验证数据展示
经过测试的应用
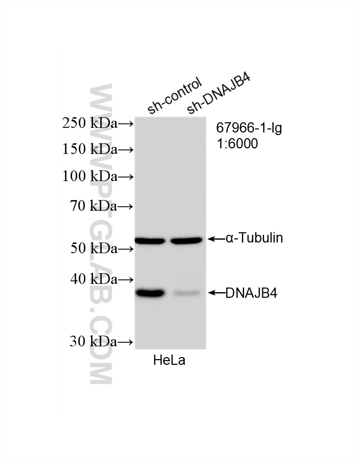
| Positive WB detected in | A549 cells, HeLa cells, mouse heart tissue, HEK-293 cells, Jurkat cells, K-562 cells, pig heart, rabbit heart |
| Positive IHC detected in | human pancreas cancer tissue Note: suggested antigen retrieval with TE buffer pH 9.0; (*) Alternatively, antigen retrieval may be performed with citrate buffer pH 6.0 |
| Positive IF/ICC detected in | A431 cells |
推荐稀释比
| 应用 | 推荐稀释比 |
|---|---|
| Western Blot (WB) | WB : 1:2000-1:10000 |
| Immunohistochemistry (IHC) | IHC : 1:250-1:1000 |
| Immunofluorescence (IF)/ICC | IF/ICC : 1:400-1:1600 |
| It is recommended that this reagent should be titrated in each testing system to obtain optimal results. | |
| Sample-dependent, Check data in validation data gallery. | |
产品信息
67966-1-Ig targets DNAJB4 in WB, IHC, IF/ICC, ELISA applications and shows reactivity with human, mouse, pig, rabbit samples.
| 经测试应用 | WB, IHC, IF/ICC, ELISA Application Description |
| 经测试反应性 | human, mouse, pig, rabbit |
| 免疫原 |
CatNo: Ag3756 Product name: Recombinant human DNAJB4 protein Source: e coli.-derived, PGEX-4T Tag: GST Domain: 1-337 aa of BC034721 Sequence: MGKDYYCILGIEKGASDEDIKKAYRKQALKFHPDKNKSPQAEEKFKEVAEAYEVLSDPKKREIYDQFGEEGLKGGAGGTDGQGGTFRYTFHGDPHATFAAFFGGSNPFEIFFGRRMGGGRDSEEMEIDGDPFSAFGFSMNGYPRDRNSVGPSRLKQDPPVIHELRVSLEEIYSGCTKRMKISRKRLNADGRSYRSEDKILTIEIKKGWKEGTKITFPREGDETPNSIPADIVFIIKDKDHPKFKRDGSNIIYTAKISLREALCGCSINVPTLDGRNIPMSVNDIVKPGMRRRIIGYGLPFPKNPDQRGDLLIEFEVSFPDTISSSSKEVLRKHLPAS 种属同源性预测 |
| 宿主/亚型 | Mouse / IgG1 |
| 抗体类别 | Monoclonal |
| 产品类型 | Antibody |
| 全称 | DnaJ (Hsp40) homolog, subfamily B, member 4 |
| 别名 | DjB4, DNAJW, Heat shock protein 40 homolog, HLJ1, HSP40 homolog |
| 计算分子量 | 38 kDa |
| 观测分子量 | 38 kDa |
| GenBank蛋白编号 | BC034721 |
| 基因名称 | DNAJB4 |
| Gene ID (NCBI) | 11080 |
| RRID | AB_2918717 |
| 偶联类型 | Unconjugated |
| 形式 | Liquid |
| 纯化方式 | Protein G purification |
| UNIPROT ID | Q9UDY4 |
| 储存缓冲液 | PBS with 0.02% sodium azide and 50% glycerol, pH 7.3. |
| 储存条件 | Store at -20°C. Stable for one year after shipment. Aliquoting is unnecessary for -20oC storage. |
实验方案
| Product Specific Protocols | |
|---|---|
| IF protocol for DNAJB4 antibody 67966-1-Ig | Download protocol |
| IHC protocol for DNAJB4 antibody 67966-1-Ig | Download protocol |
| WB protocol for DNAJB4 antibody 67966-1-Ig | Download protocol |
| Standard Protocols | |
|---|---|
| Click here to view our Standard Protocols |





