验证数据展示
经过测试的应用
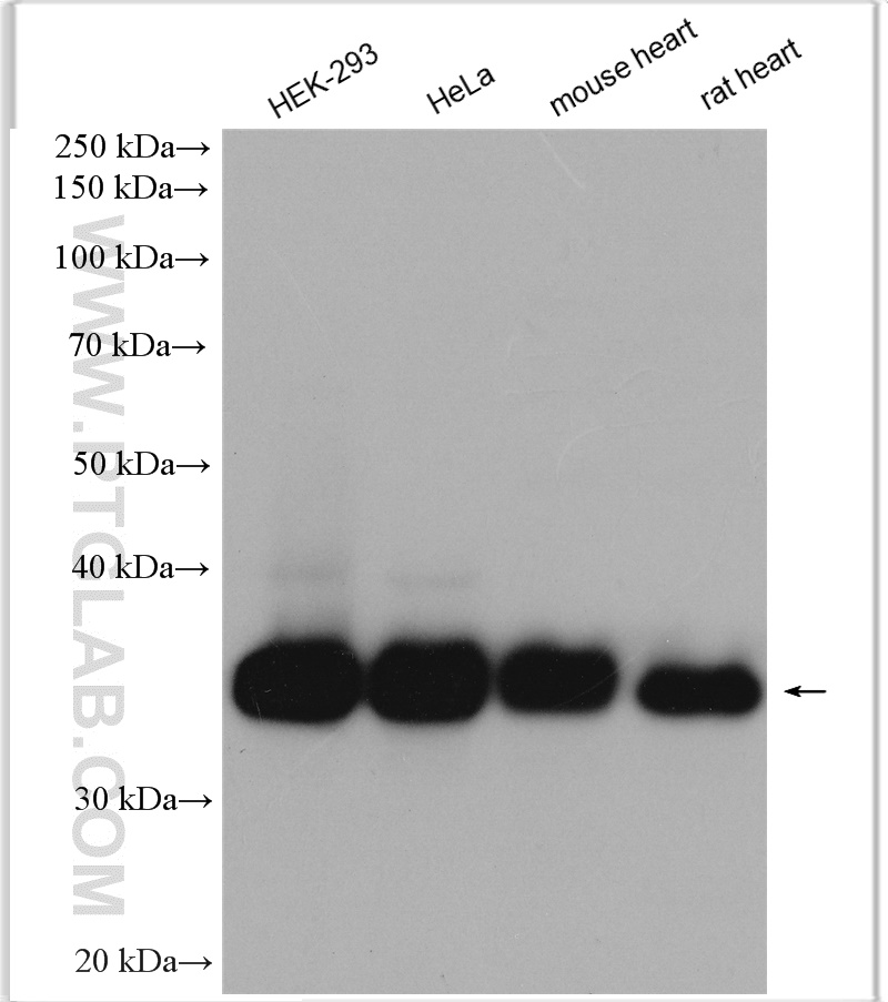
| Positive WB detected in | HEK-293 cells, HeLa cells, mouse heart tissue, rat heart tissue |
| Positive IP detected in | HeLa cells |
| Positive IHC detected in | human colon tissue Note: suggested antigen retrieval with TE buffer pH 9.0; (*) Alternatively, antigen retrieval may be performed with citrate buffer pH 6.0 |
| Positive IF/ICC detected in | HEK-293 cells |
推荐稀释比
| 应用 | 推荐稀释比 |
|---|---|
| Western Blot (WB) | WB : 1:1000-1:4000 |
| Immunoprecipitation (IP) | IP : 0.5-4.0 ug for 1.0-3.0 mg of total protein lysate |
| Immunohistochemistry (IHC) | IHC : 1:250-1:1000 |
| Immunofluorescence (IF)/ICC | IF/ICC : 1:600-1:2400 |
| It is recommended that this reagent should be titrated in each testing system to obtain optimal results. | |
| Sample-dependent, Check data in validation data gallery. | |
发表文章中的应用
| WB | See 1 publications below |
| IHC | See 1 publications below |
产品信息
12255-1-AP targets RCAS1 in WB, IHC, IF/ICC, IP, ELISA applications and shows reactivity with human, mouse, rat samples.
| 经测试应用 | WB, IHC, IF/ICC, IP, ELISA Application Description |
| 文献引用应用 | WB, IHC |
| 经测试反应性 | human, mouse, rat |
| 文献引用反应性 | rat |
| 免疫原 |
CatNo: Ag2905 Product name: Recombinant human EBAG9 protein Source: e coli.-derived, PGEX-4T Tag: GST Domain: 1-213 aa of BC017729 Sequence: MAITQFRLFKFCTCLATVFSFLKRLICRSGRGRKLSGDQITLPTTVDYSSVPKQTDVEEWTSWDEDAPTSVKIEGGNGNVATQQNSLEQLEPDYFKDMTPTIRKTQKIVIKKREPLNFGIPDGSTGFSSRLAATQDLPFIHQSSELGDLDTWQENTNAWEEEEDAAWQAEEVLRQQKLADREKRAAEQQRKKMEKEAQRLMKKEQNKIGVKLS 种属同源性预测 |
| 宿主/亚型 | Rabbit / IgG |
| 抗体类别 | Polyclonal |
| 产品类型 | Antibody |
| 全称 | estrogen receptor binding site associated, antigen, 9 |
| 别名 | EBAG9, PDAF, Estrogen receptor-binding fragment-associated gene 9 protein, EBAG 9, EB9 |
| 计算分子量 | 213 aa, 24 kDa |
| 观测分子量 | 32 kDa |
| GenBank蛋白编号 | BC017729 |
| 基因名称 | RCAS1 |
| Gene ID (NCBI) | 9166 |
| RRID | AB_2246420 |
| 偶联类型 | Unconjugated |
| 形式 | Liquid |
| 纯化方式 | Antigen affinity purification |
| UNIPROT ID | O00559 |
| 储存缓冲液 | PBS with 0.02% sodium azide and 50% glycerol, pH 7.3. |
| 储存条件 | Store at -20°C. Stable for one year after shipment. Aliquoting is unnecessary for -20oC storage. |
背景介绍
Estrogen receptor-binding fragment-associated antigen 9 (EBAG9) gene was identified as an estrogen-responsive gene. The gene product, receptor-binding cancer antigen expressed on SiSo cells (RCAS1), is associated with aggressive characteristics and poor overall survival for 15 different human malignancies. The correlation between RCAS1 expression and several clinicopathological variables, including tumor size, clinical stage, invasion depth and lymph node metastasis highlights this molecule's clinical significance. Expression of RCAS1 in tumor cells plays an important role in evasion from host immune system resulting tumor progression, invasion and metastasis. Further exploration of RCAS1 biological function will facilitate development of novel therapeutic strategies that target RCAS1.
实验方案
| Product Specific Protocols | |
|---|---|
| IF protocol for RCAS1 antibody 12255-1-AP | Download protocol |
| IHC protocol for RCAS1 antibody 12255-1-AP | Download protocol |
| IP protocol for RCAS1 antibody 12255-1-AP | Download protocol |
| WB protocol for RCAS1 antibody 12255-1-AP | Download protocol |
| Standard Protocols | |
|---|---|
| Click here to view our Standard Protocols |





