验证数据展示
经过测试的应用
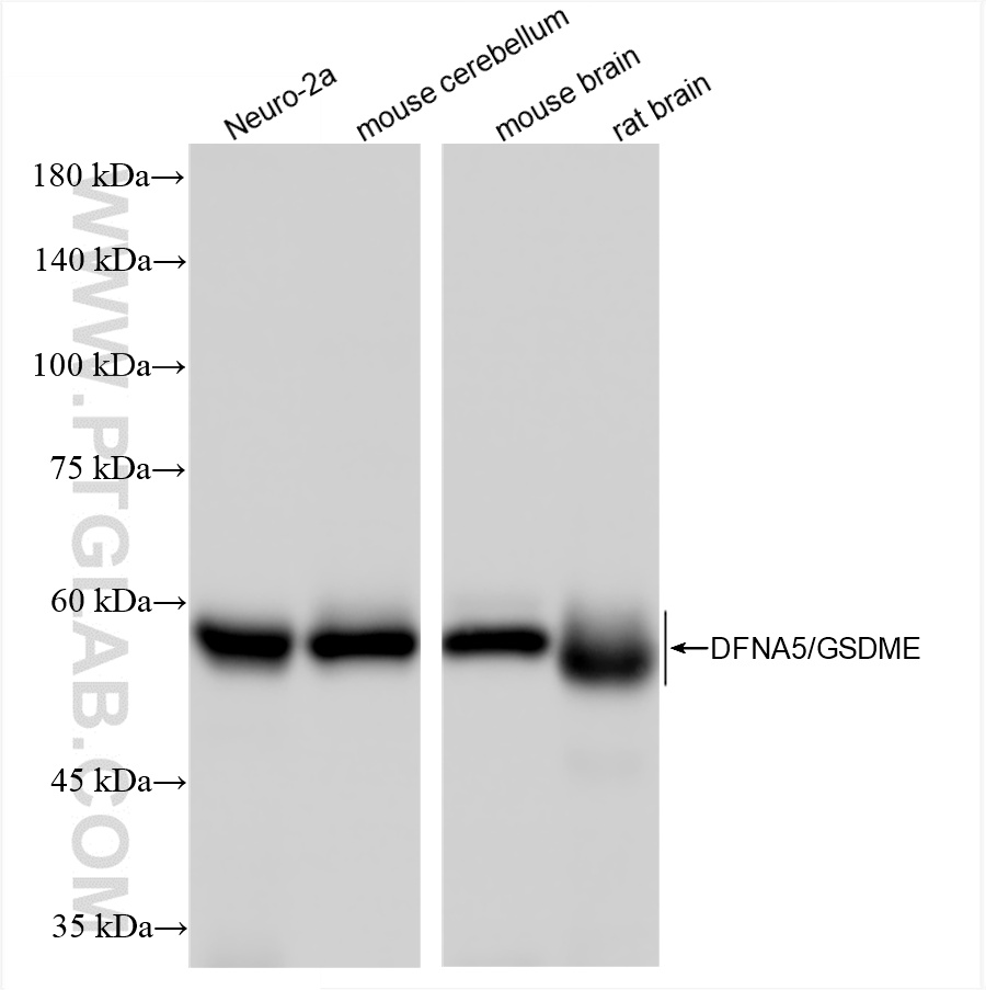
| Positive WB detected in | Neuro-2a cells, mouse cerebellum tissue, mouse brain tissue, rat brain tissue |
推荐稀释比
| 应用 | 推荐稀释比 |
|---|---|
| Western Blot (WB) | WB : 1:5000-1:20000 |
| It is recommended that this reagent should be titrated in each testing system to obtain optimal results. | |
| Sample-dependent, Check data in validation data gallery. | |
产品信息
82955-2-RR targets DFNA5/GSDME in WB, ELISA applications and shows reactivity with mouse, rat samples.
| 经测试应用 | WB, ELISA Application Description |
| 经测试反应性 | mouse, rat |
| 免疫原 |
CatNo: Ag33622 Product name: Recombinant mouse Dfna5 protein Source: e coli.-derived, PGEX-4T Tag: GST Domain: 1-200 aa of BC132303 Sequence: MFAKATRNFLKEVDAGGDLISVSHLNDSDKLQLLSLVTKKKRYWCWQRPKYQILSATLEDVLTEGHCLSPVVVESDFVKYESKCENHKSGAIGTVVGKVKLNVGGKGVVESHSSFGTLRKQEVDVQQLIQDAVKRTVNMDNLVLQQVLESRNEVLCVLTQKIMTTQKCVISEHVQSEETCGGMVGIQTKTIQVSATEDGT* 种属同源性预测 |
| 宿主/亚型 | Rabbit / IgG |
| 抗体类别 | Recombinant |
| 产品类型 | Antibody |
| 全称 | deafness, autosomal dominant 5 (human) |
| 别名 | Dfna5, Dfna5h, EG14210, Fin15, Gasdermin-E |
| 计算分子量 | 57 kDa |
| 观测分子量 | 57 kDa |
| GenBank蛋白编号 | BC132303 |
| 基因名称 | DFNA5/GSDME |
| Gene ID (NCBI) | 54722 |
| 偶联类型 | Unconjugated |
| 形式 | Liquid |
| 纯化方式 | Protein A purification |
| UNIPROT ID | Q9Z2D3 |
| 储存缓冲液 | PBS with 0.02% sodium azide and 50% glycerol, pH 7.3. |
| 储存条件 | Store at -20°C. Stable for one year after shipment. Aliquoting is unnecessary for -20oC storage. |
背景介绍
DFNA5 (deafness, autosomal dominant 5), also known as GSDME or ICERE-1, is a 496 amino acid protein that is expressed in cochlea tissue, as well as in placenta, brain, heart, liver, lung and pancreas. Defects in the gene encoding DFNA5 are the cause of non-syndromic sensorineural deafness autosomal dominant type 5 (DFNA5), a form of sensorineural hearing loss that results from damage to one of various structures that receive sound information in the brain.
实验方案
| Product Specific Protocols | |
|---|---|
| WB protocol for DFNA5/GSDME antibody 82955-2-RR | Download protocol |
| Standard Protocols | |
|---|---|
| Click here to view our Standard Protocols |

