验证数据展示
经过测试的应用
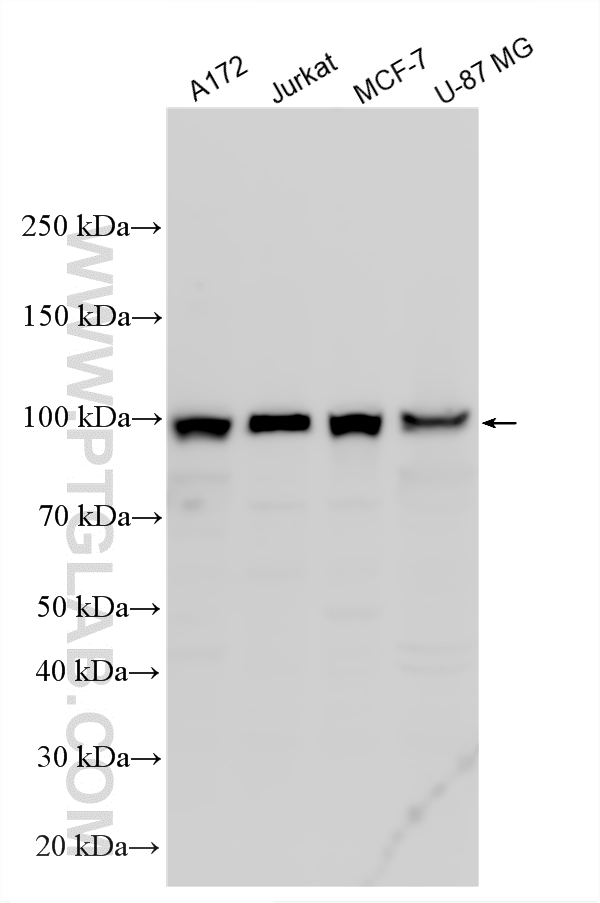
| Positive WB detected in | A172 cells, Jurkat cells, MCF-7 cells, U-87 MG cells, Neuro-2a cells |
| Positive IP detected in | MCF-7 cells |
| Positive IHC detected in | human prostate cancer tissue, human skin cancer tissue Note: suggested antigen retrieval with TE buffer pH 9.0; (*) Alternatively, antigen retrieval may be performed with citrate buffer pH 6.0 |
| Positive IF/ICC detected in | HepG2 cells |
推荐稀释比
| 应用 | 推荐稀释比 |
|---|---|
| Western Blot (WB) | WB : 1:500-1:2000 |
| Immunoprecipitation (IP) | IP : 0.5-4.0 ug for 1.0-3.0 mg of total protein lysate |
| Immunohistochemistry (IHC) | IHC : 1:50-1:500 |
| Immunofluorescence (IF)/ICC | IF/ICC : 1:200-1:800 |
| It is recommended that this reagent should be titrated in each testing system to obtain optimal results. | |
| Sample-dependent, Check data in validation data gallery. | |
发表文章中的应用
| KD/KO | See 1 publications below |
| WB | See 8 publications below |
| RIP | See 2 publications below |
产品信息
17728-1-AP targets eIF4G2/DAP5 in WB, IHC, IF/ICC, IP, RIP, ELISA applications and shows reactivity with human, mouse samples.
| 经测试应用 | WB, IHC, IF/ICC, IP, ELISA Application Description |
| 文献引用应用 | WB, RIP |
| 经测试反应性 | human, mouse |
| 文献引用反应性 | human, mouse |
| 免疫原 |
CatNo: Ag12125 Product name: Recombinant human EIF4G2 protein Source: e coli.-derived, PGEX-4T Tag: GST Domain: 563-907 aa of BC043149 Sequence: EAVNGVREMRAPKHFLPEMLSKVIILSLDRSDEDKEKASSLISLLKQEGIATSDNFMQAFLNVLDQCPKLEVDIPLVKSYLAQFAARAIISELVSISELAQPLESGTHFPLFLLCLQQLAKLQDREWLTELFQQSKVNMQKMLPEIDQNKDRMLEILEGKGLSFLFPLLKLEKELLKQIKLDPSPQTIYKWIKDNISPKLHVDKGFVNILMTSFLQYISSEVNPPSDETDSSSAPSKEQLEQEKQLLLSFKPVMQKFLHDHVDLQVSALYALQVHCYNSNFPKGMLLRFFVHFYDMEIIEEEAFLAWKEDITQEFPGKGKALFQVNQWLTWLETAEEEESEEEAD 种属同源性预测 |
| 宿主/亚型 | Rabbit / IgG |
| 抗体类别 | Polyclonal |
| 产品类型 | Antibody |
| 全称 | eukaryotic translation initiation factor 4 gamma, 2 |
| 别名 | EIF4G2, AAG1, DAP 5, DAP5, DAP-5 |
| 计算分子量 | 907 aa, 102 kDa |
| 观测分子量 | 98-102 kDa |
| GenBank蛋白编号 | BC043149 |
| 基因名称 | EIF4G2 |
| Gene ID (NCBI) | 1982 |
| RRID | AB_2095895 |
| 偶联类型 | Unconjugated |
| 形式 | Liquid |
| 纯化方式 | Antigen affinity purification |
| UNIPROT ID | P78344 |
| 储存缓冲液 | PBS with 0.02% sodium azide and 50% glycerol, pH 7.3. |
| 储存条件 | Store at -20°C. Stable for one year after shipment. Aliquoting is unnecessary for -20oC storage. |
背景介绍
eIF4G2, also commonly known as DAP5 (Death-Associated Protein 5) or p97, is a crucial and unique member of the eukaryotic translation initiation factor machinery. Unlike its canonical counterpart eIF4G1, which is central to the cap-dependent translation of most cellular mRNAs, eIF4G2/DAP5 functions as a key regulator and facilitator of alternative, cap-independent translation under both normal and stress conditions.
实验方案
| Product Specific Protocols | |
|---|---|
| IF protocol for eIF4G2/DAP5 antibody 17728-1-AP | Download protocol |
| IHC protocol for eIF4G2/DAP5 antibody 17728-1-AP | Download protocol |
| IP protocol for eIF4G2/DAP5 antibody 17728-1-AP | Download protocol |
| WB protocol for eIF4G2/DAP5 antibody 17728-1-AP | Download protocol |
| Standard Protocols | |
|---|---|
| Click here to view our Standard Protocols |
发表文章
| Species | Application | Title |
|---|---|---|
Shock miR-379-5P INHIBITION ENHANCES INTESTINAL EPITHELIAL PROLIFERATION AND BARRIER FUNCTION RECOVERY AFTER ISCHEMIA/REPERFUSION BY TARGETING EIF4G2 | ||
J Proteome Res EIF4G2 Promotes Hepatocellular Carcinoma Progression via IRES-dependent PLEKHA1 Translation Regulation
| ||
Nat Commun The protein circPETH-147aa regulates metabolic reprogramming in hepatocellular carcinoma cells to remodel immunosuppressive microenvironment | ||
Gene The proximity proteome of pre-40S pre-ribosomal particle components PNO1 and NOB1 using turboID proximity labeling technology | ||
J Adv Res Endothelial cells secrete small extracellular vesicles to promote neuron endoplasmic reticulum stress injury via miR-146a-5p/Eif4g2 axis in ischemic stroke |







