验证数据展示
经过测试的应用
| Positive WB detected in | HEK-293 cells, HeLa cells, human testis tissue, Jurkat cells, HepG2 cells, SKOV-3 cells, mouse testis tissue, rat testis tissue |
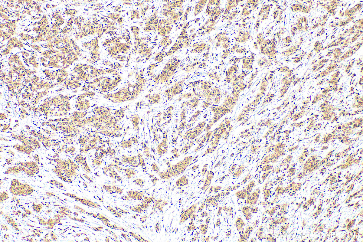
| Positive IHC detected in | human breast cancer tissue Note: suggested antigen retrieval with TE buffer pH 9.0; (*) Alternatively, antigen retrieval may be performed with citrate buffer pH 6.0 |
推荐稀释比
| 应用 | 推荐稀释比 |
|---|---|
| Western Blot (WB) | WB : 1:500-1:2000 |
| Immunohistochemistry (IHC) | IHC : 1:50-1:500 |
| It is recommended that this reagent should be titrated in each testing system to obtain optimal results. | |
| Sample-dependent, Check data in validation data gallery. | |
产品信息
10805-1-AP targets EEF1E1 in WB, IHC, IF, ELISA applications and shows reactivity with human, mouse, rat samples.
| 经测试应用 | WB, IHC, ELISA Application Description |
| 文献引用应用 | WB, IHC, IF |
| 经测试反应性 | human, mouse, rat |
| 文献引用反应性 | human |
| 免疫原 |
CatNo: Ag1092 Product name: Recombinant human EEF1E1 protein Source: e coli.-derived, PGEX-4T Tag: GST Domain: 1-174 aa of BC005291 Sequence: MAAAAELSLLEKSLGLSKGNKYSAQGERQIPVLQTNNGPSLTGLTTIAAHLVKQANKEYLLGSTAEEKAIVQQWLEYRVTQVDGHSSKNDIHTLLKDLNSYLEDKVYLTGYNFTLADILLYYGLHRFIVDLTVQEKEKYLNVSRWFCHIQHYPGIRQHLSSVVFIKNRLYTNSH 种属同源性预测 |
| 宿主/亚型 | Rabbit / IgG |
| 抗体类别 | Polyclonal |
| 产品类型 | Antibody |
| 全称 | eukaryotic translation elongation factor 1 epsilon 1 |
| 别名 | AIMP3, Aminoacyl tRNA synthetase complex-interacting multifunctional protein 3, Eukaryotic translation elongation factor 1 epsilon-1, P18 |
| 计算分子量 | 20 kDa |
| 观测分子量 | 20 kDa |
| GenBank蛋白编号 | BC005291 |
| 基因名称 | EEF1E1 |
| Gene ID (NCBI) | 9521 |
| RRID | AB_2097140 |
| 偶联类型 | Unconjugated |
| 形式 | Liquid |
| 纯化方式 | Antigen affinity purification |
| UNIPROT ID | O43324 |
| 储存缓冲液 | PBS with 0.02% sodium azide and 50% glycerol, pH 7.3. |
| 储存条件 | Store at -20°C. Stable for one year after shipment. Aliquoting is unnecessary for -20oC storage. |
背景介绍
During the translation processes, aminoacyl-tRNA synthetases (ARSs) ligate specific amino acids to tRNAs. Together with non-enzymatic proteins called ARS-interacting multifunctional proteins (AIMPs), the ARSs form a macromolecular complex [PMID:15286174]. This complex has an essential role in protein synthesis, but also in other biological processes including angiogenesis, apoptosis, and inflammation. [PMID:21789020] AIMP3 is not only associated with the multi-tRNA synthetase complex via its specific interaction with methionyl-tRNA synthetase, but also works as a tumor suppressor by interacting with ATM, the upstream kinase of p53 [PMID:18343821].
实验方案
| Product Specific Protocols | |
|---|---|
| IHC protocol for EEF1E1 antibody 10805-1-AP | Download protocol |
| WB protocol for EEF1E1 antibody 10805-1-AP | Download protocol |
| Standard Protocols | |
|---|---|
| Click here to view our Standard Protocols |
发表文章
| Species | Application | Title |
|---|---|---|
Mol Cell A methyltransferase-independent role for METTL1 in tRNA aminoacylation and oncogenic transformation | ||
J Cell Mol Med AIMP3 inhibits cell growth and metastasis of lung adenocarcinoma through activating a miR-96-5p-AIMP3-p53 axis. | ||
Cell Rep Proteomics reveal cap-dependent translation inhibitors remodel the translation machinery and translatome. | ||
Proc Natl Acad Sci U S A Multimodal cotranslational interactions direct assembly of the human multi-tRNA synthetase complex
| ||
J Hepatocell Carcinoma CT Radiomics Combined with Metabolic-Biomarkers Enables Early Recurrence Prediction in Hepatocellular Carcinoma. |





