验证数据展示
经过测试的应用
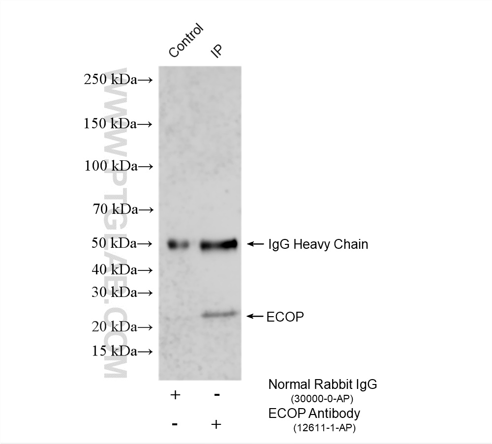
| Positive WB detected in | Transfected HEK-293 cells |
| Positive IP detected in | A549 cells |
| Positive IHC detected in | human kidney tissue, mouse ovary tissue Note: suggested antigen retrieval with TE buffer pH 9.0; (*) Alternatively, antigen retrieval may be performed with citrate buffer pH 6.0 |
推荐稀释比
| 应用 | 推荐稀释比 |
|---|---|
| Western Blot (WB) | WB : 1:500-1:2000 |
| Immunoprecipitation (IP) | IP : 0.5-4.0 ug for 1.0-3.0 mg of total protein lysate |
| Immunohistochemistry (IHC) | IHC : 1:50-1:500 |
| It is recommended that this reagent should be titrated in each testing system to obtain optimal results. | |
| Sample-dependent, Check data in validation data gallery. | |
产品信息
12611-1-AP targets ECOP in WB, IHC, IF, IP, ELISA applications and shows reactivity with human, mouse samples.
| 经测试应用 | WB, IHC, IP, ELISA Application Description |
| 文献引用应用 | WB, IHC, IF, IP |
| 经测试反应性 | human, mouse |
| 文献引用反应性 | human, mouse |
| 免疫原 |
CatNo: Ag3225 Product name: Recombinant human ECOP protein Source: e coli.-derived, PGEX-4T Tag: GST Domain: 23-172 aa of BC016650 Sequence: KKHCWYFEGLYPTYYICRSYEDCCGSRCCVRALSIQRLWYFWFLLMMGVLFCCGAGFFIRRRMYPPPLIEEPAFNVSYTRQPPNPGPGAQQPGPPYYTDPGGPGMNPVGNSMAMAFQVPPNSPQGSVACPPPPAYCNTPPPPYEQVVKAK 种属同源性预测 |
| 宿主/亚型 | Rabbit / IgG |
| 抗体类别 | Polyclonal |
| 产品类型 | Antibody |
| 全称 | EGFR-coamplified and overexpressed protein |
| 别名 | EGFR-coamplified and overexpressed protein, GASP, Glioblastoma-amplified secreted protein, Putative NF-kappa-B-activating protein 055N, VOPP1 |
| 计算分子量 | 172 aa, 19 kDa |
| GenBank蛋白编号 | BC016650 |
| 基因名称 | ECOP |
| Gene ID (NCBI) | 81552 |
| RRID | AB_2877866 |
| 偶联类型 | Unconjugated |
| 形式 | Liquid |
| 纯化方式 | Antigen affinity purification |
| UNIPROT ID | Q96AW1 |
| 储存缓冲液 | PBS with 0.02% sodium azide and 50% glycerol, pH 7.3. |
| 储存条件 | Store at -20°C. Stable for one year after shipment. Aliquoting is unnecessary for -20oC storage. |
背景介绍
ECOP, also named as VOPP1 and GASP, has been previously shown to be over-expressed in human glioblastoma multiforme and squamous cell carcinoma. It interacts directly with cytoplasmic mediators of the NF kappa B pathway. ECOP has three isoforms with MW 18-19 kDa.
实验方案
| Product Specific Protocols | |
|---|---|
| IHC protocol for ECOP antibody 12611-1-AP | Download protocol |
| IP protocol for ECOP antibody 12611-1-AP | Download protocol |
| WB protocol for ECOP antibody 12611-1-AP | Download protocol |
| Standard Protocols | |
|---|---|
| Click here to view our Standard Protocols |
发表文章
| Species | Application | Title |
|---|---|---|
BMC Biol VOPP1 promotes breast tumorigenesis by interacting with the tumor suppressor WWOX.
| ||
Aging (Albany NY) Plumbagin has an inhibitory effect on the growth of TSCC PDX model and it enhances the anticancer efficacy of cisplatin | ||
Eur J Pharmacol VOPP1, a Determinant of the Sensitivity of Non-Small Cell Lung Cancer Cells to NAE Inhibitors | ||
J Inflamm Res VOPP1 as a Novel Susceptibility Gene in Rheumatoid Arthritis: Insights Into Its Mechanisms From Mendelian Randomization and Experimental Validation.
| ||
Cell Discov Integrative clinico-molecular analysis reveals actionable subtypes and biomarkers in lung adenocarcinoma. |





