验证数据展示
经过测试的应用
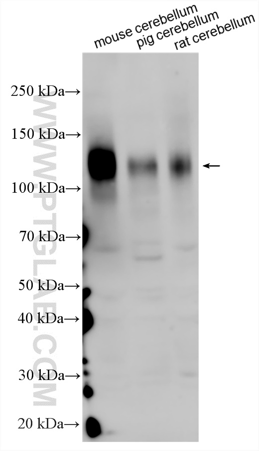
| Positive WB detected in | mouse cerebellum tissue, pig cerebellum tissue, rat cerebellum tissue |
| Positive IHC detected in | mouse cerebellum tissue, mouse brain tissue Note: suggested antigen retrieval with TE buffer pH 9.0; (*) Alternatively, antigen retrieval may be performed with citrate buffer pH 6.0 |
推荐稀释比
| 应用 | 推荐稀释比 |
|---|---|
| Western Blot (WB) | WB : 1:1000-1:4000 |
| Immunohistochemistry (IHC) | IHC : 1:300-1:1200 |
| It is recommended that this reagent should be titrated in each testing system to obtain optimal results. | |
| Sample-dependent, Check data in validation data gallery. | |
产品信息
24362-1-AP targets DNER in WB, IHC, IF, ELISA applications and shows reactivity with human, mouse, rat, pig samples.
| 经测试应用 | WB, IHC, ELISA Application Description |
| 文献引用应用 | WB, IHC, IF |
| 经测试反应性 | human, mouse, rat, pig |
| 文献引用反应性 | human, mouse, rat |
| 免疫原 |
CatNo: Ag19955 Product name: Recombinant human DNER protein Source: e coli.-derived, PGEX-4T Tag: GST Domain: 75-387 aa of BC035009 Sequence: EPGYSCTCPAGISGANCQLVADPCASNPCHHGNCSSSSSSSSDGYLCICNEGYEGPNCEQALPSLPATGWTESMAPRQLQPVPATQEPDKILPRSQATVTLPTWQPKTGQKVVEMKWDQVEVIPDIACGNASSNSSAGGRLVSFEVPQNTSVKIRQDATASLILLWKVTATGFQQCSLIDGRSVTPLQASGGLVLLEEMLALGNNHFIGFVNDSVTKSIVALRLTLVVKVSTCVPGESHANDLECSGKGKCTTKPSEATFSCTCEEQYVGTFCEEYDACQRKPCQNNASCIDANEKQDGSNFTCVCLPGYTGE 种属同源性预测 |
| 宿主/亚型 | Rabbit / IgG |
| 抗体类别 | Polyclonal |
| 产品类型 | Antibody |
| 全称 | delta/notch-like EGF repeat containing |
| 别名 | BET, Delta and Notch-like epidermal growth factor-related receptor, UNQ262/PRO299 |
| 计算分子量 | 78 kDa |
| 观测分子量 | 110-130 kDa |
| GenBank蛋白编号 | BC035009 |
| 基因名称 | DNER |
| Gene ID (NCBI) | 92737 |
| RRID | AB_3085732 |
| 偶联类型 | Unconjugated |
| 形式 | Liquid |
| 纯化方式 | Antigen affinity purification |
| UNIPROT ID | Q8NFT8 |
| 储存缓冲液 | PBS with 0.02% sodium azide and 50% glycerol, pH 7.3. |
| 储存条件 | Store at -20°C. Stable for one year after shipment. Aliquoting is unnecessary for -20oC storage. |
背景介绍
Delta and Notch-like epidermal growth factor-related receptor (DNER) is a type I transmembrane protein that is specifically expressed in the developing and mature central nervous system (PMID: 11950833). It contains ten extracellular EGF-like repeats that are closely related to those of the developmentally important receptor Notch and its ligand Delta. DNER functions as a Notch ligand and mediates signaling through neuron-glia interactions (PMID: 15965470).
实验方案
| Product Specific Protocols | |
|---|---|
| IHC protocol for DNER antibody 24362-1-AP | Download protocol |
| WB protocol for DNER antibody 24362-1-AP | Download protocol |
| Standard Protocols | |
|---|---|
| Click here to view our Standard Protocols |
发表文章
| Species | Application | Title |
|---|---|---|
Adv Sci (Weinh) Transcriptomics-Based Liquid Biopsy for Early Detection of Recurrence in Locally Advanced Gastric Cancer
| ||
Neuro Oncol A cycling, progenitor-like cell population at the base of atypical teratoid rhabdoid tumor subtype differentiation trajectories | ||
Pediatr Res DNER as a novel protein contributes to HSCR pathogenesis: multi-omics combined Mendelian randomization analysis.
|




