验证数据展示
经过测试的应用
| Positive WB detected in | HeLa cells, mouse brain tissue, rat brain tissue |
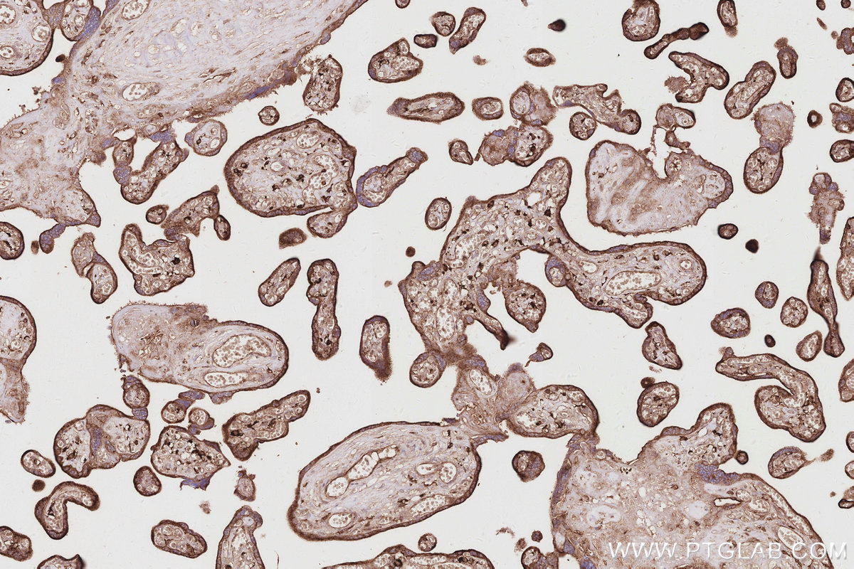
| Positive IHC detected in | human placenta tissue, mouse cerebellum tissue, mouse lung tissue, mouse pancreas tissue, rat liver tissue Note: suggested antigen retrieval with TE buffer pH 9.0; (*) Alternatively, antigen retrieval may be performed with citrate buffer pH 6.0 |
| Positive IF/ICC detected in | HeLa cells |
推荐稀释比
| 应用 | 推荐稀释比 |
|---|---|
| Western Blot (WB) | WB : 1:5000-1:50000 |
| Immunohistochemistry (IHC) | IHC : 1:250-1:1000 |
| Immunofluorescence (IF)/ICC | IF/ICC : 1:200-1:800 |
| It is recommended that this reagent should be titrated in each testing system to obtain optimal results. | |
| Sample-dependent, Check data in validation data gallery. | |
产品信息
32204-1-AP targets DNAJC5 in WB, IHC, IF/ICC, ELISA applications and shows reactivity with human, mouse, rat samples.
| 经测试应用 | WB, IHC, IF/ICC, ELISA Application Description |
| 经测试反应性 | human, mouse, rat |
| 免疫原 |
CatNo: Ag35443 Product name: Recombinant human DNAJC5 protein Source: e coli.-derived, PGEX-4T Tag: GST Domain: 110-198 aa of NM_025219.2 Sequence: FVFCGLLTCCYCCCCLCCCFNCCCGKCKPKAPEGEETEFYVSPEDLEAQLQSDEREATDTPIVIQPASATETTQLTADSHPSYHTDGFN 种属同源性预测 |
| 宿主/亚型 | Rabbit / IgG |
| 抗体类别 | Polyclonal |
| 产品类型 | Antibody |
| 全称 | DnaJ (Hsp40) homolog, subfamily C, member 5 |
| 别名 | Ceroid-lipofuscinosis neuronal protein 4, CLN4, CSP, Cysteine string protein, DnaJ (Hsp40) Homolog, Subfamily C, Member 5 |
| 计算分子量 | 22kDa,198aa |
| 观测分子量 | 30 kDa |
| GenBank蛋白编号 | NM_025219.2 |
| 基因名称 | DNAJC5 |
| Gene ID (NCBI) | 80331 |
| RRID | AB_3670222 |
| 偶联类型 | Unconjugated |
| 形式 | Liquid |
| 纯化方式 | Antigen affinity Purification |
| UNIPROT ID | Q9H3Z4 |
| 储存缓冲液 | PBS with 0.02% sodium azide and 50% glycerol, pH 7.3. |
| 储存条件 | Store at -20°C. Stable for one year after shipment. Aliquoting is unnecessary for -20oC storage. |
背景介绍
DNAJC5 (DnaJ homolog subfamily C member 5), also known as cysteine string protein α (CSPα), is a member of the HSP40 (DNAJ) family of proteins, as well as a co-chaperone of HSC70, and has been shown to control the extracellular release of many neurodegenerative disease proteins. DNAJC5 contains three structural domains - -a common N-terminal J structural domain conserved in DNAJ proteins, the cysteine string (CS) central structural domain, which is highly palmitoylated and anchors the protein to late endosomes, and an overall disordered C-terminal structural domain. Mutations in DNAJC5 have been strongly implicated in the development of human diseases such as neuronal waxy lipofuscinosis, cystic fibrosis, Huntington's disease and Parkinson's disease.
实验方案
| Product Specific Protocols | |
|---|---|
| IF protocol for DNAJC5 antibody 32204-1-AP | Download protocol |
| IHC protocol for DNAJC5 antibody 32204-1-AP | Download protocol |
| WB protocol for DNAJC5 antibody 32204-1-AP | Download protocol |
| Standard Protocols | |
|---|---|
| Click here to view our Standard Protocols |







