验证数据展示
经过测试的应用
| Positive WB detected in | U2OS cells, THP-1 cells, HEK--293 cells, HeLa cells, HepG2 cells, Jurkat cells, K-562 cells |
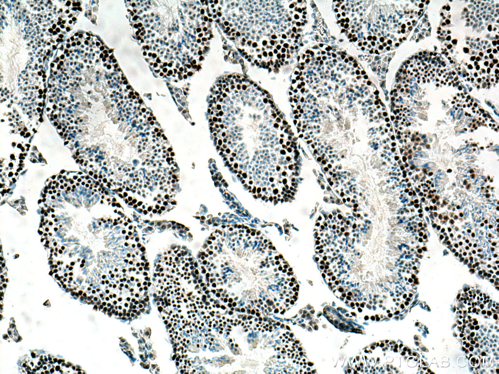
| Positive IHC detected in | mouse testis tissue Note: suggested antigen retrieval with TE buffer pH 9.0; (*) Alternatively, antigen retrieval may be performed with citrate buffer pH 6.0 |
| Positive IF-P detected in | mouse testis tissue |
推荐稀释比
| 应用 | 推荐稀释比 |
|---|---|
| Western Blot (WB) | WB : 1:2000-1:16000 |
| Immunohistochemistry (IHC) | IHC : 1:500-1:2000 |
| Immunofluorescence (IF)-P | IF-P : 1:400-1:1600 |
| It is recommended that this reagent should be titrated in each testing system to obtain optimal results. | |
| Sample-dependent, Check data in validation data gallery. | |
发表文章中的应用
| WB | See 1 publications below |
产品信息
67756-1-Ig targets EED in WB, IHC, IF-P, ELISA applications and shows reactivity with Human, mouse, rat samples.
| 经测试应用 | WB, IHC, IF-P, ELISA Application Description |
| 文献引用应用 | WB |
| 经测试反应性 | Human, mouse, rat |
| 文献引用反应性 | human |
| 免疫原 |
CatNo: Ag10369 Product name: Recombinant human EED protein Source: e coli.-derived, PET28a Tag: 6*His Domain: 1-466 aa of BC068995 Sequence: MSEREVSTAPAGTDMPAAKKQKLSSDENSNPDLSGDENDDAVSIESGTNTERPDTPTNTPNAPGRKSWGKGKWKSKKCKYSFKCVNSLKEDHNQPLFGVQFNWHSKEGDPLVFATVGSNRVTLYECHSQGEIRLLQSYVDADADENFYTCAWTYDSNTSHPLLAVAGSRGIIRIINPITMQCIKHYVGHGNAINELKFHPRDPNLLLSVSKDHALRLWNIQTDTLVAIFGGVEGHRDEVLSADYDLLGEKIMSCGMDHSLKLWRINSKRMMNAIKESYDYNPNKTNRPFISQKIHFPDFSTRDIHRNYVDCVRWLGDLILSKSGRAILHSHQQCMRDPVSPNLRQHLSCENAIVCWKPGKMEDDIDKIKPSESNVTILGRFDYSQCDIWYMRFSMDFWQKMLALGNQVGKLYVWDLEVEDPHKAKCTTLTHHKCGAAIRQTSFSRDSSILIAVCDDASIWRWDRLR 种属同源性预测 |
| 宿主/亚型 | Mouse / IgG2b |
| 抗体类别 | Monoclonal |
| 产品类型 | Antibody |
| 全称 | embryonic ectoderm development |
| 别名 | EED, embryonic ectoderm development, HEED, Polycomb protein EED, WAIT 1, WAIT1 |
| 计算分子量 | 466 aa, 53 kDa |
| 观测分子量 | 50/53/46 kDa. |
| GenBank蛋白编号 | BC068995 |
| 基因名称 | EED |
| Gene ID (NCBI) | 8726 |
| RRID | AB_2918524 |
| 偶联类型 | Unconjugated |
| 形式 | Liquid |
| 纯化方式 | Protein A purification |
| UNIPROT ID | O75530 |
| 储存缓冲液 | PBS with 0.02% sodium azide and 50% glycerol, pH 7.3. |
| 储存条件 | Store at -20°C. Stable for one year after shipment. Aliquoting is unnecessary for -20oC storage. |
背景介绍
EED is a member of the Polycomb-group (PcG) family. PcG family members form multimeric protein complexes, which are involved in maintaining the transcriptional repressive state of genes over successive cell generations. This protein interacts with enhancer of zeste 2, the cytoplasmic tail of integrin beta7, immunodeficiency virus type 1 (HIV-1) MA protein, and histone deacetylase proteins. This protein mediates repression of gene activity through histone deacetylation, and may act as a specific regulator of integrin function. EED has three isoforms, with the molecular weight of isoforms 1/2/3: 50/53/46 kDa.
实验方案
| Product Specific Protocols | |
|---|---|
| IF protocol for EED antibody 67756-1-Ig | Download protocol |
| IHC protocol for EED antibody 67756-1-Ig | Download protocol |
| WB protocol for EED antibody 67756-1-Ig | Download protocol |
| Standard Protocols | |
|---|---|
| Click here to view our Standard Protocols |




