Transl Med Tumor microenvironment remodeling after neoadjuvant chemoradiotherapy in local advanced rectal cancer revealed by single-cell RNA sequencing | ||
Cancer Lett Lectin-affinity glycosylation pattern analysis of plasma extracellular vesicles: An all-in-one clinical assessment for gastric cancer diagnosis and treatment. |







