验证数据展示
经过测试的应用
| Positive WB detected in | HeLa cells, HepG2 cells, human brain tissue, human heart tissue, mouse brain tissue | 
| Positive IP detected in | HeLa cells | 
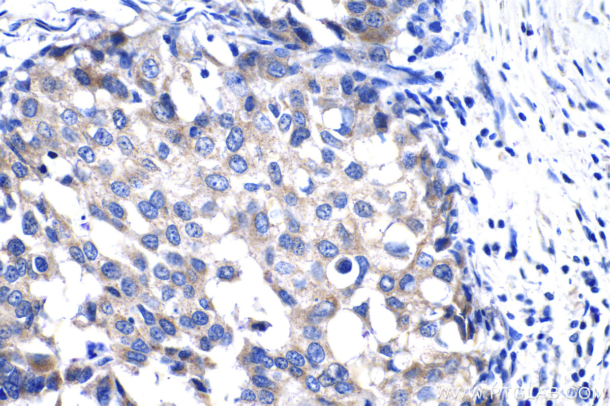
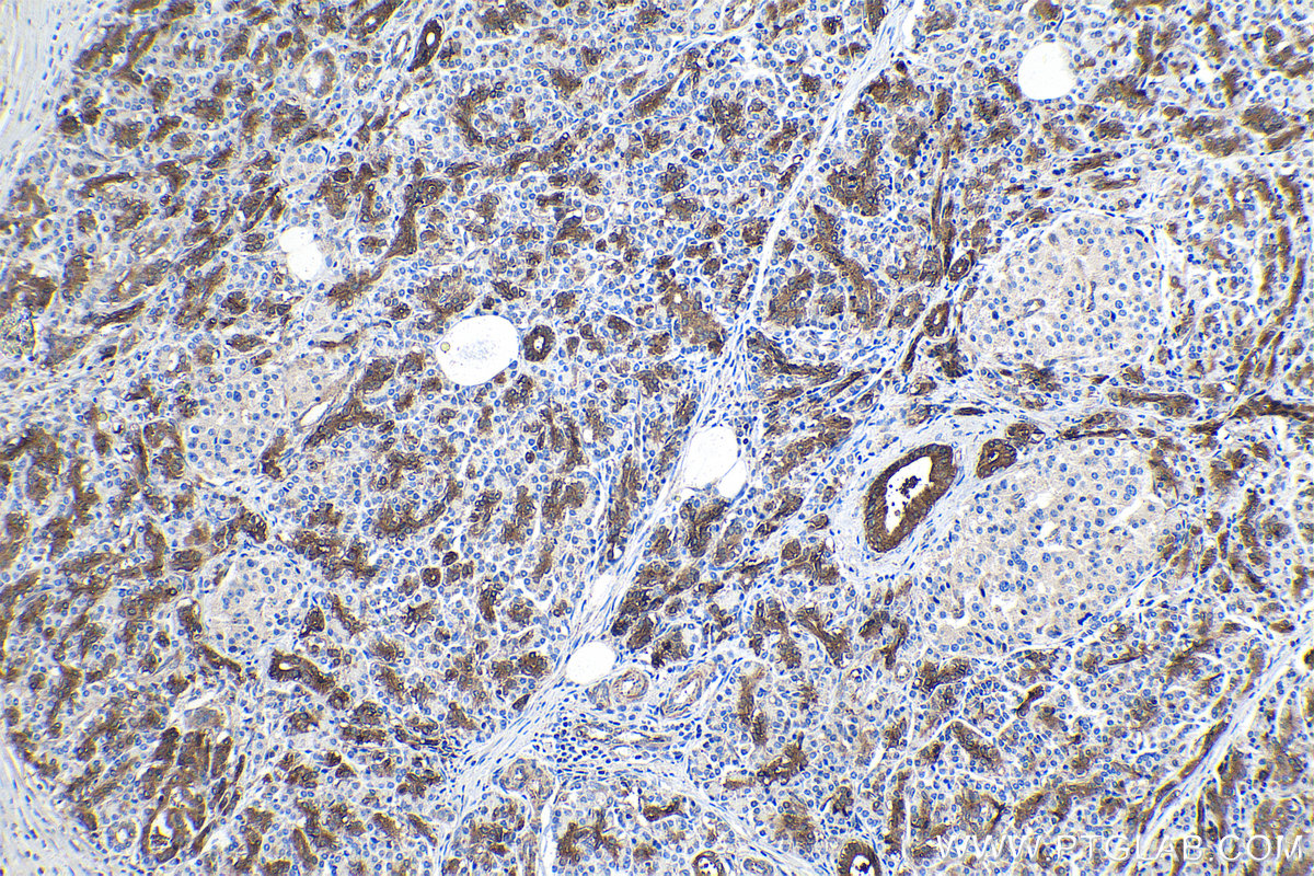
| Positive IHC detected in | human breast cancer tissue, human pancreas cancer tissue,  mouse kidney tissue,  mouse small intestine tissue Note: suggested antigen retrieval with TE buffer pH 9.0; (*) Alternatively, antigen retrieval may be performed with citrate buffer pH 6.0 | 
| Positive IF/ICC detected in | HepG2 cells | 
推荐稀释比
| 应用 | 推荐稀释比 | 
|---|---|
| Western Blot (WB) | WB : 1:500-1:2400 | 
| Immunoprecipitation (IP) | IP : 0.5-4.0 ug for 1.0-3.0 mg of total protein lysate | 
| Immunohistochemistry (IHC) | IHC : 1:250-1:1000 | 
| Immunofluorescence (IF)/ICC | IF/ICC : 1:200-1:800 | 
| It is recommended that this reagent should be titrated in each testing system to obtain optimal results. | |
| Sample-dependent, Check data in validation data gallery. | |
发表文章中的应用
| KD/KO | See 2 publications below | 
| WB | See 5 publications below | 
| IHC | See 2 publications below | 
产品信息
15360-1-AP targets DTYMK in WB, IHC, IF/ICC, IP, ELISA applications and shows reactivity with human, mouse samples.
| 经测试应用 | WB, IHC, IF/ICC, IP, ELISA Application Description | 
| 文献引用应用 | WB, IHC | 
| 经测试反应性 | human, mouse | 
| 文献引用反应性 | human | 
| 免疫原 | CatNo: Ag7606 Product name: Recombinant human DTYMK protein Source: e coli.-derived, PGEX-4T Tag: GST Domain: 1-212 aa of BC001827 Sequence: MAARRGALIVLEGVDRAGKSTQSRKLVEALCAAGHRAELLRFPERSTEIGKLLSSYLQKKSDVEDHSVHLLFSANRWEQVPLIKEKLSQGVTLVVDRYAFSGVAFTGAKENFSLDWCKQPDVGLPKPDLVLFLQLQLADAAKRGAFGHERYENGAFQERALRCFHQLMKDTTLNWKMVDASKSIEAVHEDIRVLSEDAIRTATEKPLGELWK种属同源性预测 | 
| 宿主/亚型 | Rabbit / IgG | 
| 抗体类别 | Polyclonal | 
| 产品类型 | Antibody | 
| 全称 | deoxythymidylate kinase (thymidylate kinase) | 
| 别名 | TYMK, TMPK, EC:2.7.4.9, dTMP kinase, CDC8 | 
| 计算分子量 | 24 kDa | 
| 观测分子量 | 24 kDa | 
| GenBank蛋白编号 | BC001827 | 
| 基因名称 | DTYMK | 
| Gene ID (NCBI) | 1841 | 
| RRID | AB_2261817 | 
| 偶联类型 | Unconjugated | 
| 形式 | Liquid | 
| 纯化方式 | Antigen affinity purification | 
| UNIPROT ID | P23919 | 
| 储存缓冲液 | PBS with 0.02% sodium azide and 50% glycerol, pH 7.3. | 
| 储存条件 | Store at -20°C. Stable for one year after shipment. Aliquoting is unnecessary for -20oC storage. | 
背景介绍
DTYMK(Thymidylate kinase) is also named as CDC8,TMPK and TYMK.It catalyzes the phosphorylation of dTMP to form dTDP in the dTTP synthesis pathway for DNA synthesis.This enzyme is important in cellular DNA synthesis because the synthesis of dTTP either via the de novo pathway or through the exogenous supply of thymidine requires the activity of this enzyme(PMID:18469).
实验方案
| Product Specific Protocols | |
|---|---|
| IF protocol for DTYMK antibody 15360-1-AP | Download protocol | 
| IHC protocol for DTYMK antibody 15360-1-AP | Download protocol | 
| IP protocol for DTYMK antibody 15360-1-AP | Download protocol | 
| WB protocol for DTYMK antibody 15360-1-AP | Download protocol | 
| Standard Protocols | |
|---|---|
| Click here to view our Standard Protocols | 
发表文章
| Species | Application | Title | 
|---|---|---|
| Cancer Res Targeting p300/CBP attenuates hepatocellular carcinoma progression through epigenetic regulation of metabolism.
 | ||
| Cells Distinct Classes of Flavonoids and Epigallocatechin Gallate, Polyphenol Affects an Oncogenic Mutant p53 Protein, Cell Growth and Invasion in a TNBC Breast Cancer Cell Line. | ||
| Front Mol Biosci Deoxythymidylate Kinase as a Promising Marker for Predicting Prognosis and Immune Cell Infiltration of Pan-cancer. | ||
| Proteomes Utilizing Optimized Tools to Investigate PTM Crosstalk: Identifying Potential PTM Crosstalk of Acetylated Mitochondrial Proteins. | ||
| Cell Death Dis Inhibition of DTYMK significantly restrains the growth of HCC and increases sensitivity to oxaliplatin.
 | 
















