验证数据展示
经过测试的应用
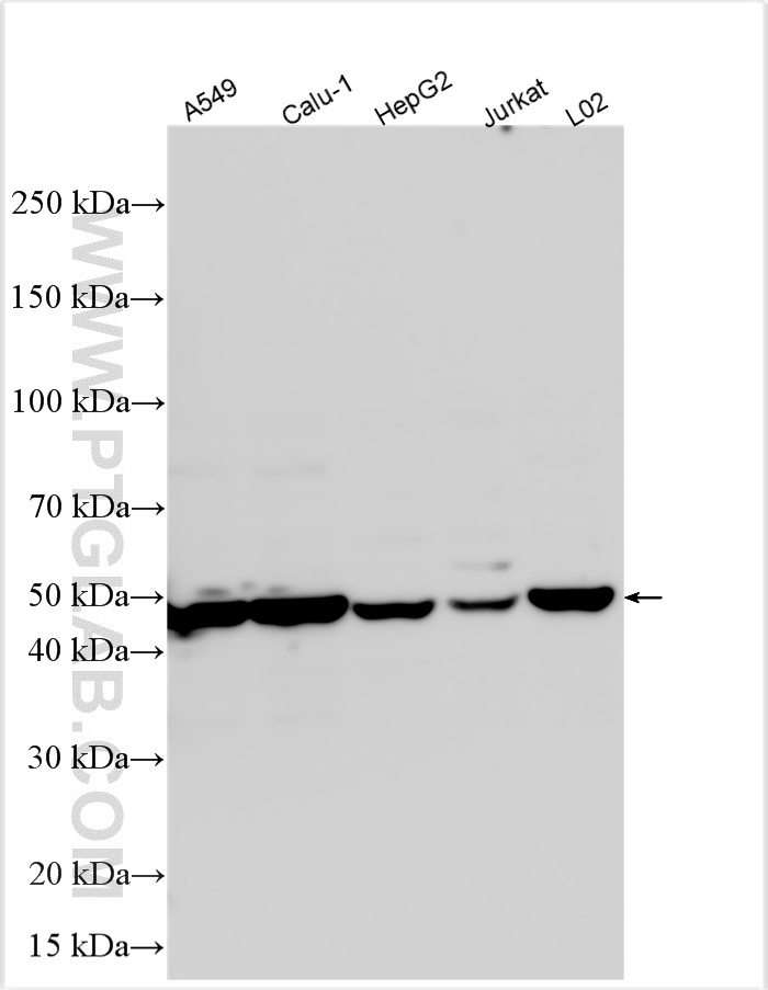
| Positive WB detected in | A549 cells, Jurkat cells, Calu-1 cells, HepG2 cells, L02 cells |
| Positive IHC detected in | human tonsillitis tissue, human prostate hyperplasia tissue Note: suggested antigen retrieval with TE buffer pH 9.0; (*) Alternatively, antigen retrieval may be performed with citrate buffer pH 6.0 |
| Positive IF/ICC detected in | A549 cells |
推荐稀释比
| 应用 | 推荐稀释比 |
|---|---|
| Western Blot (WB) | WB : 1:1000-1:6000 |
| Immunohistochemistry (IHC) | IHC : 1:20-1:200 |
| Immunofluorescence (IF)/ICC | IF/ICC : 1:10-1:100 |
| It is recommended that this reagent should be titrated in each testing system to obtain optimal results. | |
| Sample-dependent, Check data in validation data gallery. | |
发表文章中的应用
| KD/KO | See 1 publications below |
| WB | See 1 publications below |
产品信息
22652-1-AP targets DNASE2B in WB, IHC, IF/ICC, ELISA applications and shows reactivity with human samples.
| 经测试应用 | WB, IHC, IF/ICC, ELISA Application Description |
| 文献引用应用 | WB |
| 经测试反应性 | human |
| 文献引用反应性 | human |
| 免疫原 |
CatNo: Ag18246 Product name: Recombinant human DNASE2B protein Source: e coli.-derived, PGEX-4T Tag: GST Domain: 1-361 aa of BC126136 Sequence: MKHKMMARLLRTSFALLFLGLFGVLGAATISCRNEEGKAVDWFTFYKLPKKQNKESGETGLEYLYLDSTTRSWRKSEQLMNDTKSVLGRTLQQLYEAYASKSNNTAYLIYNDGVPKPVNYSRKYGHTKGLLLWNRVQGFWLIHSIPQFPPIPEEGYDYPPTGRRNGQSGICITFKYNQYEAIDSQLLVCNPNVYSCSIPATFHQELIHMPQLCTRASSSEIPGRLLTTLQSAQGQKFLHFAKSDSFLDDIFAAWMAQRLKTHLLTETWQRKRQELPSNCSLPYHVYNIKAIKLSRHSYFSSYQDHAKWCISQKGTKNRWTCIGDLNRSPHQAFRSGGFICTQNWQIYQAFQGLVLYYESCK 种属同源性预测 |
| 宿主/亚型 | Rabbit / IgG |
| 抗体类别 | Polyclonal |
| 产品类型 | Antibody |
| 全称 | deoxyribonuclease II beta |
| 别名 | Deoxyribonuclease 2 beta, Deoxyribonuclease II beta, Deoxyribonuclease-2-beta, DLAD, DNase II beta |
| 计算分子量 | 361 aa, 42 kDa |
| 观测分子量 | 42 kDa |
| GenBank蛋白编号 | BC126136 |
| 基因名称 | DNASE2B |
| Gene ID (NCBI) | 58511 |
| RRID | AB_2879144 |
| 偶联类型 | Unconjugated |
| 形式 | Liquid |
| 纯化方式 | Antigen Affinity purified |
| UNIPROT ID | Q8WZ79 |
| 储存缓冲液 | PBS with 0.02% sodium azide and 50% glycerol, pH 7.3. |
| 储存条件 | Store at -20°C. Stable for one year after shipment. Aliquoting is unnecessary for -20oC storage. |
背景介绍
DNASE2B, also known as DLAD (DNase II-like acid DNase) or DNase II beta, is a protein-coding gene located on human chromosome 1p22.3. The gene is positioned head-to-head with the urate oxidase (Uox) pseudogene and consists of 6 exons.
实验方案
| Product Specific Protocols | |
|---|---|
| IF protocol for DNASE2B antibody 22652-1-AP | Download protocol |
| IHC protocol for DNASE2B antibody 22652-1-AP | Download protocol |
| WB protocol for DNASE2B antibody 22652-1-AP | Download protocol |
| Standard Protocols | |
|---|---|
| Click here to view our Standard Protocols |
发表文章
| Species | Application | Title |
|---|---|---|
Int J Biochem Cell Biol Heat shock factor 4 regulates lens epithelial cell homeostasis by working with lysosome and anti-apoptosis pathways. | ||
Exp Cell Res Tumor cell-derived DNASE2B mediates M2 macrophage infiltration to promote prostate cancer progression through the PSA secretion.
|







