验证数据展示
经过测试的应用
| Positive IP detected in | COLO 320 cells |
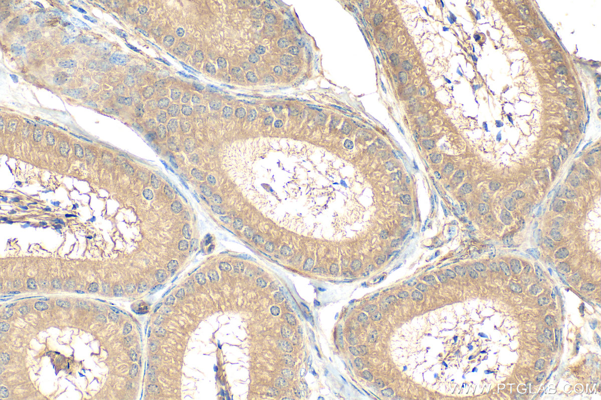
| Positive IHC detected in | mouse testis tissue Note: suggested antigen retrieval with TE buffer pH 9.0; (*) Alternatively, antigen retrieval may be performed with citrate buffer pH 6.0 |
推荐稀释比
| 应用 | 推荐稀释比 |
|---|---|
| Immunoprecipitation (IP) | IP : 0.5-4.0 ug for 1.0-3.0 mg of total protein lysate |
| Immunohistochemistry (IHC) | IHC : 1:50-1:500 |
| It is recommended that this reagent should be titrated in each testing system to obtain optimal results. | |
| Sample-dependent, Check data in validation data gallery. | |
产品信息
21308-1-AP targets EMILIN3 in IHC, IP, ELISA applications and shows reactivity with human samples.
| 经测试应用 | IHC, IP, ELISA Application Description |
| 经测试反应性 | human |
| 免疫原 |
CatNo: Ag15925 Product name: Recombinant human EMILIN3 protein Source: e coli.-derived, PGEX-4T Tag: GST Domain: 418-766 aa of BC101045 Sequence: DELTRLSAAMLEGGVDGLLEGLETLNGTEGGARGCCLRLDMGGWGVGGFGTMLEERVQSLEERLATLAGELSHDSASPGRSARPLVQTELAVLEQRLVSLETSCTPSTTSAILDSLVAEVKAWQSRSEALLRQVASHAALLQQLNGTVAEVQGQLAEGTGSSLQGEITLLKVNLNSVSKSLTGLSDSVSQYSDAFLAANTSLDERERKVEAEVQAIQEQVSSQGSRLQAGHRQVLNLRGELEQLKAGVAKVASGLSRCQDTAQKLQHTVGHFDQRVAQVEGACRRLGLLAAGLDSLPTEPLRPREGLWSHVDQLNRTLAQHTQDIARLRDDLLDCQAQLAEQVRPGQAN 种属同源性预测 |
| 宿主/亚型 | Rabbit / IgG |
| 抗体类别 | Polyclonal |
| 产品类型 | Antibody |
| 全称 | elastin microfibril interfacer 3 |
| 别名 | C20orf130, EMILIN 3, EMILIN 5, EMILIN5 |
| 计算分子量 | 766 aa, 83 kDa |
| 观测分子量 | 83 kDa |
| GenBank蛋白编号 | BC101045 |
| 基因名称 | EMILIN3 |
| Gene ID (NCBI) | 90187 |
| 偶联类型 | Unconjugated |
| 形式 | Liquid |
| 纯化方式 | Antigen affinity purification |
| UNIPROT ID | Q9NT22 |
| 储存缓冲液 | PBS with 0.02% sodium azide and 50% glycerol, pH 7.3. |
| 储存条件 | Store at -20°C. Stable for one year after shipment. Aliquoting is unnecessary for -20oC storage. |
背景介绍
EMILIN3 (Elastin Microfibril Interfacer 3) is a protein-coding gene that encodes an extracellular matrix glycoprotein. It is a member of the EMILIN family and plays a role in the organization of the extracellular matrix, particularly in elastic fiber formation and extracellular matrix organization.
实验方案
| Product Specific Protocols | |
|---|---|
| IHC protocol for EMILIN3 antibody 21308-1-AP | Download protocol |
| IP protocol for EMILIN3 antibody 21308-1-AP | Download protocol |
| Standard Protocols | |
|---|---|
| Click here to view our Standard Protocols |


