验证数据展示
经过测试的应用
| Positive WB detected in | HUVEC cells, HeLa cells, human placenta tissue, mouse lung tissue, rat lung tissue |
| Positive IP detected in | mouse lung tissue |
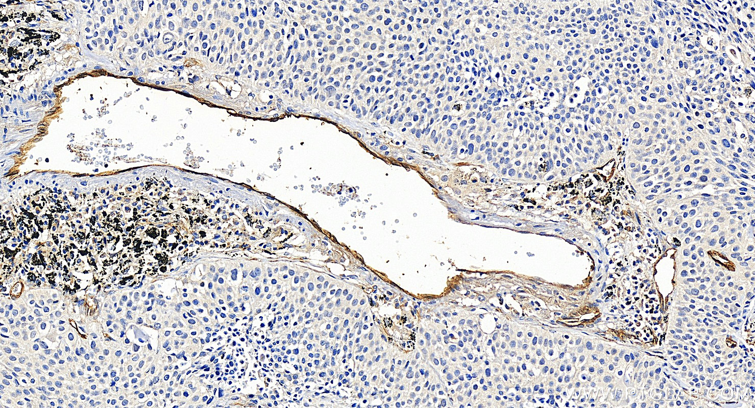
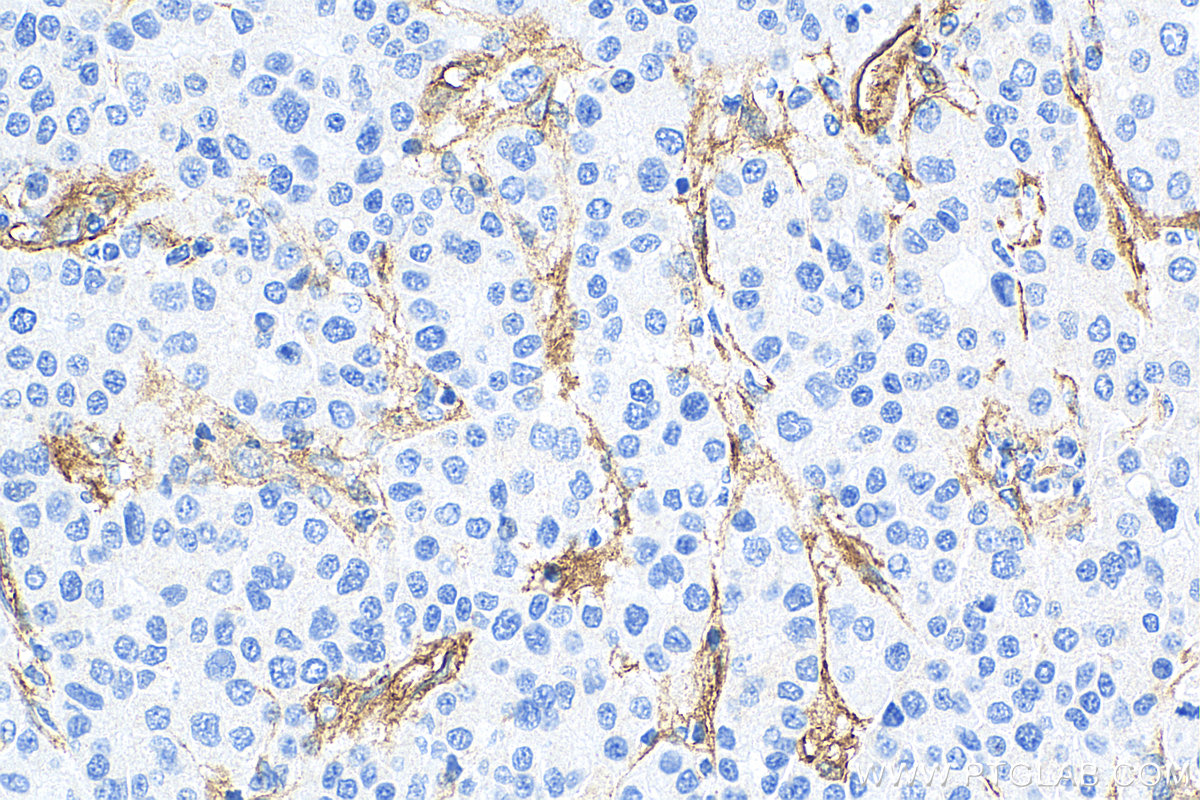
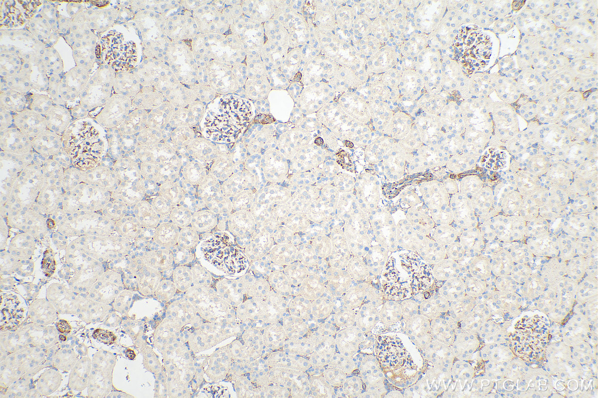
| Positive IHC detected in | human breast cancer tissue, human liver cancer tissue, human lung cancer tissue, human placenta tissue, rat kidney tissue Note: suggested antigen retrieval with TE buffer pH 9.0; (*) Alternatively, antigen retrieval may be performed with citrate buffer pH 6.0 |
| Positive IF-P detected in | human placenta tissue |
推荐稀释比
| 应用 | 推荐稀释比 |
|---|---|
| Western Blot (WB) | WB : 1:500-1:2000 |
| Immunoprecipitation (IP) | IP : 0.5-4.0 ug for 1.0-3.0 mg of total protein lysate |
| Immunohistochemistry (IHC) | IHC : 1:1000-1:4000 |
| Immunofluorescence (IF)-P | IF-P : 1:50-1:500 |
| It is recommended that this reagent should be titrated in each testing system to obtain optimal results. | |
| Sample-dependent, Check data in validation data gallery. | |
产品信息
10862-1-AP targets Endoglin/CD105 in WB, IHC, IF-P, IP, ELISA applications and shows reactivity with human, mouse, rat samples.
| 经测试应用 | WB, IHC, IF-P, IP, ELISA Application Description |
| 文献引用应用 | WB, IHC, IF, IP |
| 经测试反应性 | human, mouse, rat |
| 文献引用反应性 | human, mouse, rat, bovine |
| 免疫原 |
CatNo: Ag1287 Product name: Recombinant human Endoglin/CD105 protein Source: e coli.-derived, PGEX-4T Tag: GST Domain: 331-658 aa of BC014271 Sequence: GGRLQTSPAPIQTTPPKDTCSPELLMSLIQTKCADDAMTLVLKKELVAHLKCTITGLTFWDPSCEAEDRGDKFVLRSAYSSCGMQVSASMISNEAVVNILSSSSPQRKKVHCLNMDSLSFQLGLYLSPHFLQASNTIEPGQQSFVQVRVSPSVSEFLLQLDSCHLDLGPEGGTVELIQGRAAKGNCVSLLSPSPEGDPRFSFLLHFYTVPIPKTGTLSCTVALRPKTGSQDQEVHRTVFMRLNIISPDLSGCTSKGLVLPAVLGITFGAFLIGALLTAALWYIYSHTRSPSKREPVVAVAAPASSESSSTNHSIGSTQSTPCSTSSMA 种属同源性预测 |
| 宿主/亚型 | Rabbit / IgG |
| 抗体类别 | Polyclonal |
| 产品类型 | Antibody |
| 全称 | endoglin |
| 别名 | CD105, END, Endoglin, ENG, HHT1 |
| 计算分子量 | 71 kDa |
| 观测分子量 | 75-90 kDa, 170-180 kDa |
| GenBank蛋白编号 | BC014271 |
| 基因名称 | CD105 |
| Gene ID (NCBI) | 2022 |
| RRID | AB_2098906 |
| 偶联类型 | Unconjugated |
| 形式 | Liquid |
| 纯化方式 | Antigen affinity purification |
| UNIPROT ID | P17813 |
| 储存缓冲液 | PBS with 0.02% sodium azide and 50% glycerol, pH 7.3. |
| 储存条件 | Store at -20°C. Stable for one year after shipment. Aliquoting is unnecessary for -20oC storage. |
背景介绍
Endoglin (ENG, CD105) is a homodimeric cell membrane glycoprotein of 180 kDa, composed of disulphide-linked subunits of 90-95 kDa. Endoglin is a proliferation-associated and hypoxia-inducible protein mainly expressed on vascular endothelial cells. It acts as an accessory receptor for transforming growth factor beta (TFG-β) and is involved in vascular development and remodelling. The important role of Endoglin in angiogenesis and in tumor progression makes it an ideal target for antiangiogenic therapy and a good marker for tumor prognosis. (PMID: 1326540; 14528280; 21737653; 12773481)
实验方案
| Product Specific Protocols | |
|---|---|
| IF protocol for Endoglin/CD105 antibody 10862-1-AP | Download protocol |
| IHC protocol for Endoglin/CD105 antibody 10862-1-AP | Download protocol |
| IP protocol for Endoglin/CD105 antibody 10862-1-AP | Download protocol |
| WB protocol for Endoglin/CD105 antibody 10862-1-AP | Download protocol |
| Standard Protocols | |
|---|---|
| Click here to view our Standard Protocols |
发表文章
| Species | Application | Title |
|---|---|---|
Nat Commun Injectable ECM-mimetic dynamic hydrogels abolish ferroptosis-induced post-discectomy herniation through delivering nucleus pulposus progenitor cell-derived exosomes | ||
Dev Cell Endothelial progenitor cells control remodeling of uterine spiral arteries for the establishment of utero-placental circulation | ||
Stem Cell Res Ther Controlled release of hydrogel-encapsulated mesenchymal stem cells-conditioned medium promotes functional liver regeneration after hepatectomy in metabolic dysfunction-associated steatotic liver disease | ||
Cancers (Basel) WISP2/CCN5 Suppresses Vasculogenic Mimicry through Inhibition of YAP/TAZ Signaling in Breast Cancer Cells. | ||
Int J Biol Sci Roquin2 suppresses breast cancer progression by inhibiting tumor angiogenesis via selectively destabilizing proangiogenic factors mRNA. | ||
Biomedicines Endoglin Modulates TGFβR2 Induced VEGF and Proinflammatory Cytokine Axis Mediated Angiogenesis in Prolonged DEHP-Exposed Breast Cancer Cells.
|













