验证数据展示
经过测试的应用
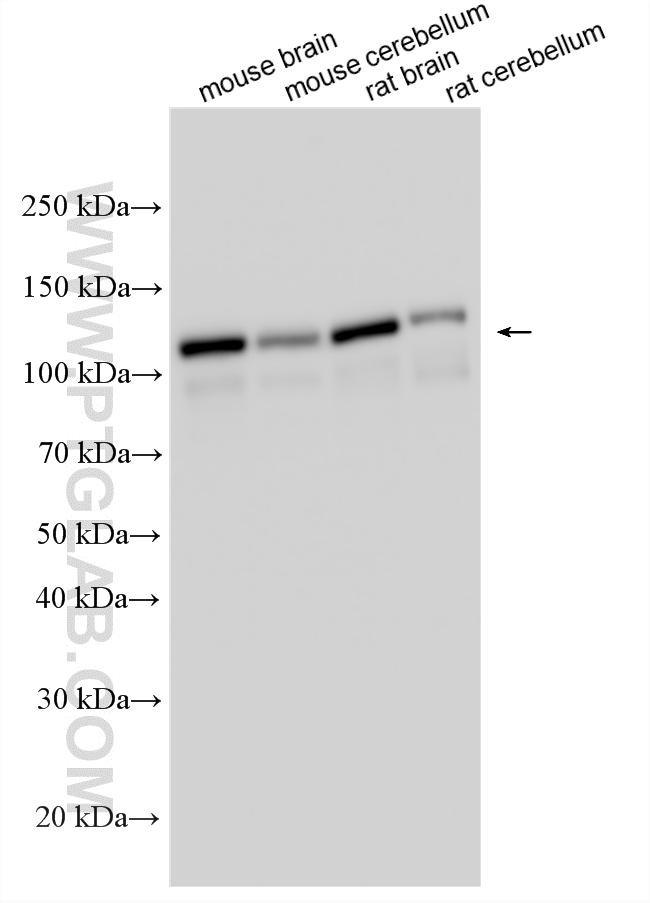
| Positive WB detected in | mouse brain tissue, mouse cerebellum tissue, rat brain tissue, rat cerebellum tissue |
| Positive IP detected in | mouse brain tissue |
| Positive IHC detected in | mouse brain tissue Note: suggested antigen retrieval with TE buffer pH 9.0; (*) Alternatively, antigen retrieval may be performed with citrate buffer pH 6.0 |
| Positive IF/ICC detected in | HeLa cells |
推荐稀释比
| 应用 | 推荐稀释比 |
|---|---|
| Western Blot (WB) | WB : 1:5000-1:50000 |
| Immunoprecipitation (IP) | IP : 0.5-4.0 ug for 1.0-3.0 mg of total protein lysate |
| Immunohistochemistry (IHC) | IHC : 1:500-1:2000 |
| Immunofluorescence (IF)/ICC | IF/ICC : 1:50-1:500 |
| It is recommended that this reagent should be titrated in each testing system to obtain optimal results. | |
| Sample-dependent, Check data in validation data gallery. | |
发表文章中的应用
| WB | See 2 publications below |
| IHC | See 1 publications below |
产品信息
21941-1-AP targets DNAJC6/AUXILIN in WB, IHC, IF/ICC, IP, ELISA applications and shows reactivity with human, mouse, rat samples.
| 经测试应用 | WB, IHC, IF/ICC, IP, ELISA Application Description |
| 文献引用应用 | WB, IHC |
| 经测试反应性 | human, mouse, rat |
| 文献引用反应性 | human, mouse |
| 免疫原 |
CatNo: Ag16612 Product name: Recombinant human DNAJC6 protein Source: e coli.-derived, PGEX-4T Tag: GST Domain: 387-733 aa of BC109279 Sequence: IPLDTTVLKFTKPELDACDVPEKYPQLFQVTLDVELQPHDKVIDLTPPWEHYCTKDVNPSILFSSHQEHQDTLALGGQAPIDIPPDNPRHYGQSGFFASLCWQDQKSEKSFCEEDHAALVNQESEQSDDELLTLSSPHGNANGDKPHGVKKPSKKQQEPAAPPPPEDVDLLGLEGSAMSNSFSPPAAPPTNSELLSDLFGGGGAAGPTQAGQSGVEDVFHPSGPASTQSTPRRSATSTSASPTLRVGEGATFDPFGAPSKPSGQDLLGSFLNTSSASSDPFLQPTRSPSPTVHASSTPAVNIQPDVSGGWDWHAKPGGFGMGSKSAATSPTGSSHGTPTHQSKPQTL 种属同源性预测 |
| 宿主/亚型 | Rabbit / IgG |
| 抗体类别 | Polyclonal |
| 产品类型 | Antibody |
| 全称 | DnaJ (Hsp40) homolog, subfamily C, member 6 |
| 别名 | Auxilin, DNAJC6, DJC6, EC:3.1.3.-, KIAA0473 |
| 计算分子量 | 970 aa, 106 kDa |
| 观测分子量 | 100-110 kDa, 86 kDa |
| GenBank蛋白编号 | BC109279 |
| 基因名称 | DNAJC6/AUXILIN |
| Gene ID (NCBI) | 9829 |
| RRID | AB_2878951 |
| 偶联类型 | Unconjugated |
| 形式 | Liquid |
| 纯化方式 | Antigen affinity purification |
| UNIPROT ID | O75061 |
| 储存缓冲液 | PBS with 0.02% sodium azide and 50% glycerol, pH 7.3. |
| 储存条件 | Store at -20°C. Stable for one year after shipment. Aliquoting is unnecessary for -20oC storage. |
背景介绍
DNAJC6, also named AUXILIN, belongs to the evolutionarily conserved DNAJ/HSP40 family of proteins, which regulate molecular chaperone activity by stimulating ATPase activity. It is a neuronal protein that functions specifically in the pathway of clathrin-mediated endocytosis. It shares homology with GAK, and the two proteins act as cochaperones to support the HSC70 -dependent clathrin uncoating of clathrin-coated vesicles (PMID: 2016009). DNAJC6 is expressed in various brain regions, including cerebellum, corpus callosum, cortex, striatum, brainstem, pons, putamen, spinal cord and substantia nigra (PMID: 23211418).
实验方案
| Product Specific Protocols | |
|---|---|
| IF protocol for DNAJC6/AUXILIN antibody 21941-1-AP | Download protocol |
| IHC protocol for DNAJC6/AUXILIN antibody 21941-1-AP | Download protocol |
| IP protocol for DNAJC6/AUXILIN antibody 21941-1-AP | Download protocol |
| WB protocol for DNAJC6/AUXILIN antibody 21941-1-AP | Download protocol |
| Standard Protocols | |
|---|---|
| Click here to view our Standard Protocols |
发表文章
| Species | Application | Title |
|---|---|---|
Sci Rep Differential regulation of synaptic AP-2/clathrin vesicle uncoating in synaptic plasticity. | ||
Cancers (Basel) Mutant p53 Depletion by Novel Inhibitors for HSP40/J-Domain Proteins Derived from the Natural Compound Plumbagin | ||




