验证数据展示
经过测试的应用
| Positive WB detected in | HEK-293 cells, A431 cells, COLO 320 cells, HeLa cells, HepG2 cells, Jurkat cells, MCF-7 cells |
| Positive IP detected in | mouse skeletal muscle tissue |
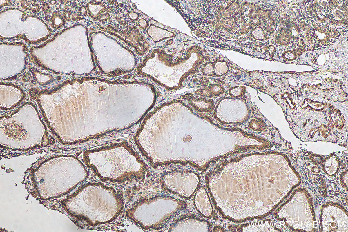
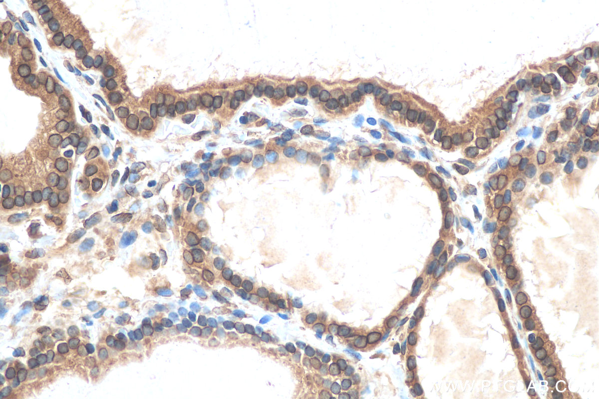
| Positive IHC detected in | human thyroid cancer tissue Note: suggested antigen retrieval with TE buffer pH 9.0; (*) Alternatively, antigen retrieval may be performed with citrate buffer pH 6.0 |
| Positive IF/ICC detected in | HeLa cells |
| Positive FC (Intra) detected in | HEK-293T cells |
推荐稀释比
| 应用 | 推荐稀释比 |
|---|---|
| Western Blot (WB) | WB : 1:2000-1:10000 |
| Immunoprecipitation (IP) | IP : 0.5-4.0 ug for 1.0-3.0 mg of total protein lysate |
| Immunohistochemistry (IHC) | IHC : 1:500-1:2000 |
| Immunofluorescence (IF)/ICC | IF/ICC : 1:50-1:500 |
| Flow Cytometry (FC) (INTRA) | FC (INTRA) : 0.40 ug per 10^6 cells in a 100 µl suspension |
| It is recommended that this reagent should be titrated in each testing system to obtain optimal results. | |
| Sample-dependent, Check data in validation data gallery. | |
产品信息
10351-1-AP targets Emerin in WB, IHC, IF/ICC, FC (Intra), IP, CoIP, ELISA applications and shows reactivity with human, mouse samples.
| 经测试应用 | WB, IHC, IF/ICC, FC (Intra), IP, ELISA Application Description |
| 文献引用应用 | WB, IHC, IF, IP, CoIP |
| 经测试反应性 | human, mouse |
| 文献引用反应性 | human, mouse |
| 免疫原 |
CatNo: Ag0236 Product name: Recombinant human EMD protein Source: e coli.-derived, PGEX-4T Tag: GST Domain: 66-252 aa of BC000738 Sequence: STRGDADMYDLPKKEDALLYQSKGYNDDYYEESYFTTRTYGEPESAGPSRAVRQSVTSFPDADAFHHQVHDDDLLSSSEEECKDRERPMYGRDSAYQSITHYRPVSASRSSLDLSYYPTSSSTSFMSSSSSSSSWLTRRAIRPENRAPGAGLGQDRQVPLWGQLLLFLVFVIVLFFIYHFMQAEEGN 种属同源性预测 |
| 宿主/亚型 | Rabbit / IgG |
| 抗体类别 | Polyclonal |
| 产品类型 | Antibody |
| 全称 | emerin |
| 别名 | EMD, EDMD, LEMD5, STA |
| 计算分子量 | 34 kDa |
| 观测分子量 | 35 kDa |
| GenBank蛋白编号 | BC000738 |
| 基因名称 | EMD |
| Gene ID (NCBI) | 2010 |
| RRID | AB_2100056 |
| 偶联类型 | Unconjugated |
| 形式 | Liquid |
| 纯化方式 | Antigen affinity purification |
| UNIPROT ID | P50402 |
| 储存缓冲液 | PBS with 0.02% sodium azide and 50% glycerol, pH 7.3. |
| 储存条件 | Store at -20°C. Stable for one year after shipment. Aliquoting is unnecessary for -20oC storage. |
背景介绍
Emerin (Emery-Dreifuss muscular dystrophy) (EMD or EDMD), a serine-rich nuclear membrane protein, is a member of the nuclear lamina-associated protein family. EMD may mediate membrane anchorage to the cytoskeleton by stabilizing and promoting the formation of a nuclear actin cortical network. Defects in EMD gene are the cause of Emery-Dreifuss muscular dystrophy type 1 (EDMD1), a degenerative myopathy characterized by weakness and atrophy of muscle without involvement of the nervous system, early contractures of the elbows Achilles tendons and spine, and cardiomyopathy associated with cardiac conduction defects. EMD inhibits beta-catenin activity by preventing its accumulation in the nucleus and is involved in HIV-1 infection.
实验方案
| Product Specific Protocols | |
|---|---|
| FC protocol for Emerin antibody 10351-1-AP | Download protocol |
| IF protocol for Emerin antibody 10351-1-AP | Download protocol |
| IHC protocol for Emerin antibody 10351-1-AP | Download protocol |
| WB protocol for Emerin antibody 10351-1-AP | Download protocol |
| Standard Protocols | |
|---|---|
| Click here to view our Standard Protocols |
发表文章
| Species | Application | Title |
|---|---|---|
Dev Cell Cell cycle regulation of ER membrane biogenesis protects against chromosome missegregation. | ||
J Cell Biol Reticulon-like REEP4 at the inner nuclear membrane promotes nuclear pore complex formation. |
















