验证数据展示
经过测试的应用
| Positive WB detected in | NIH/3T3 cells |
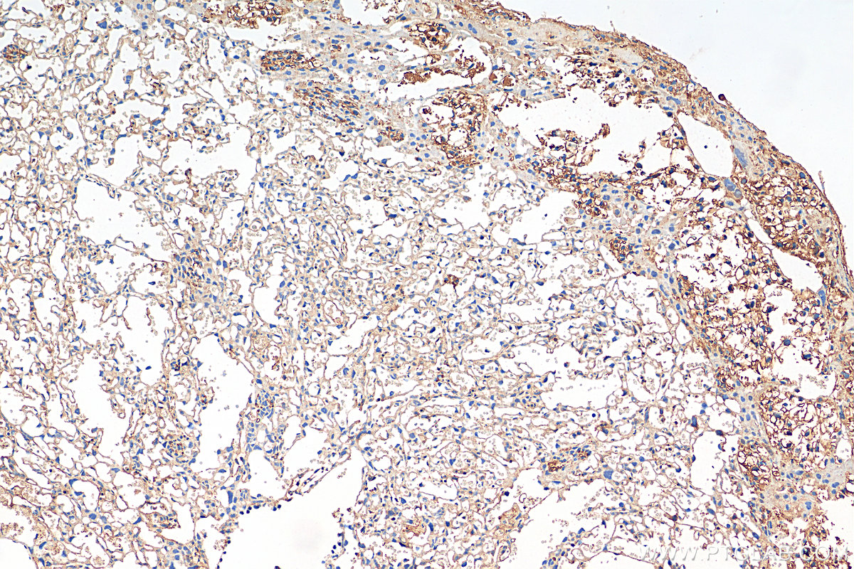
| Positive IHC detected in | mouse lung tissue, mouse placenta tissue Note: suggested antigen retrieval with TE buffer pH 9.0; (*) Alternatively, antigen retrieval may be performed with citrate buffer pH 6.0 |
| Positive FC (Intra) detected in | HUVEC cells |
推荐稀释比
| 应用 | 推荐稀释比 |
|---|---|
| Western Blot (WB) | WB : 1:200-1:1000 |
| Immunohistochemistry (IHC) | IHC : 1:50-1:500 |
| Flow Cytometry (FC) (INTRA) | FC (INTRA) : 0.40 ug per 10^6 cells in a 100 µl suspension |
| It is recommended that this reagent should be titrated in each testing system to obtain optimal results. | |
| Sample-dependent, Check data in validation data gallery. | |
产品信息
12191-1-AP targets Endothelin 1 in WB, IHC, IF, FC (Intra), IP, ELISA applications and shows reactivity with human, mouse samples.
| 经测试应用 | WB, IHC, FC (Intra), ELISA Application Description |
| 文献引用应用 | WB, IHC, IF, IP, ELISA |
| 经测试反应性 | human, mouse |
| 文献引用反应性 | human, mouse, rat |
| 免疫原 |
CatNo: Ag2847 Product name: Recombinant human EDN1 protein Source: e coli.-derived, PGEX-4T Tag: GST Domain: 1-212 aa of BC009720 Sequence: MDYLLMIFSLLFVACQGAPETAVLGAELSAVGENGGEKPTPSPPWRLRRSKRCSCSSLMDKECVYFCHLDIIWVNTPEHVVPYGLGSPRSKRALENLLPTKATDRENRCQCASQKDKKCWNFCQAGKELRAEDIMEKDWNNHKKGKDCSKLGKKCIYQQLVRGRKIRRSSEEHLRQTRSETMRNSVKSSFHDPKLKGNPSRERYVTHNRAHW 种属同源性预测 |
| 宿主/亚型 | Rabbit / IgG |
| 抗体类别 | Polyclonal |
| 产品类型 | Antibody |
| 全称 | endothelin 1 |
| 别名 | EDN1, Big endothelin-1, Endothelin-1, ET 1 Big endothelin 1, ET1 |
| 计算分子量 | 212 aa, 24 kDa |
| 观测分子量 | 24 kDa |
| GenBank蛋白编号 | BC009720 |
| 基因名称 | Endothelin 1 |
| Gene ID (NCBI) | 1906 |
| RRID | AB_889392 |
| 偶联类型 | Unconjugated |
| 形式 | Liquid |
| 纯化方式 | Antigen affinity purification |
| UNIPROT ID | P05305 |
| 储存缓冲液 | PBS with 0.02% sodium azide and 50% glycerol, pH 7.3. |
| 储存条件 | Store at -20°C. Stable for one year after shipment. Aliquoting is unnecessary for -20oC storage. |
背景介绍
EDN1, also named as Endothelin-1, PPET1 and ET-1, belongs to the endothelin/sarafotoxin family. Endothelins are endothelium-derived vasoconstrictor peptides. Emerging basic science, and animal and human data all suggest that EDN1 is a potentially important contributor in the pathobiology of fibrosing disorders, including those that affect the lung(PMID:20055532 ).
实验方案
| Product Specific Protocols | |
|---|---|
| FC protocol for Endothelin 1 antibody 12191-1-AP | Download protocol |
| IHC protocol for Endothelin 1 antibody 12191-1-AP | Download protocol |
| WB protocol for Endothelin 1 antibody 12191-1-AP | Download protocol |
| Standard Protocols | |
|---|---|
| Click here to view our Standard Protocols |
发表文章
| Species | Application | Title |
|---|---|---|
Redox Biol Exercise protects aged mice against coronary endothelial senescence via FUNDC1-dependent mitophagy | ||
Cancer Res Lactoferrin-endothelin-1 axis contributes to the development and invasiveness of triple-negative breast cancer phenotypes. | ||
Acta Pharmacol Sin Urolithin A promotes atherosclerotic plaque stability by limiting inflammation and hypercholesteremia in Apolipoprotein E-deficient mice | ||
Redox Biol Blocking mitochondrial cyclophilin D ameliorates TSH-impaired defensive barrier of artery. | ||
Int J Biol Sci Roquin2 suppresses breast cancer progression by inhibiting tumor angiogenesis via selectively destabilizing proangiogenic factors mRNA. | ||
Cancer Gene Ther Systems analysis identifies endothelin 1 axis blockade for enhancing the anti-tumor effect of multikinase inhibitor.
|



