验证数据展示
经过测试的应用
| Positive WB detected in | HEK-293 cells |
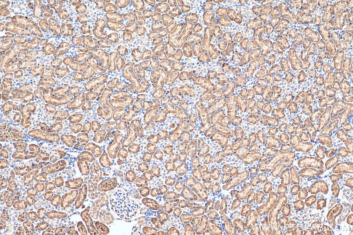
| Positive IHC detected in | human liver tissue, mouse kidney tissue Note: suggested antigen retrieval with TE buffer pH 9.0; (*) Alternatively, antigen retrieval may be performed with citrate buffer pH 6.0 |
推荐稀释比
| 应用 | 推荐稀释比 |
|---|---|
| Western Blot (WB) | WB : 1:500-1:1000 |
| Immunohistochemistry (IHC) | IHC : 1:20-1:200 |
| It is recommended that this reagent should be titrated in each testing system to obtain optimal results. | |
| Sample-dependent, Check data in validation data gallery. | |
发表文章中的应用
| KD/KO | See 1 publications below |
| WB | See 2 publications below |
| IHC | See 2 publications below |
产品信息
13237-1-AP targets DPYS in WB, IHC, ELISA applications and shows reactivity with human, mouse, rat samples.
| 经测试应用 | WB, IHC, ELISA Application Description |
| 文献引用应用 | WB, IHC |
| 经测试反应性 | human, mouse, rat |
| 文献引用反应性 | human |
| 免疫原 |
CatNo: Ag3972 Product name: Recombinant human DPYS protein Source: e coli.-derived, PGEX-4T Tag: GST Domain: 234-519 aa of BC034395 Sequence: ITIASAVNCPLYIVHVMSKSAAKVIADARRDGKVVYGEPIAASLGTDGTHYWNKEWHHAAHHVMGPPLRPDPSTPDFLMNLLANDDLTTTGTDNCTFNTCQKALGKDDFTKIPNGVNGVEDRMSVIWEKGVHSGKMDENRFVAVTSTNAAKIFNLYPRKGRIAVGSDADIVIWDPKGTRTISAKTHHQAVNFNIFEGMVCHGVPLVTISRGKVVYEAGVFSVTAGDGKFIPRKPFAEYIYKRIKQRDRTCTPTPVERAPYKGEVATLKSRVTKEDATAGTRKQAHP 种属同源性预测 |
| 宿主/亚型 | Rabbit / IgG |
| 抗体类别 | Polyclonal |
| 产品类型 | Antibody |
| 全称 | dihydropyrimidinase |
| 别名 | DHP, DHPase, Dihydropyrimidinase, EC:3.5.2.2 |
| 计算分子量 | 519 aa, 57 kDa |
| 观测分子量 | 57 kDa |
| GenBank蛋白编号 | BC034395 |
| 基因名称 | DPYS |
| Gene ID (NCBI) | 1807 |
| RRID | AB_2094329 |
| 偶联类型 | Unconjugated |
| 形式 | Liquid |
| 纯化方式 | Antigen affinity purification |
| UNIPROT ID | Q14117 |
| 储存缓冲液 | PBS with 0.02% sodium azide and 50% glycerol, pH 7.3. |
| 储存条件 | Store at -20°C. Stable for one year after shipment. Aliquoting is unnecessary for -20oC storage. |
背景介绍
DPYS(Dihydropyrimidinase)also known as 5,6-dihydropyrimidine amidohydrolase, or DHP, is the second enzyme in uracil and thymine catabolism. However, in normal human extrahepatic tissues, DPYS, rather than dihydrouracil dehydrogenase, is the rate-limiting enzyme in the pyrimidine base catabolic pathway. DHPase in solid tumors is increased when compared with normal tissues(PMID: 8307005).Defects in DPYS are the cause of dihydropyrimidinase deficiency (DHPD).
实验方案
| Product Specific Protocols | |
|---|---|
| IHC protocol for DPYS antibody 13237-1-AP | Download protocol |
| WB protocol for DPYS antibody 13237-1-AP | Download protocol |
| Standard Protocols | |
|---|---|
| Click here to view our Standard Protocols |
发表文章
| Species | Application | Title |
|---|---|---|
Nucleic Acids Res Dihydropyrimidinase protects from DNA replication stress caused by cytotoxic metabolites.
| ||
Cancer Cell Int Identification of crucial genes of pyrimidine metabolism as biomarkers for gastric cancer prognosis. | ||
Arthritis Res Ther Investigation of ferroptosis-associated molecular subtypes and immunological characteristics in lupus nephritis based on artificial neural network learning |




