验证数据展示
经过测试的应用
| Positive WB detected in | mouse brain tissue, A2780 cells, mouse testis tissue |
| Positive IP detected in | mouse brain tissue |
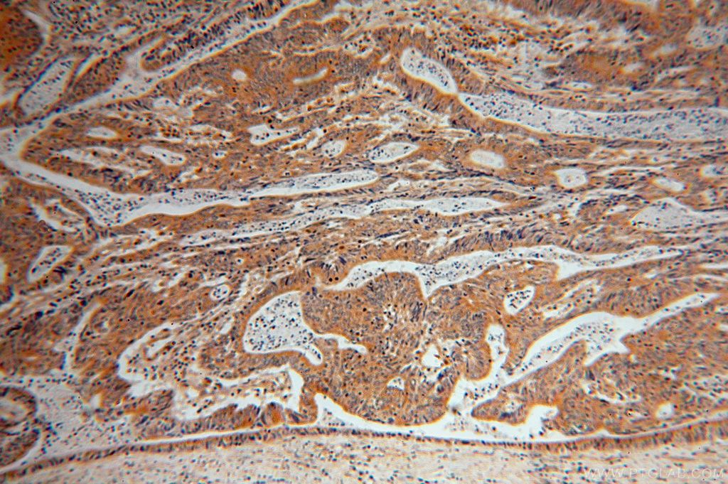
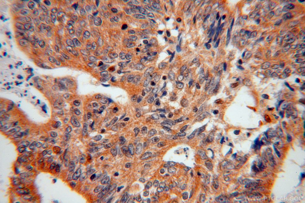
| Positive IHC detected in | human prostate cancer tissue, human colon cancer tissue, human stomach cancer tissue, mouse brain tissue Note: suggested antigen retrieval with TE buffer pH 9.0; (*) Alternatively, antigen retrieval may be performed with citrate buffer pH 6.0 |
推荐稀释比
| 应用 | 推荐稀释比 |
|---|---|
| Western Blot (WB) | WB : 1:500-1:1000 |
| Immunoprecipitation (IP) | IP : 0.5-4.0 ug for 1.0-3.0 mg of total protein lysate |
| Immunohistochemistry (IHC) | IHC : 1:50-1:500 |
| It is recommended that this reagent should be titrated in each testing system to obtain optimal results. | |
| Sample-dependent, Check data in validation data gallery. | |
产品信息
17069-1-AP targets EIF5A1/EIF5A2 in WB, IHC, IF, IP, RIP, ELISA applications and shows reactivity with human, mouse samples.
| 经测试应用 | WB, IHC, IP, ELISA Application Description |
| 文献引用应用 | WB, IHC, IF, IP, RIP |
| 经测试反应性 | human, mouse |
| 文献引用反应性 | human, mouse |
| 免疫原 |
CatNo: Ag10895 Product name: Recombinant human EIF5A2 protein Source: e coli.-derived, PGEX-4T Tag: GST Domain: 1-153 aa of BC036072 Sequence: MADEIDFTTGDAGASSTYPMQCSALRKNGFVVLKGRPCKIVEMSTSKTGKHGHAKVHLVGIDIFTGKKYEDICPSTHNMDVPNIKRNDYQLICIQDGYLSLLTETGEVREDLKLPEGELGKEIEGKYNAGEDVQVSVMCAMSEEYAVAIKPCK 种属同源性预测 |
| 宿主/亚型 | Rabbit / IgG |
| 抗体类别 | Polyclonal |
| 产品类型 | Antibody |
| 全称 | eukaryotic translation initiation factor 5A2 |
| 别名 | EIF5A2, EIF 5A2, Eukaryotic translation initiation factor 5A-2, eIF5AII, eIF-5A-2 |
| 计算分子量 | 153 aa, 17 kDa |
| 观测分子量 | 17 kDa |
| GenBank蛋白编号 | BC036072 |
| 基因名称 | EIF5A2 |
| Gene ID (NCBI) | 56648 |
| RRID | AB_2262009 |
| 偶联类型 | Unconjugated |
| 形式 | Liquid |
| 纯化方式 | Antigen affinity purification |
| UNIPROT ID | Q9GZV4 |
| 储存缓冲液 | PBS with 0.02% sodium azide and 50% glycerol, pH 7.3. |
| 储存条件 | Store at -20°C. Stable for one year after shipment. Aliquoting is unnecessary for -20oC storage. |
背景介绍
Eukaryotic initiation factor 5A (EIF5A) plays an essential role in the viability of eukaryotic cells. EIF5A is known to act as a translation initiation factor specific for a small number of mRNAs, a cellular target of HIV-1 REV protein, and an exportin-4-dependent nuclear export cargo. It is also involved in mRNA turnover and the establishment of actin polarity. [PMID:16157662]. EIF5A2, one isoform of EIF5A, has a key at the level of mRNA turnoverby acting downstream of decapping. It also involved in actin dynamics and cell cycle progression, mRNA decay and probably in a pathway involved in stress response and maintenance of cell wall integrity [PMID:14622290]. EIF5A2 shares 84% identity of amino acid sequence with EIF5A1 isoform, so EIF5A2 poly-antibody could recognize both EIF5A2 and EIF5A1.
实验方案
| Product Specific Protocols | |
|---|---|
| IHC protocol for EIF5A1/EIF5A2 antibody 17069-1-AP | Download protocol |
| IP protocol for EIF5A1/EIF5A2 antibody 17069-1-AP | Download protocol |
| WB protocol for EIF5A1/EIF5A2 antibody 17069-1-AP | Download protocol |
| Standard Protocols | |
|---|---|
| Click here to view our Standard Protocols |
发表文章
| Species | Application | Title |
|---|---|---|
Oncogene Identification of genes that promote PI3K pathway activation and prostate tumour formation | ||
PLoS Biol Klf5 down-regulation induces vascular senescence through eIF5a depletion and mitochondrial fission. | ||
FASEB J Global analyses of mRNA expression in human sensory neurons reveal eIF5A as a conserved target for inflammatory pain. | ||
PLoS One Novel functional MAR elements of double minute chromosomes in human ovarian cells capable of enhancing gene expression. | ||
Gene Exploring extrahepatic metastasis of hepatocellular carcinoma based on methylation driver genes and establishing a prognostic model for hepatocellular carcinoma |










