验证数据展示
经过测试的应用
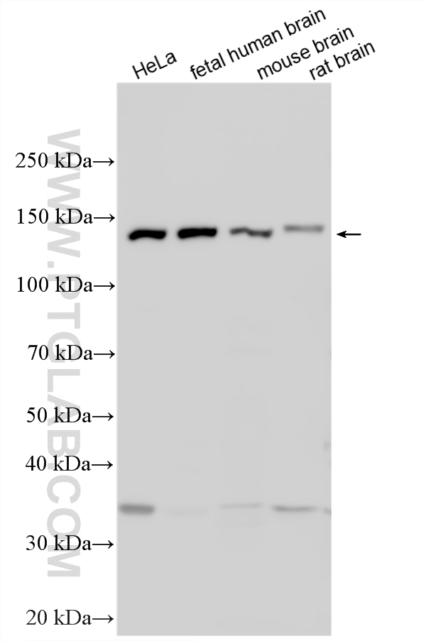
| Positive WB detected in | HeLa cells, fetal human brain tissue, mouse brain tissue, rat brain tissue |
| Positive IHC detected in | human kidney tissue Note: suggested antigen retrieval with TE buffer pH 9.0; (*) Alternatively, antigen retrieval may be performed with citrate buffer pH 6.0 |
推荐稀释比
| 应用 | 推荐稀释比 |
|---|---|
| Western Blot (WB) | WB : 1:1000-1:8000 |
| Immunohistochemistry (IHC) | IHC : 1:20-1:200 |
| It is recommended that this reagent should be titrated in each testing system to obtain optimal results. | |
| Sample-dependent, Check data in validation data gallery. | |
产品信息
24729-1-AP targets EFTUD1 in WB, IHC, ELISA applications and shows reactivity with human, mouse, rat samples.
| 经测试应用 | WB, IHC, ELISA Application Description |
| 经测试反应性 | human, mouse, rat |
| 免疫原 |
CatNo: Ag20371 Product name: Recombinant human EFTUD1 protein Source: e coli.-derived, PET30a Tag: 6*His Domain: 772-1120 aa of BC156743 Sequence: LIRSMEQLTSSLNEGENTHMIHQKTQEKIWEFKGKLEQHLTGRRWRNIVDQIWSFGPRKCGPNILVNKSEDFQNSVWTGPADKASKEASRYRDLGNSIVSGFQLATLSGPMCEEPLMGVCFVLEKWDLSKFEEQGASDLAKEGQEENETCSGGNENQELQDGCSEAFEKRTSQKGESPLTDCYGPFSGQLIATMKEACRYALQVKPQRLMAAMYTCDIMATGDVLGRVYAVLSKREGRVLQEEMKEGTDMFIIKAVLPVAESFGFADEIRKRTSGLASPQLVFSHWEIIPSDPFWVPTTEEEYLHFGEKADSENQARKYMNAVRKRKGLYVEEKIVEHAEKQRTLSKNK 种属同源性预测 |
| 宿主/亚型 | Rabbit / IgG |
| 抗体类别 | Polyclonal |
| 产品类型 | Antibody |
| 全称 | elongation factor Tu GTP binding domain containing 1 |
| 别名 | EFL1, Elongation factor Tu GTP-binding domain-containing protein 1, Elongation factor-like 1, Elongation factor-like GTPase 1, FAM42A |
| 计算分子量 | 1120 aa, 125 kDa |
| 观测分子量 | 125-135 kDa |
| GenBank蛋白编号 | BC156743 |
| 基因名称 | EFTUD1 |
| Gene ID (NCBI) | 79631 |
| RRID | AB_2879693 |
| 偶联类型 | Unconjugated |
| 形式 | Liquid |
| 纯化方式 | Antigen affinity purification |
| UNIPROT ID | Q7Z2Z2 |
| 储存缓冲液 | PBS with 0.02% sodium azide and 50% glycerol, pH 7.3. |
| 储存条件 | Store at -20°C. Stable for one year after shipment. Aliquoting is unnecessary for -20oC storage. |
背景介绍
EFTUD1 (Elongation Factor Tu GTP Binding Domain Containing Protein 1) is a protein involved in ribosome biogenesis and translation activation. It is a member of the GTP-binding elongation factor family. EFTUD1 plays a crucial role in the release of eukaryotic translation initiation factor 6 (eIF6) from 60S ribosome subunits, allowing these subunits to join with 40S subunits to form actively translating 80S complexes. (PMID: 25015090)
实验方案
| Product Specific Protocols | |
|---|---|
| IHC protocol for EFTUD1 antibody 24729-1-AP | Download protocol |
| WB protocol for EFTUD1 antibody 24729-1-AP | Download protocol |
| Standard Protocols | |
|---|---|
| Click here to view our Standard Protocols |




