验证数据展示
经过测试的应用
| Positive WB detected in | PC-12 cells, C6 cells, fetal human brain tissue, HEK-293 cells, Neuro-2a cells, pig brain tissue, rat brain tissue, SH-SY5Y cells, U-251 cells, pig cerebellum tissue, rat cerebellum tissue, mouse brain tissue, mouse cerebellum tissue |
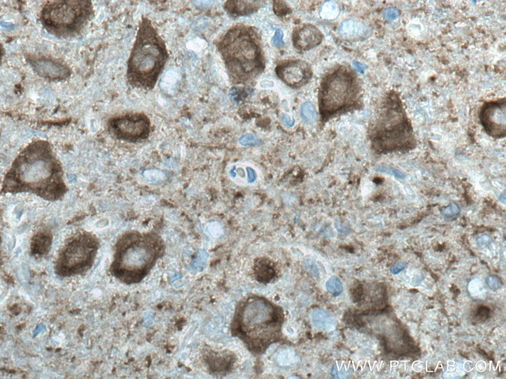
| Positive IHC detected in | mouse brain tissue, human brain tissue, rat brain tissue, rat cerebellum tissue Note: suggested antigen retrieval with TE buffer pH 9.0; (*) Alternatively, antigen retrieval may be performed with citrate buffer pH 6.0 |
| Positive IF-P detected in | mouse brain tissue |
| Positive FC (Intra) detected in | SH-SY5Y cells |
推荐稀释比
| 应用 | 推荐稀释比 |
|---|---|
| Western Blot (WB) | WB : 1:5000-1:50000 |
| Immunohistochemistry (IHC) | IHC : 1:2500-1:10000 |
| Immunofluorescence (IF)-P | IF-P : 1:200-1:800 |
| Flow Cytometry (FC) (INTRA) | FC (INTRA) : 0.20 ug per 10^6 cells in a 100 µl suspension |
| It is recommended that this reagent should be titrated in each testing system to obtain optimal results. | |
| Sample-dependent, Check data in validation data gallery. | |
产品信息
66150-1-Ig targets NSE in WB, IHC, IF-P, FC (Intra), ELISA applications and shows reactivity with human, mouse, rat, pig samples.
| 经测试应用 | WB, IHC, IF-P, FC (Intra), ELISA Application Description |
| 文献引用应用 | WB, IHC, IF |
| 经测试反应性 | human, mouse, rat, pig |
| 文献引用反应性 | human, mouse, rat |
| 免疫原 |
CatNo: Ag19106 Product name: Recombinant human ENO2 protein Source: e coli.-derived, PET28a Tag: 6*His Domain: 2-300 aa of BC002745 Sequence: SIEKIWAREILDSRGNPTVEVDLYTAKGLFRAAVPSGASTGIYEALELRDGDKQRYLGKGVLKAVDHINSTIAPALISSGLSVVEQEKLDNLMLELDGTENKSKFGANAILGVSLAVCKAGAAERELPLYRHIAQLAGNSDLILPVPAFNVINGGSHAGNKLAMQEFMILPVGAESFRDAMRLGAEVYHTLKGVIKDKYGKDATNVGDEGGFAPNILENSEALELVKEAIDKAGYTEKIVIGMDVAASEFYRDGKYDLDFKSPTDPSRYITGDQLGALYQDFVRDYPVVSIEDPFDQDD 种属同源性预测 |
| 宿主/亚型 | Mouse / IgG1 |
| 抗体类别 | Monoclonal |
| 产品类型 | Antibody |
| 全称 | enolase 2 (gamma, neuronal) |
| 别名 | ENO2, 2-phospho-D-glycerate hydro-lyase, 6F8G3, EC:4.2.1.11, Enolase 2 |
| 计算分子量 | 47 kDa |
| 观测分子量 | 47 kDa |
| GenBank蛋白编号 | BC002745 |
| 基因名称 | NSE |
| Gene ID (NCBI) | 2026 |
| RRID | AB_2881546 |
| 偶联类型 | Unconjugated |
| 形式 | Liquid |
| 纯化方式 | Protein G purification |
| UNIPROT ID | P09104-1 |
| 储存缓冲液 | PBS with 0.02% sodium azide and 50% glycerol, pH 7.3. |
| 储存条件 | Store at -20°C. Stable for one year after shipment. Aliquoting is unnecessary for -20oC storage. |
背景介绍
NSE, also named as ENO2, belongs to the enolase family. Enolases are cytoplasmic glycolytic enzymes that may be involved in differentiation. The enolase has three isoenzymes, alpha, beta and gamma. The alpha form is expressed in most tissues, whereas the beta form is expressed in muscle tissue. The gamma enolase (ENO2), a homodimer, is primarily localized in neurons and neuroendocrine cells and is a cancer diagnostic marker for brain tumors (PMID:7520111). ENO2 plays a role in the glycolysis-related energy pathway and might be involved in higher metabolic activity during the day than at night, at least in part.
实验方案
| Product Specific Protocols | |
|---|---|
| FC protocol for NSE antibody 66150-1-Ig | Download protocol |
| IF protocol for NSE antibody 66150-1-Ig | Download protocol |
| IHC protocol for NSE antibody 66150-1-Ig | Download protocol |
| WB protocol for NSE antibody 66150-1-Ig | Download protocol |
| Standard Protocols | |
|---|---|
| Click here to view our Standard Protocols |
发表文章
| Species | Application | Title |
|---|---|---|
Adv Sci (Weinh) Identification of PRDX5 as A Target for The Treatment of Castration-Resistant Prostate Cancer | ||
Oncogenesis Neuron-specific enolase promotes stem cell-like characteristics of small-cell lung cancer by downregulating NBL1 and activating the BMP2/Smad/ID1 pathway. | ||
J Neurochem Extracellular ATP and cAMP signaling promote Piezo2-dependent mechanical allodynia after trigeminal nerve compression injury. | ||
CNS Neurosci Ther Sema7A, a brain immune regulator, regulates seizure activity in PTZ-kindled epileptic rats. | ||
PLoS One Supplementation with dietary omega-3 PUFA mitigates fetal brain inflammation and mitochondrial damage caused by high doses of sodium nitrite in maternal rats. | ||
Neuroreport Effects of morphine preconditioning on TRPV1 sensitization and ERK1/2 phosphorylation induced by TGFβ1 in neurocytes. |






















