验证数据展示
经过测试的应用
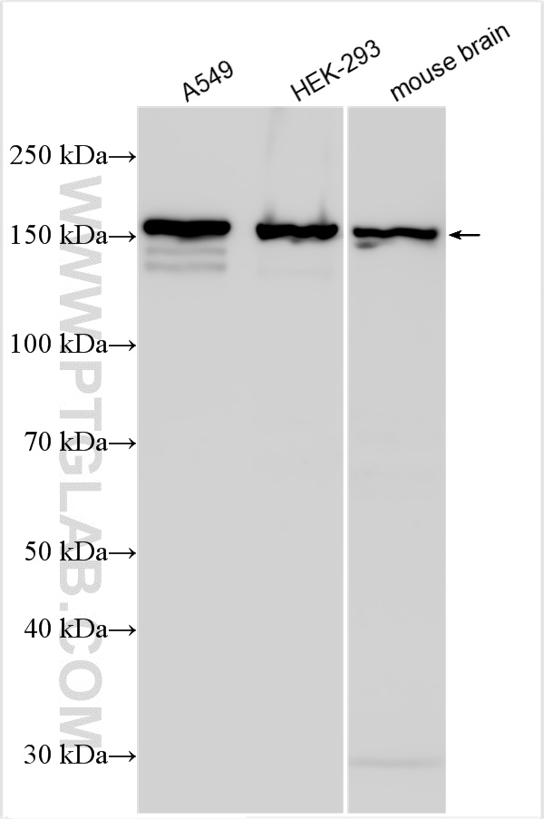
| Positive WB detected in | A549 cells, HEK-293 cells, mouse brain tissue |
| Positive IHC detected in | human intrahepatic cholangiocarcinoma tissue Note: suggested antigen retrieval with TE buffer pH 9.0; (*) Alternatively, antigen retrieval may be performed with citrate buffer pH 6.0 |
| Positive IF/ICC detected in | HEK-293 cells |
推荐稀释比
| 应用 | 推荐稀释比 |
|---|---|
| Western Blot (WB) | WB : 1:1000-1:6000 |
| Immunohistochemistry (IHC) | IHC : 1:250-1:1000 |
| Immunofluorescence (IF)/ICC | IF/ICC : 1:200-1:800 |
| It is recommended that this reagent should be titrated in each testing system to obtain optimal results. | |
| Sample-dependent, Check data in validation data gallery. | |
产品信息
26178-1-AP targets EIF3A in WB, IHC, IF/ICC, CoIP, RIP, ELISA applications and shows reactivity with human, mouse samples.
| 经测试应用 | WB, IHC, IF/ICC, ELISA Application Description |
| 文献引用应用 | WB, IF, CoIP, RIP |
| 经测试反应性 | human, mouse |
| 文献引用反应性 | human, mouse, rat |
| 免疫原 |
CatNo: Ag22515 Product name: Recombinant human EIF3A protein Source: e coli.-derived, PKG Tag: GST Domain: 1033-1382 aa of BC114429 Sequence: DEDRGPRRGMDDDRGPRRGGADDERSSWRNADDDRGPRRGLDDDRGPRRGMDDDRGPRRGMDDDRGPRRGMDDDRGPRRGLDDDRGPWRNADDDRIPRRGAEDDRGPWRNMDDDRLSRRADDDRFPGRGDDSRPGPWRPLVKPGGWREKEKAREESWGPPRESRPSEEREWDREKERDRDNQDREENDKDPERERDRERDVDREDRFRRPRDEGGWRRGPAEESSSWRDSSRRDDRDRDDRRRERDDRRDLRERRDLRDDRDRRGPPLRSEREEVSSWRRADDRKDDRVEERDPPRRVPPPALSRDRERDRDREREGEKEKASWRAEKDRESLRRTKNETDEDGWTTVRR 种属同源性预测 |
| 宿主/亚型 | Rabbit / IgG |
| 抗体类别 | Polyclonal |
| 产品类型 | Antibody |
| 全称 | eukaryotic translation initiation factor 3, subunit A |
| 别名 | eIF 3 theta, EIF3, eIF3 p167, eIF3 p170, eIF3 p180 |
| 计算分子量 | 1382 aa, 166 kDa |
| 观测分子量 | 166 kDa |
| GenBank蛋白编号 | BC114429 |
| 基因名称 | EIF3A |
| Gene ID (NCBI) | 8661 |
| RRID | AB_2880413 |
| 偶联类型 | Unconjugated |
| 形式 | Liquid |
| 纯化方式 | Antigen affinity purification |
| UNIPROT ID | Q14152 |
| 储存缓冲液 | PBS with 0.02% sodium azide and 50% glycerol, pH 7.3. |
| 储存条件 | Store at -20°C. Stable for one year after shipment. Aliquoting is unnecessary for -20oC storage. |
实验方案
| Product Specific Protocols | |
|---|---|
| IF protocol for EIF3A antibody 26178-1-AP | Download protocol |
| IHC protocol for EIF3A antibody 26178-1-AP | Download protocol |
| WB protocol for EIF3A antibody 26178-1-AP | Download protocol |
| Standard Protocols | |
|---|---|
| Click here to view our Standard Protocols |
发表文章
| Species | Application | Title |
|---|---|---|
Adv Sci (Weinh) eIF4E Enriched Extracellular Vesicles Induce Immunosuppressive Macrophages through HMGCR-Mediated Metabolic Rewiring | ||
Front Cell Infect Microbiol Ehrlichia chaffeensis Tandem Repeat Effector Targets Differentially Influence Infection. | ||
Onco Targets Ther WHSC1 Promotes Cell Proliferation, Migration, and Invasion in Hepatocellular Carcinoma by Activating mTORC1 Signaling. | ||
J Clin Lab Anal Mettl3 promotes oxLDL-mediated inflammation through activating STAT1 signaling. | ||
Proc Natl Acad Sci U S A Epitranscriptic regulation of HRAS by N6-methyladenosine drives tumor progression |







