验证数据展示
经过测试的应用
| Positive WB detected in | RAW 264.7 cells |
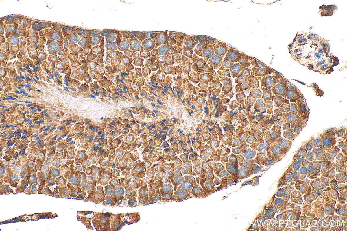
| Positive IHC detected in | mouse testis tissue Note: suggested antigen retrieval with TE buffer pH 9.0; (*) Alternatively, antigen retrieval may be performed with citrate buffer pH 6.0 |
推荐稀释比
| 应用 | 推荐稀释比 |
|---|---|
| Western Blot (WB) | WB : 1:200-1:1000 |
| Immunohistochemistry (IHC) | IHC : 1:50-1:500 |
| It is recommended that this reagent should be titrated in each testing system to obtain optimal results. | |
| Sample-dependent, Check data in validation data gallery. | |
发表文章中的应用
| WB | See 2 publications below |
产品信息
18540-1-AP targets DNAJB7 in WB, IHC, ELISA applications and shows reactivity with human, mouse, rat samples.
| 经测试应用 | WB, IHC, ELISA Application Description |
| 文献引用应用 | WB |
| 经测试反应性 | human, mouse, rat |
| 文献引用反应性 | mouse, yeast |
| 免疫原 |
CatNo: Ag13367 Product name: Recombinant human DNAJB7 protein Source: e coli.-derived, PET28a Tag: 6*His Domain: 1-309 aa of BC112135 Sequence: MVDYYEVLGLQRYASPEDIKKAYHKVALKWHPDKNPENKEEAERKFKEVAEAYEVLSNDEKRDIYDKYGTEGLNGGGSHFDDECEYGFTFHKPDDVFKEIFHERDPFSFHFFEDSLEDLLNRPGSSYGNRNRDAGYFFSTASEYPIFEKFSSYDTGYTSQGSLGHEGLTSFSSLAFDNSGMDNYISVTTSDKIVNGRNINTKKIIESDQEREAEDNGELTFFLVNSVANEEGFAKECSWRTQSFNNYSPNSHSSKHVSQYTFVDNDEGGISWVTSNRDPPIFSAGVKEGGKRKKKKRKEVQKKSTKRNC 种属同源性预测 |
| 宿主/亚型 | Rabbit / IgG |
| 抗体类别 | Polyclonal |
| 产品类型 | Antibody |
| 全称 | DnaJ (Hsp40) homolog, subfamily B, member 7 |
| 别名 | DJ5, HSC3 |
| 计算分子量 | 309 aa, 35 kDa |
| 观测分子量 | 35 kDa |
| GenBank蛋白编号 | BC112135 |
| 基因名称 | DNAJB7 |
| Gene ID (NCBI) | 150353 |
| RRID | AB_2878550 |
| 偶联类型 | Unconjugated |
| 形式 | Liquid |
| 纯化方式 | Antigen affinity purification |
| UNIPROT ID | Q7Z6W7 |
| 储存缓冲液 | PBS with 0.02% sodium azide and 50% glycerol, pH 7.3. |
| 储存条件 | Store at -20°C. Stable for one year after shipment. Aliquoting is unnecessary for -20oC storage. |
实验方案
| Product Specific Protocols | |
|---|---|
| IHC protocol for DNAJB7 antibody 18540-1-AP | Download protocol |
| WB protocol for DNAJB7 antibody 18540-1-AP | Download protocol |
| Standard Protocols | |
|---|---|
| Click here to view our Standard Protocols |
发表文章
| Species | Application | Title |
|---|---|---|
bioRxiv Scouring the human Hsp70 network uncovers diverse chaperone safeguards buffering TDP-43 toxicity. |


