验证数据展示
经过测试的应用
| Positive WB detected in | mouse testis tissue, rat testis tissue |
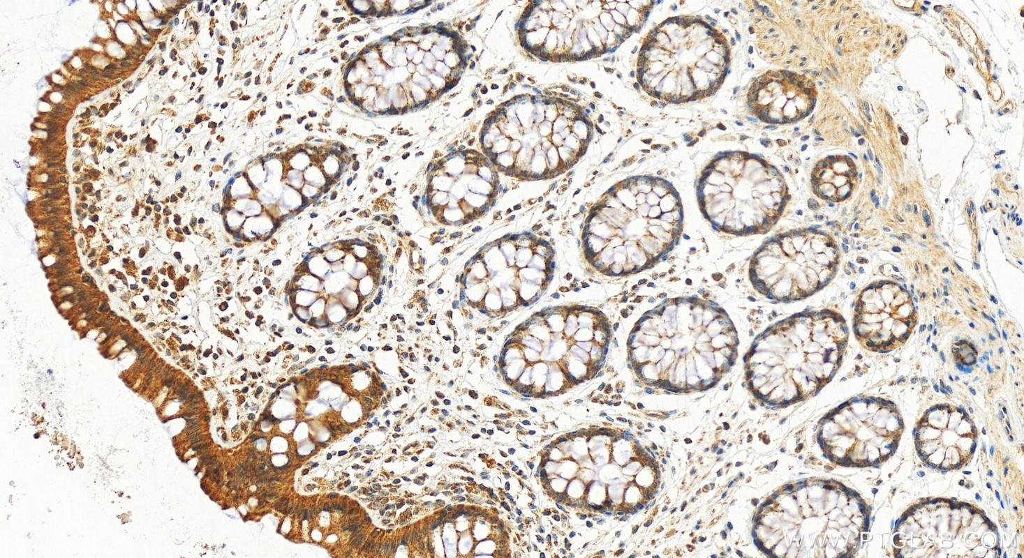
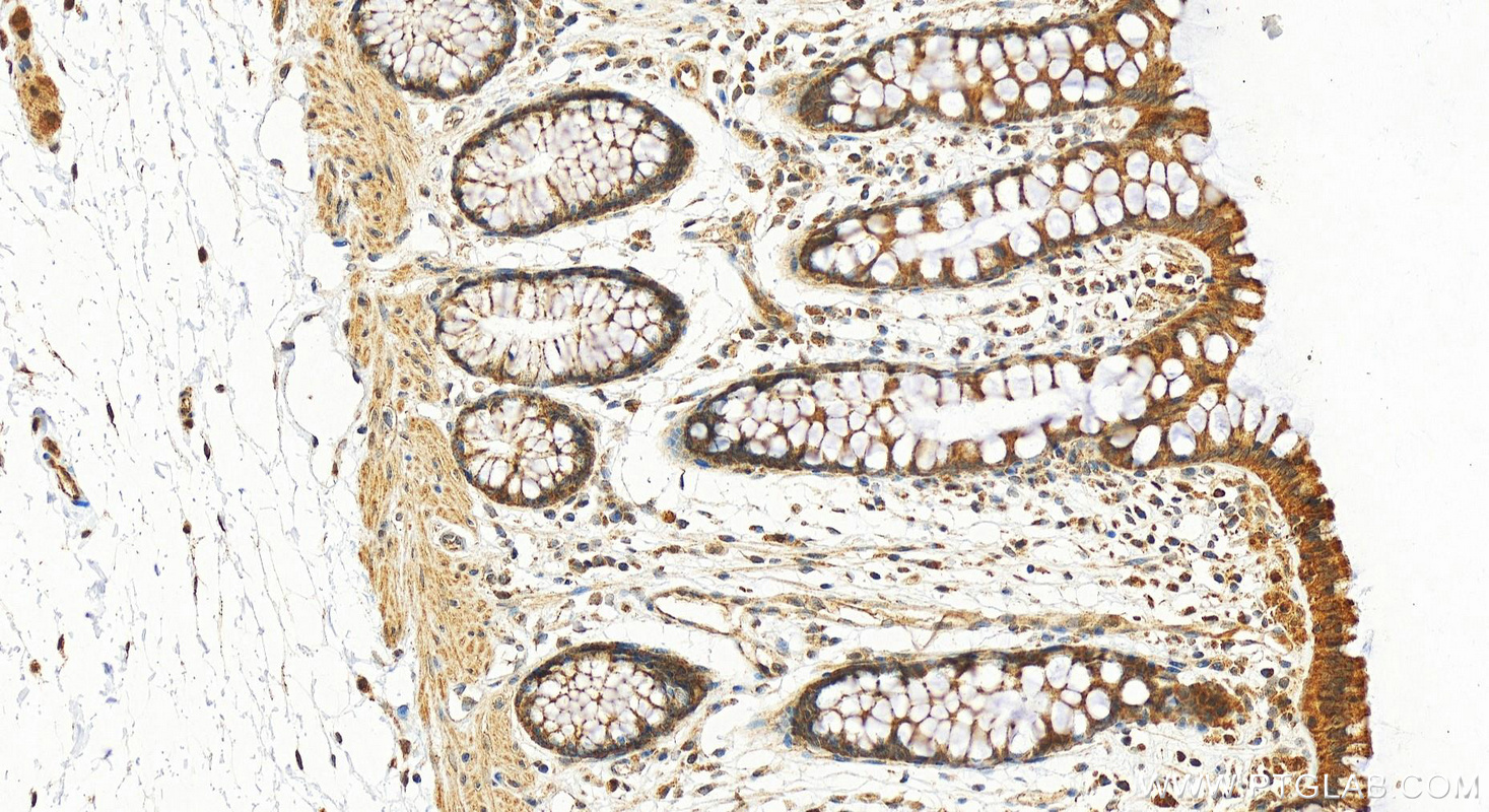
| Positive IHC detected in | human colon tissue, human liver tissue, mouse testis tissue Note: suggested antigen retrieval with TE buffer pH 9.0; (*) Alternatively, antigen retrieval may be performed with citrate buffer pH 6.0 |
推荐稀释比
| 应用 | 推荐稀释比 |
|---|---|
| Western Blot (WB) | WB : 1:500-1:2000 |
| Immunohistochemistry (IHC) | IHC : 1:50-1:500 |
| It is recommended that this reagent should be titrated in each testing system to obtain optimal results. | |
| Sample-dependent, Check data in validation data gallery. | |
发表文章中的应用
| WB | See 1 publications below |
产品信息
17276-1-AP targets EFCAB1 in WB, IHC, ELISA applications and shows reactivity with human, mouse, rat samples.
| 经测试应用 | WB, IHC, ELISA Application Description |
| 文献引用应用 | WB |
| 经测试反应性 | human, mouse, rat |
| 文献引用反应性 | human |
| 免疫原 |
CatNo: Ag11039 Product name: Recombinant human EFCAB1 protein Source: e coli.-derived, PGEX-4T Tag: GST Domain: 1-211 aa of BC025676 Sequence: MNRKKLQKLTDTLTKNCKHFNKFEVNCLIKLFYDLVGGVERQGLVVGLDRNAFRNILHVTFGMTDDMIMDRVFRGFDKDNDGCVNVLEWIHGLSLFLRGSLEEKMKYCFEVFDLNGDGFISKEEMFHMLKNSLLKQPSEEDPDEGIKDLVEITLKKMDHDHDGKLSFADYELAVREETLLLEAFGPCLPDPKSQMEFEAQVFKDPNEFNDM 种属同源性预测 |
| 宿主/亚型 | Rabbit / IgG |
| 抗体类别 | Polyclonal |
| 产品类型 | Antibody |
| 全称 | EF-hand calcium binding domain 1 |
| 别名 | Calaxin, CLXN, EF-hand calcium-binding domain-containing protein 1 |
| 计算分子量 | 211 aa, 24 kDa |
| GenBank蛋白编号 | BC025676 |
| 基因名称 | EFCAB1 |
| Gene ID (NCBI) | 79645 |
| RRID | AB_2878375 |
| 偶联类型 | Unconjugated |
| 形式 | Liquid |
| 纯化方式 | Antigen affinity purification |
| UNIPROT ID | Q9HAE3 |
| 储存缓冲液 | PBS with 0.02% sodium azide and 50% glycerol, pH 7.3. |
| 储存条件 | Store at -20°C. Stable for one year after shipment. Aliquoting is unnecessary for -20oC storage. |
背景介绍
EFCAB1, also known as Calaxin, is a gene that encodes a protein involved in the function of cilia and flagella, which are hair-like structures protruding from the surface of certain cells. Research indicates that EFCAB1 overexpression inhibits cell proliferation, migration, and invasion while promoting apoptosis in lung adenocarcinoma cells. This suggests that EFCAB1 could potentially serve as a biomarker for lung adenocarcinoma.
实验方案
| Product Specific Protocols | |
|---|---|
| IHC protocol for EFCAB1 antibody 17276-1-AP | Download protocol |
| WB protocol for EFCAB1 antibody 17276-1-AP | Download protocol |
| Standard Protocols | |
|---|---|
| Click here to view our Standard Protocols |






