验证数据展示
经过测试的应用
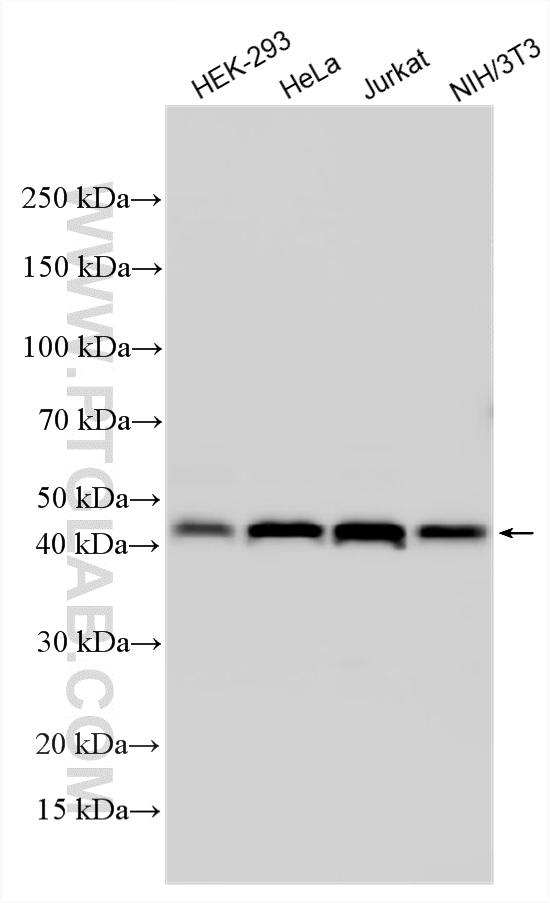
| Positive WB detected in | HEK-293 cells, human testis tissue, HepG2 cells, human liver tissue, HeLa cells, Jurkat cells, mouse kidney tissue, rat kidney tissue, mouse lung tissue, NIH/3T3 cells |
| Positive IHC detected in | human stomach tissue Note: suggested antigen retrieval with TE buffer pH 9.0; (*) Alternatively, antigen retrieval may be performed with citrate buffer pH 6.0 |
| Positive IF/ICC detected in | HepG2 cells |
推荐稀释比
| 应用 | 推荐稀释比 |
|---|---|
| Western Blot (WB) | WB : 1:1000-1:8000 |
| Immunohistochemistry (IHC) | IHC : 1:50-1:500 |
| Immunofluorescence (IF)/ICC | IF/ICC : 1:50-1:500 |
| It is recommended that this reagent should be titrated in each testing system to obtain optimal results. | |
| Sample-dependent, Check data in validation data gallery. | |
产品信息
11713-1-AP targets DNAJA1 in WB, IHC, IF/ICC, IP, ELISA applications and shows reactivity with human, mouse, rat samples.
| 经测试应用 | WB, IHC, IF/ICC, ELISA Application Description |
| 文献引用应用 | WB, IF, IP |
| 经测试反应性 | human, mouse, rat |
| 文献引用反应性 | human, mouse, rat |
| 免疫原 |
CatNo: Ag2284 Product name: Recombinant human DNAJA1 protein Source: e coli.-derived, PGEX-4T Tag: GST Domain: 1-397 aa of BC008182 Sequence: MVKETTYYDVLGVKPNATQEELKKAYRKLALKYHPDKNPNEGEKFKQISQAYEVLSDAKKRELYDKGGEQAIKEGGAGGGFGSPMDIFDMFFGGGGRMQRERRGKNVVHQLSVTLEDLYNGATRKLALQKNVICDKCEGRGGKKGAVECCPNCRGTGMQIRIHQIGPGMVQQIQSVCMECQGHGERISPKDRCKSCNGRKIVREKKILEVHIDKGMKDGQKITFHGEGDQEPGLEPGDIIIVLDQKDHAVFTRRGEDLFMCMDIQLVEALCGFQKPISTLDNRTIVITSHPGQIVKHGDIKCVLNEGMPIYRRPYEKGRLIIEFKVNFPENGFLSPDKLSLLEKLLPERKEVEETDEMDQVELVDFDPNQERRRHYNGEAYEDDEHHPRGGVQCQTS 种属同源性预测 |
| 宿主/亚型 | Rabbit / IgG |
| 抗体类别 | Polyclonal |
| 产品类型 | Antibody |
| 全称 | DnaJ (Hsp40) homolog, subfamily A, member 1 |
| 别名 | DJ 2, DjA1, DNAJ2, hDJ 2, HDJ2 |
| 计算分子量 | 397 aa, 45 kDa |
| 观测分子量 | 45 kDa |
| GenBank蛋白编号 | BC008182 |
| 基因名称 | DNAJA1 |
| Gene ID (NCBI) | 3301 |
| RRID | AB_10637266 |
| 偶联类型 | Unconjugated |
| 形式 | Liquid |
| 纯化方式 | Antigen affinity purification |
| UNIPROT ID | P31689 |
| 储存缓冲液 | PBS with 0.02% sodium azide and 50% glycerol, pH 7.3. |
| 储存条件 | Store at -20°C. Stable for one year after shipment. Aliquoting is unnecessary for -20oC storage. |
背景介绍
DNAJA1 is a member of the DnaJ proteins (also known as Hsp40 or Hsc40) which are cochaperones to DnaK (Hsp70) and function to modulate protein assembly, disassembly, and translocation. DNAJA1 has been reported to get involved in various processes, including virus infection, tau clearance, and mutant p53 degradation.
实验方案
| Product Specific Protocols | |
|---|---|
| IF protocol for DNAJA1 antibody 11713-1-AP | Download protocol |
| IHC protocol for DNAJA1 antibody 11713-1-AP | Download protocol |
| WB protocol for DNAJA1 antibody 11713-1-AP | Download protocol |
| Standard Protocols | |
|---|---|
| Click here to view our Standard Protocols |
发表文章
| Species | Application | Title |
|---|---|---|
Nat Cell Biol Heat-shock chaperone HSPB1 regulates cytoplasmic TDP-43 phase separation and liquid-to-gel transition | ||
Nat Commun Inhibition of the CDK2 and Cyclin A complex leads to autophagic degradation of CDK2 in cancer cells. | ||
J Clin Invest Cul4A-DDB1-mediated monoubiquitination of phosphoglycerate dehydrogenase promotes colorectal cancer metastasis via increased S-adenosylmethionine.
| ||
Mol Ther Nucleic Acids Age-associated changes in microglia and astrocytes ameliorate blood-brain barrier dysfunction | ||
Sci Rep Co-chaperones DNAJA1 and DNAJB6 are critical for regulation of polyglutamine aggregation.
|








