验证数据展示
经过测试的应用
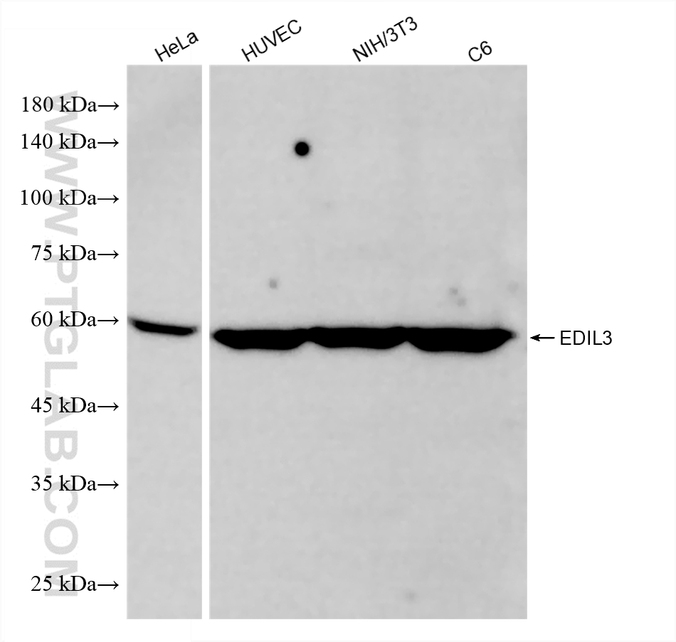
| Positive WB detected in | HeLa cells, HUVEC cells, NIH/3T3 cells, C6 cells |
| Positive IF/ICC detected in | HEK-293 cells |
推荐稀释比
| 应用 | 推荐稀释比 |
|---|---|
| Western Blot (WB) | WB : 1:5000-1:50000 |
| Immunofluorescence (IF)/ICC | IF/ICC : 1:200-1:800 |
| It is recommended that this reagent should be titrated in each testing system to obtain optimal results. | |
| Sample-dependent, Check data in validation data gallery. | |
产品信息
86715-1-RR targets EDIL3 in WB, IF/ICC, ELISA applications and shows reactivity with human, mouse, rat samples.
| 经测试应用 | WB, IF/ICC, ELISA Application Description |
| 经测试反应性 | human, mouse, rat |
| 免疫原 |
CatNo: Ag3274 Product name: Recombinant human EDIL3 protein Source: e coli.-derived, PGEX-4T Tag: GST Domain: 131-480 aa of BC030828 Sequence: GGICTDLVANYSCECPGEFMGRNCQYKCSGPLGIEGGIISNQQITASSTHRALFGLQKWYPYYARLNKKGLINAWTAAENDRWPWIQINLQRKMRVTGVITQGAKRIGSPEYIKSYKIAYSNDGKTWAMYKVKGTNEDMVFRGNIDNNTPYANSFTPPIKAQYVRLYPQVCRRHCTLRMELLGCELSGCSEPLGMKSGHIQDYQITASSIFRTLNMDMFTWEPRKARLDKQGKVNAWTSGHNDQSQWLQVDLLVPTKVTGIITQGAKDFGHVQFVGSYKLAYSNDGEHWTVYQDEKQRKDKVFQGNFDNDTHRKNVIDPPIYARHIRILPWSWYGRITLRSELLGCTEEE 种属同源性预测 |
| 宿主/亚型 | Rabbit / IgG |
| 抗体类别 | Recombinant |
| 产品类型 | Antibody |
| 全称 | EGF-like repeats and discoidin I-like domains 3 |
| 别名 | DEL1, Developmentally-regulated endothelial cell locus 1 protein, EGF-like repeat and discoidin I-like domain-containing protein 3, Integrin-binding protein DEL1 |
| 计算分子量 | 52 kDa |
| 观测分子量 | 55 kDa |
| GenBank蛋白编号 | BC030828 |
| 基因名称 | EDIL3 |
| Gene ID (NCBI) | 10085 |
| 偶联类型 | Unconjugated |
| 形式 | Liquid |
| 纯化方式 | Protein A purification |
| UNIPROT ID | O43854 |
| 储存缓冲液 | PBS with 0.02% sodium azide and 50% glycerol, pH 7.3. |
| 储存条件 | Store at -20°C. Stable for one year after shipment. Aliquoting is unnecessary for -20oC storage. |
背景介绍
EGF-like repeats and discoidin I-like domain-containing protein 3 (EDIL3), also named as DEL1 or integrin-biding protein DEL1, is a 52-kDa extracellular matrix protein produced by endothelial cells in embryos (PMID: 9420328). It is composed of three EGF repeats and two discoidin I-like domains. The second EGF repeat contains an RGD motif. EDIL3 promotes adhesion of endothelial cells through interaction with the alpha-v/beta-3 integrin receptor. It may be involved in vascular remodeling during angiogenesis (PMID: 12840057; 14981004). EDIL3 has also been reported to be an endogenous inhibitor of inflammatory cell recruitment by interfering with the integrin LFA-1-dependent leukocyte-endothelial adhesion (PMID: 19008446).
实验方案
| Product Specific Protocols | |
|---|---|
| IF protocol for EDIL3 antibody 86715-1-RR | Download protocol |
| WB protocol for EDIL3 antibody 86715-1-RR | Download protocol |
| Standard Protocols | |
|---|---|
| Click here to view our Standard Protocols |


