验证数据展示
经过测试的应用
| Positive WB detected in | HeLa cells, HepG2 cells, MCF-7 cells |
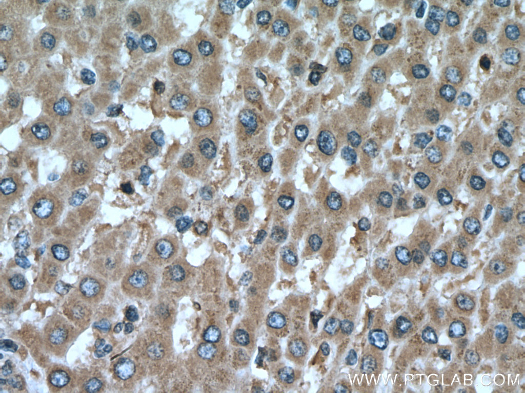
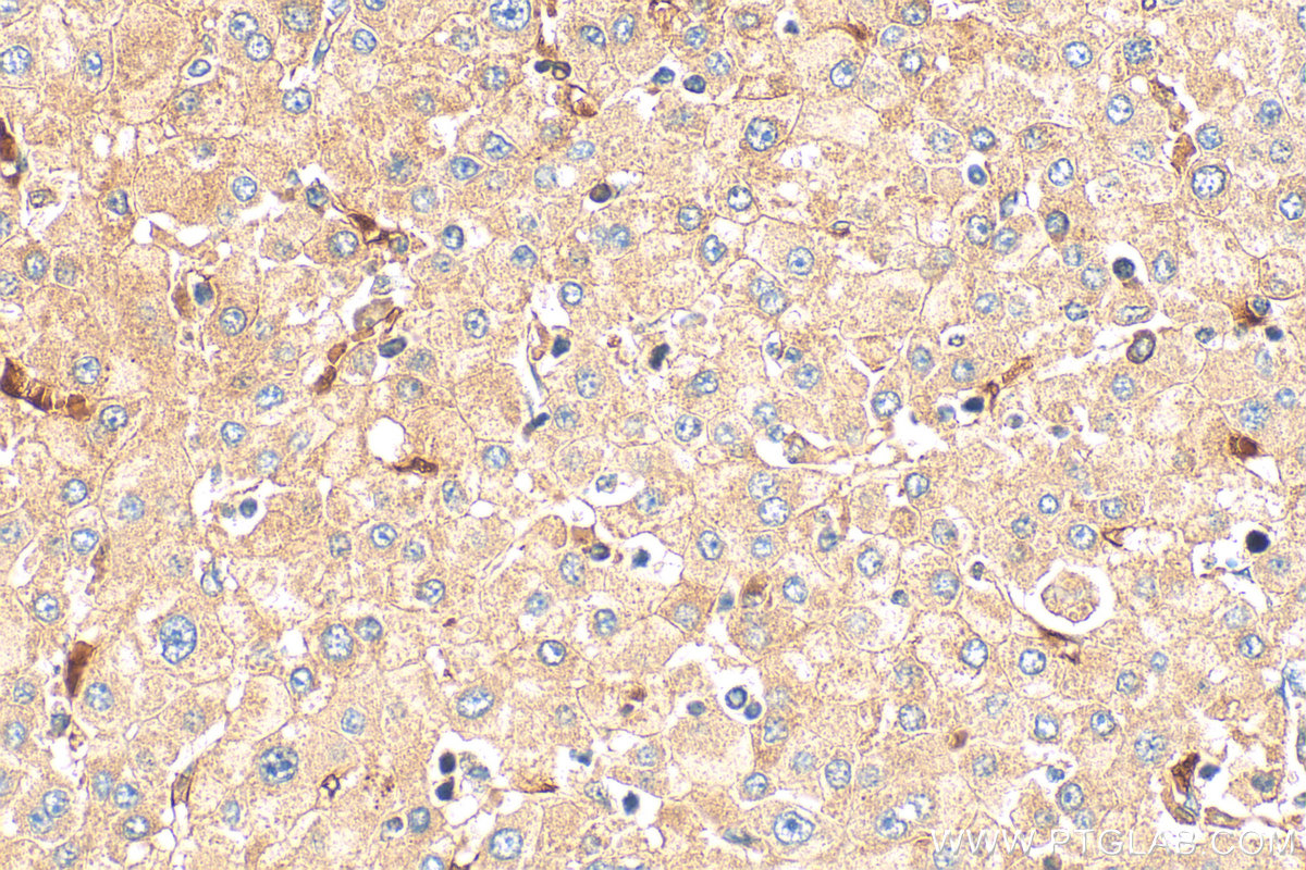
| Positive IHC detected in | human liver cancer tissue Note: suggested antigen retrieval with TE buffer pH 9.0; (*) Alternatively, antigen retrieval may be performed with citrate buffer pH 6.0 |
| Positive FC (Intra) detected in | HeLa cells |
推荐稀释比
| 应用 | 推荐稀释比 |
|---|---|
| Western Blot (WB) | WB : 1:500-1:3000 |
| Immunohistochemistry (IHC) | IHC : 1:50-1:500 |
| Flow Cytometry (FC) (INTRA) | FC (INTRA) : 0.40 ug per 10^6 cells in a 100 µl suspension |
| It is recommended that this reagent should be titrated in each testing system to obtain optimal results. | |
| Sample-dependent, Check data in validation data gallery. | |
产品信息
24390-1-AP targets PERK/EIF2AK3 in WB, IHC, IF, FC (Intra), IP, ELISA applications and shows reactivity with human samples.
| 经测试应用 | WB, IHC, FC (Intra), ELISA Application Description |
| 文献引用应用 | WB, IHC, IF, IP |
| 经测试反应性 | human |
| 文献引用反应性 | human, mouse, rat, pig, chicken, bovine, sheep |
| 免疫原 |
CatNo: Ag18254 Product name: Recombinant human EIF2AK3 protein Source: e coli.-derived, PET28a Tag: 6*His Domain: 767-1116 aa of BC126354 Sequence: TDCDVEDGTMDGNDEGHSFELCPSEASPYVRSRERTSSSIVFEDSGCDNASSKEEPKTNRLHIGNHCANKLTAFKPTSSKSSSEATLSISPPRPTTLSLDLTKNTTEKLQPSSPKVYLYIQMQLCRKENLKDWMNGRCTIEERERSVCLHIFLQIAEAVEFLHSKGLMHRDLKPSNIFFTMDDVVKVGDFGLVTAMDQDEEEQTVLTPMPAYARHTGQVGTKLYMSPEQIHGNSYSHKVDIFSLGLILFELLYPFSTQMERVRTLTDVRNLKFPPLFTQKYPCEYVMVQDMLSPSPMERPEAINIIENAVFEDLDFPGKTVLRQRSRSLSSSGTKHSRQSNNSHSPLPSN 种属同源性预测 |
| 宿主/亚型 | Rabbit / IgG |
| 抗体类别 | Polyclonal |
| 产品类型 | Antibody |
| 全称 | eukaryotic translation initiation factor 2-alpha kinase 3 |
| 别名 | EIF2AK3, PERK, EC:2.7.11.1, EIF2AK 3, Eukaryotic translation initiation factor 2-alpha kinase 3 |
| 计算分子量 | 1116 aa, 125 kDa |
| 观测分子量 | 140 kDa |
| GenBank蛋白编号 | BC126354 |
| 基因名称 | PERK |
| Gene ID (NCBI) | 9451 |
| RRID | AB_2879521 |
| 偶联类型 | Unconjugated |
| 形式 | Liquid |
| 纯化方式 | Antigen affinity purification |
| UNIPROT ID | Q9NZJ5 |
| 储存缓冲液 | PBS with 0.02% sodium azide and 50% glycerol, pH 7.3. |
| 储存条件 | Store at -20°C. Stable for one year after shipment. Aliquoting is unnecessary for -20oC storage. |
背景介绍
PERK, also named as EIF2AK3 or PEK, belongs to the protein kinase superfamily, Ser/Thr protein kinase family and GCN2 subfamily. It acts as a metabolic-stress sensing protein kinase that phosphorylates the alpha subunit of eukaryotic translation initiation factor 2 (EIF2S1/eIF-2-alpha) in response to various stress conditions. PERK and EIF2AK4 also have a functional role on regulating translation under non-stressed conditions, apart from their long established roles as stress kinases (PMID: 21638082). Defects in EIF2AK3 are the cause of Wolcott-Rallison syndrome (WRS). The molecular mass of PERK is 125 kDa and can be detected as 140 kDa or 170kDa due to some modifications such as glycosylation and phosphorylation (PMID: 20851775, 24371088, 21703327).
实验方案
| Product Specific Protocols | |
|---|---|
| FC protocol for PERK/EIF2AK3 antibody 24390-1-AP | Download protocol |
| IHC protocol for PERK/EIF2AK3 antibody 24390-1-AP | Download protocol |
| WB protocol for PERK/EIF2AK3 antibody 24390-1-AP | Download protocol |
| Standard Protocols | |
|---|---|
| Click here to view our Standard Protocols |
发表文章
| Species | Application | Title |
|---|---|---|
Nat Commun Activation of GCN2/ATF4 signals in amygdalar PKC-δ neurons promotes WAT browning under leucine deprivation. | ||
J Adv Res Postantibiotic leukocyte enhancement-mediated reduction of intracellular bacteria by macrophages | ||
Autophagy Cannabidiol inhibits human glioma by induction of lethal mitophagy through activating TRPV4. | ||
Autophagy Inhibition of USP14 influences alphaherpesvirus proliferation by degrading viral VP16 protein via ER stress-triggered selective autophagy. | ||
Br J Pharmacol Substitution of the SERCA2 Cys(674) reactive thiol accelerates atherosclerosis by inducing endoplasmic reticulum stress and inflammation |





