验证数据展示
经过测试的应用
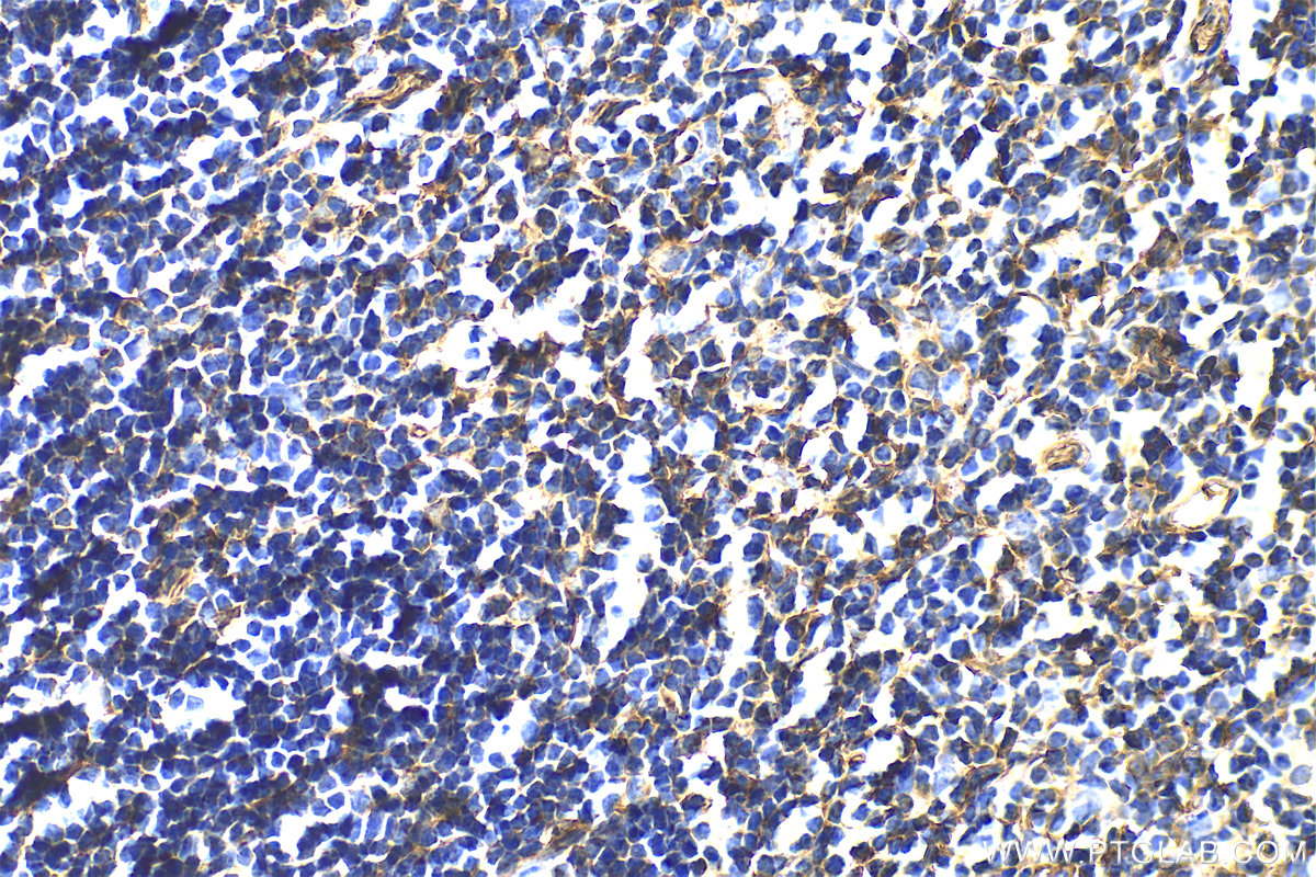
| Positive IHC detected in | mouse spleen tissue, mouse thymus tissue Note: suggested antigen retrieval with TE buffer pH 9.0; (*) Alternatively, antigen retrieval may be performed with citrate buffer pH 6.0 |
| Positive IF/ICC detected in | U-251 cells |
推荐稀释比
| 应用 | 推荐稀释比 |
|---|---|
| Immunohistochemistry (IHC) | IHC : 1:50-1:500 |
| Immunofluorescence (IF)/ICC | IF/ICC : 1:200-1:800 |
| It is recommended that this reagent should be titrated in each testing system to obtain optimal results. | |
| Sample-dependent, Check data in validation data gallery. | |
产品信息
31784-1-AP targets ENGASE in IHC, IF/ICC, ELISA applications and shows reactivity with human, mouse samples.
| 经测试应用 | IHC, IF/ICC, ELISA Application Description |
| 经测试反应性 | human, mouse |
| 免疫原 |
CatNo: Ag34633 Product name: Recombinant human ENGASE protein Source: e coli.-derived, PGEX-4T Tag: GST Domain: 50-200 aa of NM_001042573 Sequence: IKDEEEETVFREVVSFSPDPLPVRYYDKDTTKPISFYLSSLEELLAWKPRLEDGFNVALEPLACRQPPLSSQRPRTLLCHDMMGGYLDDRFIQGSVVQTPYAFYHWQCIDVFVYFSHHTVTIPPVGWTNTAHRHGVCVLGTFITEWNEGGR 种属同源性预测 |
| 宿主/亚型 | Rabbit / IgG |
| 抗体类别 | Polyclonal |
| 产品类型 | Antibody |
| 全称 | endo-beta-N-acetylglucosaminidase |
| 别名 | EC:3.2.1.96, Cytosolic endo-beta-N-acetylglucosaminidase |
| 计算分子量 | 84 kDa |
| GenBank蛋白编号 | NM_001042573 |
| 基因名称 | ENGASE |
| Gene ID (NCBI) | 64772 |
| RRID | AB_3670113 |
| 偶联类型 | Unconjugated |
| 形式 | Liquid |
| 纯化方式 | Antigen affinity Purification |
| UNIPROT ID | Q8NFI3 |
| 储存缓冲液 | PBS with 0.02% sodium azide and 50% glycerol, pH 7.3. |
| 储存条件 | Store at -20°C. Stable for one year after shipment. Aliquoting is unnecessary for -20oC storage. |
背景介绍
Endo-β-N-acetylglucosaminidase (ENGASE) is an enzyme that belongs to glycoside hydrolase (GH) families 18 and 85, and is widely distributed in bacteria, fungi, and higher-order species. ENGASE hydrolyzes the β1-4 linkage of the N, N-diacetylchitobiose (GlcNAcβ1-4GlcNAc) region of the N-linked glycans present on glycoproteins (PMID: 36435009). ENGASE is widely expressed, with higher expression in thymus and spleen (Refer to Uniprot).
实验方案
| Product Specific Protocols | |
|---|---|
| IF protocol for ENGASE antibody 31784-1-AP | Download protocol |
| IHC protocol for ENGASE antibody 31784-1-AP | Download protocol |
| Standard Protocols | |
|---|---|
| Click here to view our Standard Protocols |




