验证数据展示
经过测试的应用
| Positive WB detected in | HeLa cells, human skeletal muscle tissue, mouse skeletal muscle tissue, L02 cells, PC-3 cells, SGC-7901 cells, mouse liver tissue |
| Positive IP detected in | mouse skeletal muscle tissue |
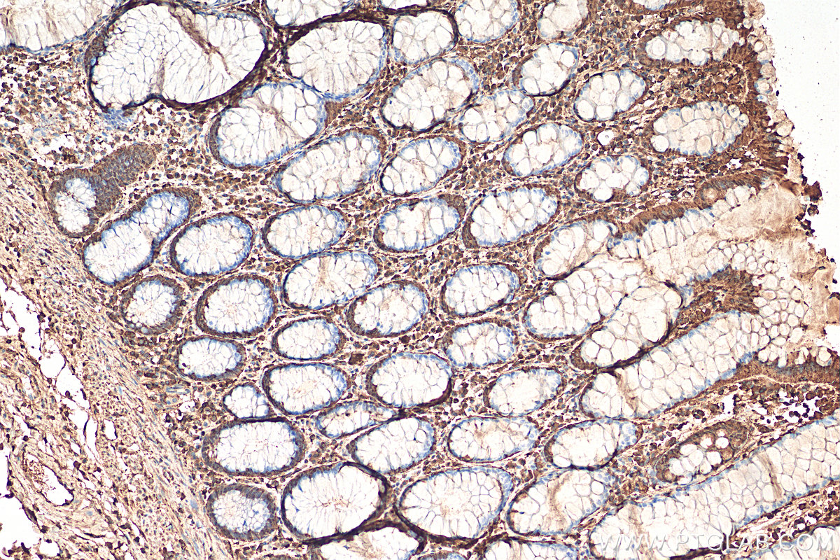
| Positive IHC detected in | human stomach cancer tissue, human colon cancer tissue, human liver cancer tissue Note: suggested antigen retrieval with TE buffer pH 9.0; (*) Alternatively, antigen retrieval may be performed with citrate buffer pH 6.0 |
| Positive IF/ICC detected in | HepG2 cells |
| Positive FC (Intra) detected in | A549 cells |
推荐稀释比
| 应用 | 推荐稀释比 |
|---|---|
| Western Blot (WB) | WB : 1:2000-1:12000 |
| Immunoprecipitation (IP) | IP : 0.5-4.0 ug for 1.0-3.0 mg of total protein lysate |
| Immunohistochemistry (IHC) | IHC : 1:500-1:2000 |
| Immunofluorescence (IF)/ICC | IF/ICC : 1:50-1:500 |
| Flow Cytometry (FC) (INTRA) | FC (INTRA) : 0.20 ug per 10^6 cells in a 100 µl suspension |
| It is recommended that this reagent should be titrated in each testing system to obtain optimal results. | |
| Sample-dependent, Check data in validation data gallery. | |
产品信息
11204-1-AP targets ENO1 in WB, IHC, IF/ICC, FC (Intra), IP, CoIP, ELISA applications and shows reactivity with human, mouse samples.
| 经测试应用 | WB, IHC, IF/ICC, FC (Intra), IP, ELISA Application Description |
| 文献引用应用 | WB, IHC, IF, IP, CoIP |
| 经测试反应性 | human, mouse |
| 文献引用反应性 | human, mouse, rat |
| 免疫原 |
CatNo: Ag1692 Product name: Recombinant human ENO1 protein Source: e coli.-derived, PGEX-4T Tag: GST Domain: 2-434 aa of BC015641 Sequence: SILKIHAREIFDSRGNPTVEVDLFTSKGLFRAAVPSGASTGIYEALELRDNDKTRYMGKGVSKAVEHINKTIAPALVSKKLNVTEQEKIDKLMIEMDGTENKSKFGANAILGVSLAVCKAGAVEKGVPLYRHIADLAGNSEVILPVPAFNVINGGSHAGNKLAMQEFMILPVGAANFREAMRIGAEVYHNLKNVIKEKYGKDATNVGDEGGFAPNILENKEGLELLKTAIGKAGYTDKVVIGMDVAASEFFRSGKYDLDFKSPDDPSRYISPDQLADLYKSFIKDYPVVSIEDPFDQDDWGAWQKFTASAGIQVVGDDLTVTNPKRIAKAVNEKSCNCLLLKVNQIGSVTESLQACKLAQANGWGVMVSHRSGETEDTFIADLVVGLCTGQIKTGAPCRSERLAKYNQLLRIEEELGSKAKFAGRNFRNPLAK 种属同源性预测 |
| 宿主/亚型 | Rabbit / IgG |
| 抗体类别 | Polyclonal |
| 产品类型 | Antibody |
| 全称 | enolase 1, (alpha) |
| 别名 | 2-phospho-D-glycerate hydro-lyase, Alpha-enolase, C-myc promoter-binding protein, EC:4.2.1.11, ENO1L1 |
| 计算分子量 | 47 kDa |
| 观测分子量 | 47 kDa |
| GenBank蛋白编号 | BC015641 |
| 基因名称 | ENO1 |
| Gene ID (NCBI) | 2023 |
| ENSEMBL Gene ID | ENSG00000074800 |
| RRID | AB_2099064 |
| 偶联类型 | Unconjugated |
| 形式 | Liquid |
| 纯化方式 | Antigen affinity purification |
| UNIPROT ID | P06733 |
| 储存缓冲液 | PBS with 0.02% sodium azide and 50% glycerol, pH 7.3. |
| 储存条件 | Store at -20°C. Stable for one year after shipment. Aliquoting is unnecessary for -20oC storage. |
背景介绍
Enolase is an important glycolytic enzyme involved in the interconversion of 2-phosphoglycerate to phosphoenolpyruvate. Enolase were down-regulated in oxLDL-treated cells or in VLDL-treated cells. And it identified which are associated with glucose metabolism were down-regulated in the process of foam cells formation. (PMID: 19756395)
实验方案
| Product Specific Protocols | |
|---|---|
| FC protocol for ENO1 antibody 11204-1-AP | Download protocol |
| IF protocol for ENO1 antibody 11204-1-AP | Download protocol |
| IHC protocol for ENO1 antibody 11204-1-AP | Download protocol |
| IP protocol for ENO1 antibody 11204-1-AP | Download protocol |
| WB protocol for ENO1 antibody 11204-1-AP | Download protocol |
| Standard Protocols | |
|---|---|
| Click here to view our Standard Protocols |
发表文章
| Species | Application | Title |
|---|---|---|
Cancer Cell Integrative plasma and fecal metabolomics identify functional metabolites in adenoma-colorectal cancer progression and as early diagnostic biomarkers
| ||
Nat Neurosci Metabolic lactate production coordinates vasculature development and progenitor behavior in the developing mouse neocortex. | ||
Mol Cell The long noncoding RNA glycoLINC assembles a lower glycolytic metabolon to promote glycolysis. | ||
Mol Cell Riboregulation of Enolase 1 activity controls glycolysis and embryonic stem cell differentiation. | ||
Nat Commun Low chorionic villous succinate accumulation associates with recurrent spontaneous abortion risk. | ||
Nucleic Acids Res FAX-RIC enables robust profiling of dynamic RNP complex formation in multicellular organisms in vivo. |












