验证数据展示
经过测试的应用
| Positive WB detected in | HEK-293 cells, HeLa cells, human brain tissue, mouse brain tissue, rat brain tissue |
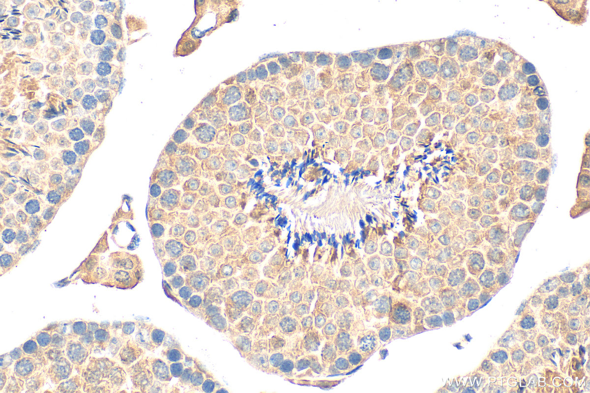
| Positive IHC detected in | mouse testis tissue Note: suggested antigen retrieval with TE buffer pH 9.0; (*) Alternatively, antigen retrieval may be performed with citrate buffer pH 6.0 |
推荐稀释比
| 应用 | 推荐稀释比 |
|---|---|
| Western Blot (WB) | WB : 1:1000-1:6000 |
| Immunohistochemistry (IHC) | IHC : 1:50-1:500 |
| It is recommended that this reagent should be titrated in each testing system to obtain optimal results. | |
| Sample-dependent, Check data in validation data gallery. | |
发表文章中的应用
| WB | See 4 publications below |
| IF | See 2 publications below |
产品信息
17071-1-AP targets DNAJB8 in WB, IHC, IF, ELISA applications and shows reactivity with human, mouse, rat samples.
| 经测试应用 | WB, IHC, ELISA Application Description |
| 文献引用应用 | WB, IF |
| 经测试反应性 | human, mouse, rat |
| 文献引用反应性 | mouse, pig, yeast |
| 免疫原 |
CatNo: Ag10899 Product name: Recombinant human DNAJB8 protein Source: e coli.-derived, PGEX-4T Tag: GST Domain: 1-232 aa of BC029521 Sequence: MANYYEVLGVQASASPEDIKKAYRKLALRWHPDKNPDNKEEAEKKFKLVSEAYEVLSDSKKRSLYDRAGCDSWRAGGGASTPYHSPFDTGYTFRNPEDIFREFFGGLDPFSFEFWDSPFNSDRGGRGHGLRGAFSAGFGEFPAFMEAFSSFNMLGCSGGSHTTFSSTSFGGSSSGSSGFKSVMSSTEMINGHKVTTKRIVENGQERVEVEEDGQLKSVTVNGKEQLKWMDSK 种属同源性预测 |
| 宿主/亚型 | Rabbit / IgG |
| 抗体类别 | Polyclonal |
| 产品类型 | Antibody |
| 全称 | DnaJ (Hsp40) homolog, subfamily B, member 8 |
| 别名 | DJ6 |
| 计算分子量 | 232 aa, 26 kDa |
| 观测分子量 | 26 kDa |
| GenBank蛋白编号 | BC029521 |
| 基因名称 | DNAJB8 |
| Gene ID (NCBI) | 165721 |
| RRID | AB_2094743 |
| 偶联类型 | Unconjugated |
| 形式 | Liquid |
| 纯化方式 | Antigen affinity purification |
| UNIPROT ID | Q8NHS0 |
| 储存缓冲液 | PBS with 0.02% sodium azide and 50% glycerol, pH 7.3. |
| 储存条件 | Store at -20°C. Stable for one year after shipment. Aliquoting is unnecessary for -20oC storage. |
背景介绍
DNAJB8, a member of the DNAJ/HSP40 family of proteins, plays a crucial role in regulating chaperone HSP70 activity. It is known for its ability to suppress the aggregation of polyglutamine proteins through its C-terminal tail. Furthermore, DNAJB8 has been shown to inhibit TP53 through ubiquitin degradation in human colon cancer by directly interacting and upregulating MDR1, leading to increased oxaliplatin resistance. High levels of DNAJB8 in both colon tissues and serum are correlated with worse overall survival of colon cancer patients, suggesting that DNAJB8 level in serum sEV may serve as a potential biomarker for colon cancer and a promising therapeutic target for oxaliplatin-resistant cancer.
实验方案
| Product Specific Protocols | |
|---|---|
| IHC protocol for DNAJB8 antibody 17071-1-AP | Download protocol |
| WB protocol for DNAJB8 antibody 17071-1-AP | Download protocol |
| Standard Protocols | |
|---|---|
| Click here to view our Standard Protocols |
发表文章
| Species | Application | Title |
|---|---|---|
iScience Proteostasis regulated by testis-specific ribosomal protein RPL39L maintains mouse spermatogenesis. | ||
STAR Protoc Protocol for isolation and proteostatic analysis of sub-populations of spermatogenic cells in mouse. | ||
Vet Microbiol The heat shock protein DNAJB8 inhibits pseudorabies virus replication by autophagy | ||
bioRxiv Scouring the human Hsp70 network uncovers diverse chaperone safeguards buffering TDP-43 toxicity. |



