验证数据展示
经过测试的应用
| Positive WB detected in | Jurkat cells, HeLa cells, human testis tissue |
| Positive IP detected in | Jurkat cells |
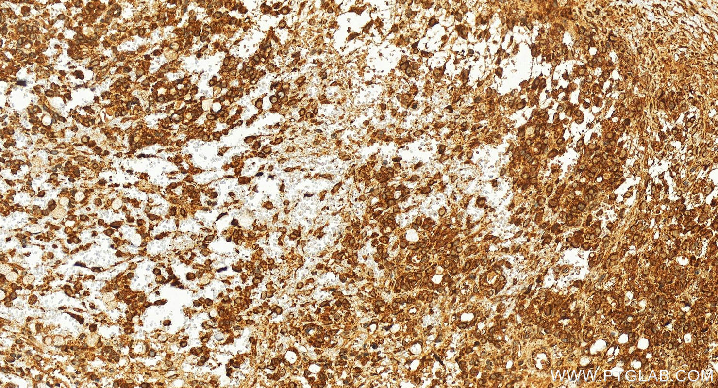
| Positive IHC detected in | human ovary cancer tissue Note: suggested antigen retrieval with TE buffer pH 9.0; (*) Alternatively, antigen retrieval may be performed with citrate buffer pH 6.0 |
| Positive IF/ICC detected in | HeLa cells |
推荐稀释比
| 应用 | 推荐稀释比 |
|---|---|
| Western Blot (WB) | WB : 1:2000-1:12000 |
| Immunoprecipitation (IP) | IP : 0.5-4.0 ug for 1.0-3.0 mg of total protein lysate |
| Immunohistochemistry (IHC) | IHC : 1:200-1:800 |
| Immunofluorescence (IF)/ICC | IF/ICC : 1:200-1:800 |
| It is recommended that this reagent should be titrated in each testing system to obtain optimal results. | |
| Sample-dependent, Check data in validation data gallery. | |
发表文章中的应用
| WB | See 7 publications below |
| IF | See 3 publications below |
产品信息
16501-1-AP targets DNAJB14 in WB, IHC, IF/ICC, IP, ELISA applications and shows reactivity with human, mouse, rat samples.
| 经测试应用 | WB, IHC, IF/ICC, IP, ELISA Application Description |
| 文献引用应用 | WB, IF |
| 经测试反应性 | human, mouse, rat |
| 文献引用反应性 | human, mouse, monkey |
| 免疫原 |
CatNo: Ag9668 Product name: Recombinant human DNAJB14 protein Source: e coli.-derived, PGEX-4T Tag: GST Domain: 1-254 aa of BC022248 Sequence: MEGNRDEAEKCVEIAREALNAGNREKAQRFLQKAEKLYPLPSARALLEIIMKNGSTAGNSPHCRKPSGSGDQSKPNCTKDSTSGSGEGGKGYTKDQVDGVLSINKCKNYYEVLGVTKDAGDEDLKKAYRKLALKFHPDKNHAPGATDAFKKIGNAYAVLSNPEKRKQYDLTGNEEQACNHQNNGRFNFHRGCEADITPEDLFNIFFGGGFPSGSVHSFSNGRAGYSQQHQHRHSGHEREEERGDGGFSVFIQLM 种属同源性预测 |
| 宿主/亚型 | Rabbit / IgG |
| 抗体类别 | Polyclonal |
| 产品类型 | Antibody |
| 全称 | DnaJ (Hsp40) homolog, subfamily B, member 14 |
| 别名 | EGNR9427, PRO34683, UNQ9427/PRO34683 |
| 计算分子量 | 379 aa, 43 kDa |
| 观测分子量 | 43 kDa |
| GenBank蛋白编号 | BC022248 |
| 基因名称 | DNAJB14 |
| Gene ID (NCBI) | 79982 |
| RRID | AB_2094414 |
| 偶联类型 | Unconjugated |
| 形式 | Liquid |
| 纯化方式 | Antigen affinity purification |
| UNIPROT ID | Q8TBM8 |
| 储存缓冲液 | PBS with 0.02% sodium azide and 50% glycerol, pH 7.3. |
| 储存条件 | Store at -20°C. Stable for one year after shipment. Aliquoting is unnecessary for -20oC storage. |
实验方案
| Product Specific Protocols | |
|---|---|
| IF protocol for DNAJB14 antibody 16501-1-AP | Download protocol |
| IHC protocol for DNAJB14 antibody 16501-1-AP | Download protocol |
| IP protocol for DNAJB14 antibody 16501-1-AP | Download protocol |
| WB protocol for DNAJB14 antibody 16501-1-AP | Download protocol |
| Standard Protocols | |
|---|---|
| Click here to view our Standard Protocols |
发表文章
| Species | Application | Title |
|---|---|---|
Nat Commun Selective EMC subunits act as molecular tethers of intracellular organelles exploited during viral entry. | ||
Elife EMC1-dependent stabilization drives membrane penetration of a partially destabilized non-enveloped virus. | ||
PLoS Pathog A cytosolic chaperone complexes with dynamic membrane J-proteins and mobilizes a nonenveloped virus out of the endoplasmic reticulum. | ||
PLoS Pathog A Non-enveloped Virus Hijacks Host Disaggregation Machinery to Translocate across the Endoplasmic Reticulum Membrane. | ||
J Virol The ER membrane J protein C18 executes a distinct role in promoting SV40 membrane penetration. | ||






