验证数据展示
经过测试的应用
| Positive WB detected in | HeLa cells |
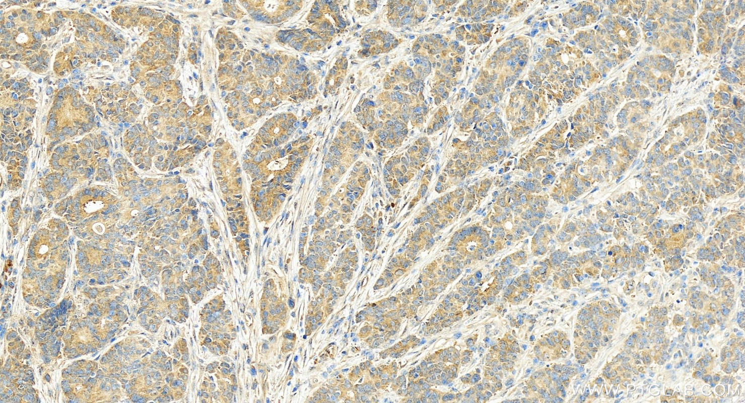
| Positive IHC detected in | human stomach cancer tissue Note: suggested antigen retrieval with TE buffer pH 9.0; (*) Alternatively, antigen retrieval may be performed with citrate buffer pH 6.0 |
推荐稀释比
| 应用 | 推荐稀释比 |
|---|---|
| Western Blot (WB) | WB : 1:500-1:1000 |
| Immunohistochemistry (IHC) | IHC : 1:50-1:500 |
| It is recommended that this reagent should be titrated in each testing system to obtain optimal results. | |
| Sample-dependent, Check data in validation data gallery. | |
发表文章中的应用
| WB | See 1 publications below |
产品信息
14866-1-AP targets DPH2 in WB, IHC, ELISA applications and shows reactivity with human, mouse, rat samples.
| 经测试应用 | WB, IHC, ELISA Application Description |
| 文献引用应用 | WB |
| 经测试反应性 | human, mouse, rat |
| 文献引用反应性 | human |
| 免疫原 |
CatNo: Ag6678 Product name: Recombinant human DPH2 protein Source: e coli.-derived, PGEX-4T Tag: GST Domain: 149-489 aa of BC001389 Sequence: VVLLSEPACAHALEALATLLRPRYLDLLVSSPAFPQPVGSLSPEPMPLERFGRRFPLAPGRRLEEYGAFYVGGSKASPDPDLDPDLSRLLLGWAPGQPFSSCCPDTGKTQDEGARAGRLRARRRYLVERARDARVVGLLAGTLGVAQHREALAHLRNLTQAAGKRSYVLALGRPTPAKLANFPEVDVFVLLACPLGALAPQLSGSFFQPILAPCELEAACNPAWPPPGLAPHLTHYADLLPGSPFHVALPPPESELWETPDVSLITGDLRPPPAWKSSNDHGSLALTPRPQLELAESSPAASFLSSRSWQGLEPRLGQTPVTEAVSGRRGIAIAYEDEGSG 种属同源性预测 |
| 宿主/亚型 | Rabbit / IgG |
| 抗体类别 | Polyclonal |
| 产品类型 | Antibody |
| 全称 | DPH2 homolog (S. cerevisiae) |
| 别名 | 2-(3-amino-3-carboxypropyl)histidine synthase subunit 2, Diphtheria toxin resistance protein 2, DPH2L2, HsDph2, S-adenosyl-L-methionine:L-histidine 3-amino-3-carboxypropyltransferase 2 |
| 计算分子量 | 51 kDa |
| 观测分子量 | 52 kDa |
| GenBank蛋白编号 | BC001389 |
| 基因名称 | DPH2 |
| Gene ID (NCBI) | 1802 |
| RRID | AB_2093254 |
| 偶联类型 | Unconjugated |
| 形式 | Liquid |
| 纯化方式 | Antigen affinity purification |
| UNIPROT ID | Q9BQC3 |
| 储存缓冲液 | PBS with 0.02% sodium azide and 50% glycerol, pH 7.3. |
| 储存条件 | Store at -20°C. Stable for one year after shipment. Aliquoting is unnecessary for -20oC storage. |
背景介绍
Required for the first step in the synthesis of diphthamide, a post-translational modification of histidine which occurs in translation elongation factor 2 (EEF2). Mutants of the DPH1, DPH2, and DPH5 (611075) genes, involved in diphthamide biosynthesis, were identified as resistant to both anthrax toxin and diphtheria toxin. This antibody works well in WB, IP, IHC and IF application.
实验方案
| Product Specific Protocols | |
|---|---|
| IHC protocol for DPH2 antibody 14866-1-AP | Download protocol |
| WB protocol for DPH2 antibody 14866-1-AP | Download protocol |
| Standard Protocols | |
|---|---|
| Click here to view our Standard Protocols |

